Suppr超能文献

膀胱病变中FGFR3蛋白表达及基因扩增与血吸虫病的关系

Expression of FGFR3 Protein and Gene Amplification in Urinary Bladder Lesions in Relation to Schistosomiasis.

作者信息

Hammam Olfat, Aboushousha Tarek, El-Hindawi Ali, Khairy Hosni, Khalil Heba, Kamel Amira, Akl Maha, Abdel-Hady Ahmed, Magdy Mona, Badawy Mohamed, Kholy Amr El, Osili Khalid Al, Kamel Nora, Anis Shady, Leithy Tarek El

机构信息

Theodor Bilharz Research Institute, Imbaba, Giza, Cairo, Egypt.

Faculty of Medicine Cairo University, Cairo, Egypt.

出版信息

Open Access Maced J Med Sci. 2017 Apr 8;5(2):160-166. doi: 10.3889/oamjms.2017.048. eCollection 2017 Apr 15.

Abstract

BACKGROUND

Bladder cancer represents the fifth most common malignancy worldwide and a major cause of cancer-related morbidity and death. Incidence and mortality rates have remained relatively constant over the past four decades. Urothelial bladder cancers have identified multiple risk factors.

AIM

We aimed at evaluating the expression of the FGFR3 protein and gene amplification in the urothelial cells of neoplastic and non-neoplastic urothelial lesions of the urinary bladder, and correlation with tumour grade, stage and associated bilharziasis.

MATERIAL AND METHODS

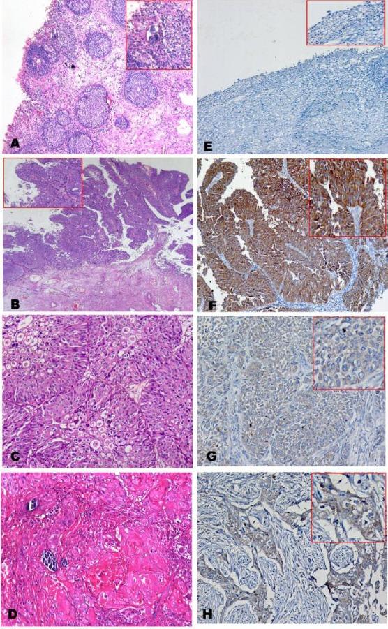
One hundred and five different urinary bladder lesions were studied, including 15 cystitis cases (9 bilharzial and 6 non-bilharzial cystitides), 75 urothelial carcinoma cases (18 bilharzial associated and 57 non-bilharzial associated) and 15 squamous cell carcinoma associated with bilharziasis, beside 5 control cases. Data concerning age, sex, tumour grade, stage, and associated bilharziasis were obtained. Each case was studied for FGFR3 expression, and FISH technique was applied on forty malignant cases that show high protein expression.

RESULTS

The highest incidence of cystitis was in the fourth decade while of bladder cancer was in the seventh decade. Tumour grade was correlated significantly with tumour stage. FGFR3 correlates significantly with tumour grade, stage and with a bilharzial infestation. FGFR3 gene amplification was reported mainly in low grade and NNMBIC tumours.

CONCLUSIONS

FGFR3 overexpression in malignant cases was significantly higher than in chronic cystitis. FGFR3 gene amplification was reported mainly in low grade and NNMBIC tumours. FGFR3 may be further studied as a subject for target therapy of bladder cancer.

摘要

背景

膀胱癌是全球第五大常见恶性肿瘤,是癌症相关发病和死亡的主要原因。在过去四十年中,发病率和死亡率一直相对稳定。尿路上皮膀胱癌已确定多种风险因素。

目的

我们旨在评估FGFR3蛋白的表达及基因扩增在膀胱肿瘤性和非肿瘤性尿路上皮病变的尿路上皮细胞中的情况,以及与肿瘤分级、分期和相关血吸虫病的相关性。

材料与方法

研究了105例不同的膀胱病变,包括15例膀胱炎病例(9例血吸虫性和6例非血吸虫性膀胱炎)、75例尿路上皮癌病例(18例与血吸虫病相关和57例与血吸虫病无关)以及15例与血吸虫病相关的鳞状细胞癌,另外还有5例对照病例。获取了有关年龄、性别肿瘤分级、分期和相关血吸虫病的数据。对每个病例进行FGFR3表达研究,并对40例显示高蛋白表达的恶性病例应用荧光原位杂交(FISH)技术。

结果

膀胱炎的最高发病率出现在第四个十年,而膀胱癌的最高发病率出现在第七个十年。肿瘤分级与肿瘤分期显著相关。FGFR3与肿瘤分级、分期以及血吸虫感染显著相关。FGFR3基因扩增主要见于低级别和非血吸虫性膀胱癌(NNMBIC)肿瘤。

结论

恶性病例中FGFR3的过表达显著高于慢性膀胱炎。FGFR3基因扩增主要见于低级别和NNMBIC肿瘤。FGFR3可作为膀胱癌靶向治疗的研究对象作进一步研究。

https://cdn.ncbi.nlm.nih.gov/pmc/blobs/6592/5420767/d810a38be441/OAMJMS-5-160-g001.jpg

文献AI研究员

20分钟写一篇综述,助力文献阅读效率提升50倍。

立即体验

用中文搜PubMed

大模型驱动的PubMed中文搜索引擎

马上搜索

文档翻译

学术文献翻译模型,支持多种主流文档格式。

立即体验