Suppr超能文献

硫化氢调节线粒体形态促进高糖高棕榈酸诱导的内皮细胞自噬

Hydrogen Sulphide modulating mitochondrial morphology to promote mitophagy in endothelial cells under high-glucose and high-palmitate.

机构信息

Department of Pathophysiology, Harbin Medical University, Harbin, China.

Bio-Pharmaceutical Key Laboratory of Heilongjiang Province, Harbin, China.

出版信息

J Cell Mol Med. 2017 Dec;21(12):3190-3203. doi: 10.1111/jcmm.13223. Epub 2017 Jun 13.

Abstract

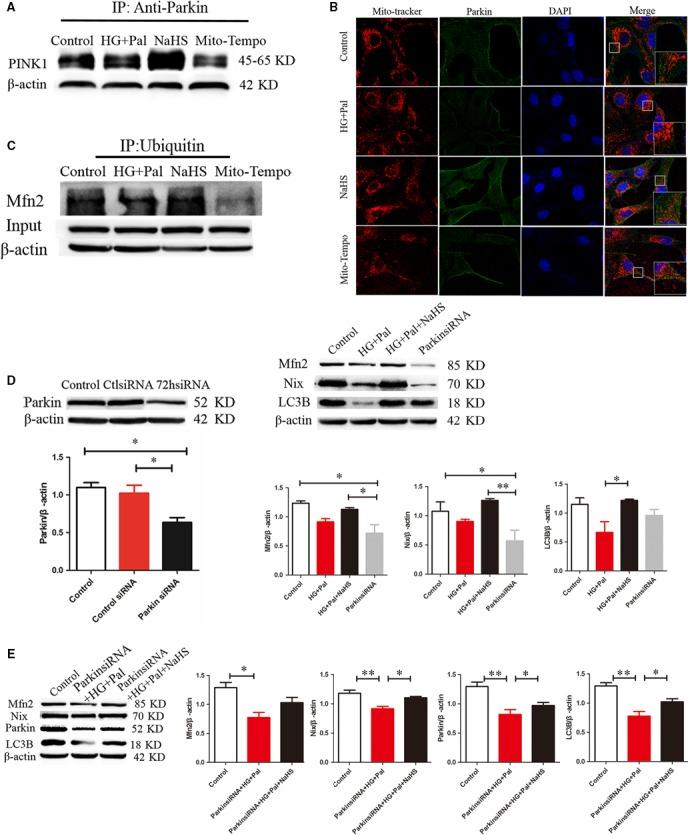
Endothelial cell dysfunction is one of the main reasons for type II diabetes vascular complications. Hydrogen sulphide (H S) has antioxidative effect, but its regulation on mitochondrial dynamics and mitophagy in aortic endothelial cells under hyperglycaemia and hyperlipidaemia is unclear. Rat aortic endothelial cells (RAECs) were treated with 40 mM glucose and 200 μM palmitate to imitate endothelium under hyperglycaemia and hyperlipidaemia, and 100 μM NaHS was used as an exogenous H S donor. Firstly, we demonstrated that high glucose and palmitate decreased H S production and CSE expression in RAECs. Then, the antioxidative effect of H S was proved in RAECs under high glucose and palmitate to reduce mitochondrial ROS level. We also showed that exogenous H S inhibited mitochondrial apoptosis in RAECs under high glucose and palmitate. Using Mito Tracker and transmission electron microscopy assay, we revealed that exogenous H S decreased mitochondrial fragments and significantly reduced the expression of p-Drp-1/Drp-1 and Fis1 compared to high-glucose and high-palmitate group, whereas it increased mitophagy by transmission electron microscopy assay. We demonstrated that exogenous H S facilitated Parkin recruited by PINK1 by immunoprecipitation and immunostaining assays and then ubiquitylated mitofusin 2 (Mfn2), which illuminated the mechanism of exogenous H S on mitophagy. Parkin siRNA suppressed the expression of Mfn2, Nix and LC3B, which revealed that it eliminated mitophagy. In summary, exogenous H S could protect RAECs against apoptosis under high glucose and palmitate by suppressing oxidative stress, decreasing mitochondrial fragments and promoting mitophagy. Based on these results, we proposed a new mechanism of H S on protecting endothelium, which might provide a new strategy for type II diabetes vascular complication.

摘要

内皮细胞功能障碍是 II 型糖尿病血管并发症的主要原因之一。硫化氢 (H₂S) 具有抗氧化作用,但它在高血糖和高血脂条件下对主动脉内皮细胞中线粒体动力学和线粒体自噬的调节作用尚不清楚。用 40mM 葡萄糖和 200μM 棕榈酸处理大鼠主动脉内皮细胞 (RAECs) 模拟高血糖和高血脂条件下的内皮细胞,并用 100μM NaHS 作为外源性 H₂S 供体。首先,我们证明高葡萄糖和棕榈酸降低了 RAECs 中 H₂S 的产生和 CSE 的表达。然后,在外源 H₂S 存在下,证实了其在高葡萄糖和棕榈酸条件下 RAECs 的抗氧化作用,可降低线粒体 ROS 水平。我们还表明,外源性 H₂S 抑制了高葡萄糖和棕榈酸条件下 RAECs 中线粒体凋亡。通过 MitoTracker 和透射电镜检测,我们发现外源性 H₂S 降低了线粒体片段,与高葡萄糖和高棕榈酸组相比,明显降低了 p-Drp-1/Drp-1 和 Fis1 的表达,而通过透射电镜检测发现其增加了线粒体自噬。我们证明外源性 H₂S 通过免疫沉淀和免疫染色实验促进了由 PINK1 募集的 Parkin,然后泛素化了线粒体融合蛋白 2 (Mfn2),阐明了外源性 H₂S 在线粒体自噬中的作用机制。Parkin siRNA 抑制了 Mfn2、Nix 和 LC3B 的表达,表明其消除了线粒体自噬。综上所述,外源性 H₂S 通过抑制氧化应激、减少线粒体片段和促进线粒体自噬,可保护 RAECs 免受高葡萄糖和棕榈酸诱导的凋亡。基于这些结果,我们提出了 H₂S 保护内皮细胞的新机制,这可能为 II 型糖尿病血管并发症提供新的治疗策略。

https://cdn.ncbi.nlm.nih.gov/pmc/blobs/7493/5706497/4f58af190e0b/JCMM-21-3190-g001.jpg

文献检索

告别复杂PubMed语法,用中文像聊天一样搜索,搜遍4000万医学文献。AI智能推荐,让科研检索更轻松。

立即免费搜索

文件翻译

保留排版,准确专业,支持PDF/Word/PPT等文件格式,支持 12+语言互译。

免费翻译文档

深度研究

AI帮你快速写综述,25分钟生成高质量综述,智能提取关键信息,辅助科研写作。

立即免费体验