Suppr超能文献

计算机断层血管造影显示,一只老年北京犬的迷走右锁骨下动脉出现狭窄和动脉瘤样扩张,导致体循环血压误读。

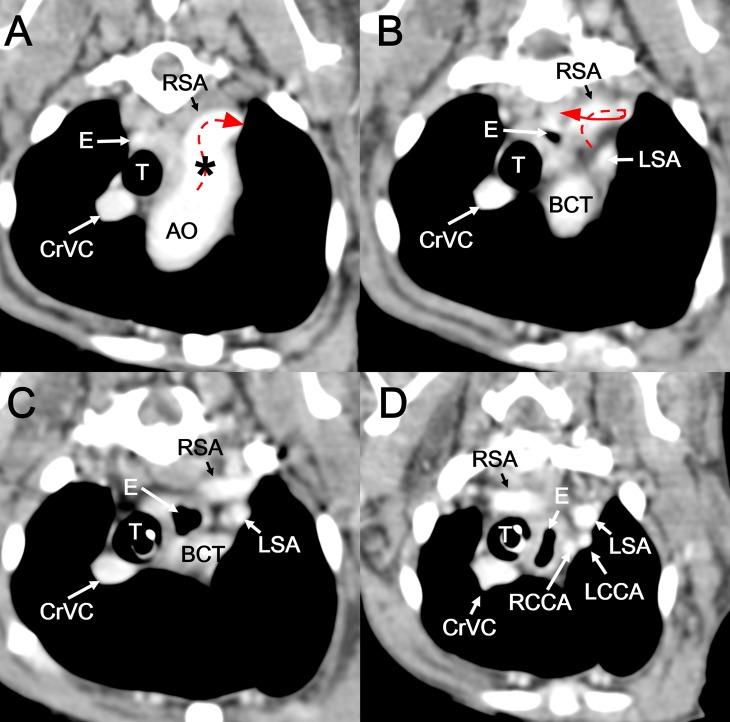
Computed tomography angiography reveals stenosis and aneurysmal dilation of an aberrant right subclavian artery causing systemic blood pressure misreading in an old Pekinese dog.

作者信息

Kim Jaehwan, Eom Kidong, Yoon Hakyoung

机构信息

Department of Veterinary Medical Imaging, College of Veterinary Medicine, Konkuk University, 120, Neungdong-ro, Gwangjin-gu, Seoul 05029, Korea.

出版信息

J Vet Med Sci. 2017 Jun 16;79(6):1052-1055. doi: 10.1292/jvms.17-0031. Epub 2017 May 11.

Abstract

A 14-year-old dog weighing 4 kg presented with hypotension only in the right forelimb. Thoracic radiography revealed a round soft tissue opacity near the aortic arch and below the second thoracic vertebra on a lateral view. Three-dimensional computed tomography angiography clearly revealed stenosis and aneurysmal dilation of an aberrant right subclavian artery. Stenosis and aneurysm of an aberrant subclavian artery should be included as a differential diagnosis in dogs showing a round soft tissue opacity near the aortic arch and below the thoracic vertebra on the lateral thoracic radiograph.

摘要

一只体重4千克的14岁犬只出现右前肢低血压症状。胸部X光片侧位显示,主动脉弓附近及第二胸椎下方有一圆形软组织密度影。三维计算机断层血管造影清晰显示一支异常右锁骨下动脉存在狭窄和动脉瘤样扩张。对于侧位胸部X光片显示主动脉弓附近及胸椎下方有圆形软组织密度影的犬只,异常锁骨下动脉狭窄和动脉瘤应作为鉴别诊断的考虑因素。

https://cdn.ncbi.nlm.nih.gov/pmc/blobs/383f/5487781/0e1cc0602acc/jvms-79-1052-g001.jpg

文献AI研究员

20分钟写一篇综述,助力文献阅读效率提升50倍。

立即体验

用中文搜PubMed

大模型驱动的PubMed中文搜索引擎

马上搜索

文档翻译

学术文献翻译模型,支持多种主流文档格式。

立即体验