Suppr超能文献

Bt和TcdA杀虫蛋白对西部玉米根虫幼虫(Diabrotica virgifera virgifera)中肠上皮的组织病理学影响。

Histopathological Effects of Bt and TcdA Insecticidal Proteins on the Midgut Epithelium of Western Corn Rootworm Larvae (Diabrotica virgifera virgifera).

作者信息

Bowling Andrew J, Pence Heather E, Li Huarong, Tan Sek Yee, Evans Steven L, Narva Kenneth E

机构信息

Dow AgroSciences, Indianapolis, IN 46268, USA.

出版信息

Toxins (Basel). 2017 May 8;9(5):156. doi: 10.3390/toxins9050156.

Abstract

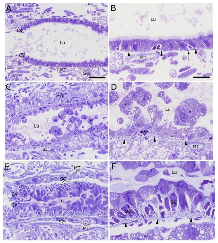
Western corn rootworm (WCR, LeConte) is a major corn pest in the United States, causing annual losses of over $1 billion. One approach to protect against crop loss by this insect is the use of transgenic corn hybrids expressing one or more crystal (Cry) proteins derived from . Cry34Ab1 and Cry35Ab1 together comprise a binary insecticidal toxin with specific activity against WCR. These proteins have been developed as insect resistance traits in commercialized corn hybrids resistant to WCR feeding damage. Cry34/35Ab1 is a pore forming toxin, but the specific effects of Cry34/35Ab1 on WCR cells and tissues have not been well characterized microscopically, and the overall histopathology is poorly understood. Using high-resolution resin-based histopathology methods, the effects of Cry34/35Ab1 as well as Cry3Aa1, Cry6Aa1, and the toxin complex protein TcdA have been directly visualized and documented. Clear symptoms of intoxication were observed for all insecticidal proteins tested, including swelling and sloughing of enterocytes, constriction of midgut circular muscles, stem cell activation, and obstruction of the midgut lumen. These data demonstrate the effects of these insecticidal proteins on WCR midgut cells, and the collective response of the midgut to intoxication. Taken together, these results advance our understanding of the insect cell biology and pathology of these insecticidal proteins, which should further the field of insect resistance traits and corn rootworm management.

摘要

西方玉米根萤叶甲(Western corn rootworm,WCR,LeConte)是美国玉米的主要害虫,每年造成超过10亿美元的损失。防止这种昆虫造成作物损失的一种方法是使用表达一种或多种源自苏云金芽孢杆菌(Bacillus thuringiensis)的晶体(Cry)蛋白的转基因玉米杂交种。Cry34Ab1和Cry35Ab1共同构成一种对西方玉米根萤叶甲具有特定活性的二元杀虫毒素。这些蛋白已被开发为商业化玉米杂交种中的抗虫性状,可抵抗西方玉米根萤叶甲的取食危害。Cry34/35Ab1是一种成孔毒素,但Cry34/35Ab1对西方玉米根萤叶甲细胞和组织的具体影响在显微镜下尚未得到很好的表征,其整体组织病理学也了解甚少。使用基于高分辨率树脂的组织病理学方法,直接观察并记录了Cry34/35Ab1以及Cry3Aa1、Cry6Aa1和毒素复合蛋白TcdA的作用。在所有测试的杀虫蛋白中都观察到了明显的中毒症状,包括肠上皮细胞肿胀和脱落、中肠环形肌收缩、干细胞活化以及中肠腔阻塞。这些数据证明了这些杀虫蛋白对西方玉米根萤叶甲中肠细胞的影响,以及中肠对中毒的集体反应。综上所述,这些结果推进了我们对这些杀虫蛋白的昆虫细胞生物学和病理学的理解,这将进一步推动抗虫性状和玉米根萤叶甲管理领域的发展。

https://cdn.ncbi.nlm.nih.gov/pmc/blobs/1b2a/5450704/8333cfa71bf9/toxins-09-00156-g001.jpg

文献AI研究员

20分钟写一篇综述,助力文献阅读效率提升50倍。

立即体验

用中文搜PubMed

大模型驱动的PubMed中文搜索引擎

马上搜索

文档翻译

学术文献翻译模型,支持多种主流文档格式。

立即体验