Suppr超能文献

一名11岁女性身上发现的一种新的共济失调毛细血管扩张症突变。

A new ataxia-telangiectasia mutation in an 11-year-old female.

作者信息

Mortaz Esmaeil, Marashian Sayed Mehran, Ghaffaripour Hosseinali, Varahram Mohammad, Mehrian Payam, Dorudinia Atosa, Garssen Johan, Adcock Ian M, Taylor Malcolm, Mahdaviani Seyed Alireza

机构信息

Clinical Tuberculosis and Epidemiology Research Center, National Research Institute of Tuberculosis and Lung Diseases (NRITLD), Shahid Beheshti University of Medical Sciences, Tehran, Iran.

Division of Pharmacology, Utrecht Institute for Pharmaceutical Sciences, Faculty of Science, Utrecht University, Utrecht, The Netherlands.

出版信息

Immunogenetics. 2017 Jul;69(7):415-419. doi: 10.1007/s00251-017-0983-9. Epub 2017 May 9.

Abstract

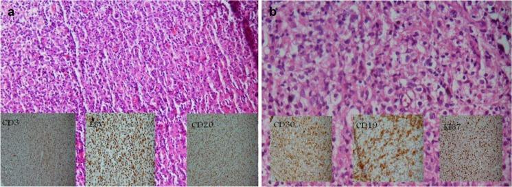
Ataxia-telangiectasia (A-T), a rare inherited disorder, usually affects the nervous and immune systems, and occasionally other organs. A-T is associated mainly with mutations in the ataxia telangiectasia mutated (ATM) gene, which encodes a protein kinase that has a major role in the cellular response to DNA damage. We report here a novel ATM mutation (c.3244_3245insG; p.His1082fs) in an 11-year old female. This subject presented with typical features, with the addition of chest manifestations including mediastinal lymphadenopathy and diffuse bilateral micronodular infiltration of the lungs, along with a high EBV titer. The subject died as a result of rapid B-cell lymphoma progression before chemotherapy could be initiated. This case highlights the need for the rapid diagnosis of A-T mutations and the detection of associated life-threatening outcomes such as cancers.

摘要

共济失调毛细血管扩张症(A-T)是一种罕见的遗传性疾病,通常影响神经和免疫系统,偶尔也会影响其他器官。A-T主要与共济失调毛细血管扩张症突变(ATM)基因的突变有关,该基因编码一种蛋白激酶,在细胞对DNA损伤的反应中起主要作用。我们在此报告一名11岁女性中发现的一种新的ATM突变(c.3244_3245insG;p.His1082fs)。该患者表现出典型特征,还伴有胸部表现,包括纵隔淋巴结肿大和肺部双侧弥漫性微小结节浸润,同时EB病毒滴度很高。该患者在开始化疗前因B细胞淋巴瘤快速进展而死亡。这个病例凸显了快速诊断A-T突变以及检测相关危及生命的后果(如癌症)的必要性。

https://cdn.ncbi.nlm.nih.gov/pmc/blobs/d229/5486830/41d4ff3b9a90/251_2017_983_Fig1_HTML.jpg

文献AI研究员

20分钟写一篇综述,助力文献阅读效率提升50倍。

立即体验

用中文搜PubMed

大模型驱动的PubMed中文搜索引擎

马上搜索

文档翻译

学术文献翻译模型,支持多种主流文档格式。

立即体验