Suppr超能文献

分析屋尘螨蛋白酶过敏原Der p 1、Der p 3和Der p 6的扩展切割特异性以预测新的细胞表面蛋白底物

Profiling the Extended Cleavage Specificity of the House Dust Mite Protease Allergens Der p 1, Der p 3 and Der p 6 for the Prediction of New Cell Surface Protein Substrates.

作者信息

Jacquet Alain, Campisi Vincenzo, Szpakowska Martyna, Dumez Marie-Eve, Galleni Moreno, Chevigné Andy

机构信息

Faculty of Medicine, Division of Research Affairs, Chulalongkorn University, 10330 Bangkok, Thailand.

Department of Infection and Immunity, Luxembourg Institute of Health (LIH), 29, rue Henri Koch, L-4354 Esch-sur-Alzette, Luxembourg.

出版信息

Int J Mol Sci. 2017 Jun 27;18(7):1373. doi: 10.3390/ijms18071373.

Abstract

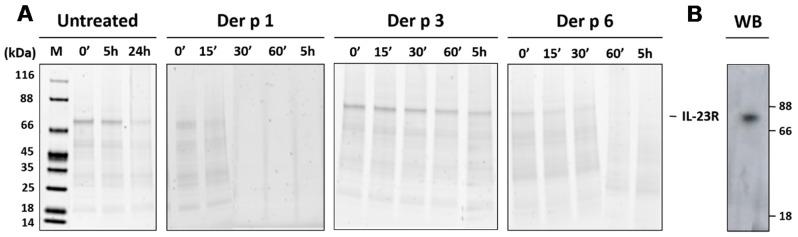
House dust mite (HDM) protease allergens, through cleavages of critical surface proteins, drastically influence the initiation of the Th2 type immune responses. However, few human protein substrates for HDM proteases have been identified so far, mainly by applying time-consuming target-specific individual studies. Therefore, the identification of substrate repertoires for HDM proteases would represent an unprecedented key step toward a better understanding of the mechanism of HDM allergic response. In this study, phage display screenings using totally or partially randomized nonameric peptide substrate libraries were performed to characterize the extended substrate specificities (P₅-P₄') of the HDM proteases Der p 1, Der p 3 and Der p 6. The bioinformatics interface PoPS (Prediction of Protease Specificity) was then applied to define the proteolytic specificity profile of each protease and to predict new protein substrates within the human cell surface proteome, with a special focus on immune receptors. Specificity profiling showed that the nature of residues in P₁ but also downstream the cleavage sites (P' positions) are important for effective cleavages by all three HDM proteases. Strikingly, Der p 1 and Der p 3 display partially overlapping specificities. Analysis with PoPS interface predicted 50 new targets for the HDM proteases, including 21 cell surface receptors whose extracellular domains are potentially cleaved by Der p 1, Der p 3 and/or Der p 6. Twelve protein substrate candidates were confirmed by phage ELISA (enzyme linked immunosorbent assay). This extensive study of the natural protein substrate specificities of the HDM protease allergens unveils new cell surface target receptors for a better understanding on the role of these proteases in the HDM allergic response and paves the way for the design of specific protease inhibitors for future anti-allergic treatments.

摘要

屋尘螨(HDM)蛋白酶变应原通过切割关键表面蛋白,极大地影响Th2型免疫反应的启动。然而,到目前为止,通过耗时的针对特定靶点的个体研究,仅鉴定出少量HDM蛋白酶的人类蛋白底物。因此,鉴定HDM蛋白酶的底物库将是朝着更好地理解HDM过敏反应机制迈出的前所未有的关键一步。在本研究中,使用完全或部分随机的九聚体肽底物文库进行噬菌体展示筛选,以表征HDM蛋白酶Der p 1、Der p 3和Der p 6的扩展底物特异性(P₅ - P₄')。然后应用生物信息学界面PoPS(蛋白酶特异性预测)来定义每种蛋白酶的蛋白水解特异性谱,并预测人类细胞表面蛋白质组中的新蛋白底物,特别关注免疫受体。特异性分析表明,P₁中的残基性质以及切割位点下游(P'位置)的残基性质对于所有三种HDM蛋白酶的有效切割都很重要。引人注目的是,Der p 1和Der p 3表现出部分重叠的特异性。使用PoPS界面进行的分析预测了HDM蛋白酶的50个新靶点,包括21种细胞表面受体,其细胞外结构域可能被Der p 1、Der p 3和/或Der p 6切割。通过噬菌体ELISA(酶联免疫吸附测定)确认了12种蛋白底物候选物。这项对HDM蛋白酶变应原天然蛋白底物特异性的广泛研究揭示了新的细胞表面靶受体,有助于更好地理解这些蛋白酶在HDM过敏反应中的作用,并为未来抗过敏治疗的特异性蛋白酶抑制剂的设计铺平了道路。

https://cdn.ncbi.nlm.nih.gov/pmc/blobs/4052/5535866/498bb298121d/ijms-18-01373-g001.jpg

文献AI研究员

20分钟写一篇综述,助力文献阅读效率提升50倍。

立即体验

用中文搜PubMed

大模型驱动的PubMed中文搜索引擎

马上搜索

文档翻译

学术文献翻译模型,支持多种主流文档格式。

立即体验