Suppr超能文献

一只猫在进行肠胃外注射后,因医源性针头损伤继发脑实质内脑干出血。

Intra-parenchymal brainstem haemorrhage secondary to iatrogenic needle injury after a parenteral injection in a cat.

作者信息

Brocal Josep, Guevar Julien, Stalin Catherine, Durand Alexane, Gutierrez-Quintana Rodrigo

机构信息

Division of Small Animal Clinical Sciences, School of Veterinary, Medicine, College of Medical, Veterinary and Life Sciences, University of Glasgow, Glasgow, UK.

出版信息

JFMS Open Rep. 2016 Feb 8;2(1):2055116916631562. doi: 10.1177/2055116916631562. eCollection 2016 Jan-Jun.

Abstract

CASE SUMMARY

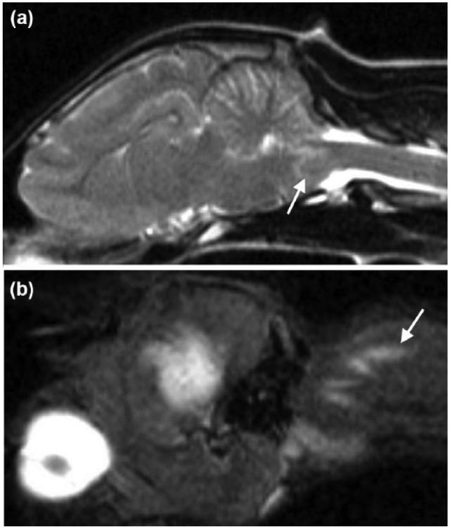
A 6-month-old female domestic shorthair cat was presented with acute onset non-ambulatory right hemiparesis and horizontal nystagmus following an injection attempt in the neck, during which the cat did not cooperate. Magnetic resonance imaging (MRI) revealed a well-defined intra-axial lesion on the right side of the myelencephalon. The lesion was T2-weighted hypointense and T1-weighted hypointense to isointense to grey matter, non-contrast enhancing, with perilesional oedema and signal void on T2*-weighted images. A linear hyperintense lesion in the muscles of the right dorsolateral aspect of the neck on short tau inversion recovery images was also observed. These MRI findings were consistent with iatrogenic brainstem haemorrhage and a muscle needle tract. The cat made a good recovery with just mild residual neurological deficits 6 weeks after the injury.

RELEVANCE AND NOVEL INFORMATION

To our knowledge, this is the first report of an iatrogenic brainstem needle injury in a cat and the first report of a central nervous system iatrogenic trauma after a parenteral injection. Care should be taken with neck parenteral injections, especially in the cranial cervical area.

摘要

病例摘要

一只6个月大的雌性家养短毛猫,在颈部注射时未配合,之后出现急性发作的右半身轻瘫且不能行走以及水平性眼球震颤。磁共振成像(MRI)显示延髓右侧有一个边界清晰的轴内病变。该病变在T2加权像上呈低信号,在T1加权像上相对于灰质呈低信号至等信号,无强化,在T2*加权像上有病灶周围水肿和信号缺失。在短tau反转恢复序列图像上,还观察到颈部右背外侧肌肉有一条线性高信号病变。这些MRI表现符合医源性脑干出血和肌肉针道。该猫在受伤6周后恢复良好,仅遗留轻度神经功能缺损。

相关性及新信息

据我们所知,这是猫医源性脑干针伤的首例报告,也是非肠道注射后中枢神经系统医源性创伤的首例报告。颈部非肠道注射时应谨慎,尤其是在颅颈区域。

https://cdn.ncbi.nlm.nih.gov/pmc/blobs/a204/5362875/85b5c77b5146/10.1177_2055116916631562-fig1.jpg

文献AI研究员

20分钟写一篇综述,助力文献阅读效率提升50倍。

立即体验

用中文搜PubMed

大模型驱动的PubMed中文搜索引擎

马上搜索

文档翻译

学术文献翻译模型,支持多种主流文档格式。

立即体验