Suppr超能文献

P53与蛋白质磷酸化调节上皮细胞转化2(ECT2)的致癌作用。

P53 and Protein Phosphorylation Regulate the Oncogenic Role of Epithelial Cell Transforming 2 (ECT2).

作者信息

Chen Yan, Tian Ping, Liu Yi

机构信息

Department of Gastroenterology, Yidu Central Hospital of Weifang, Weifang, Shandong, China (mainland).

Department of General Surgery, Qilu Hospital Affiliated to Shandong University, Jinan, Shandong, China (mainland).

出版信息

Med Sci Monit. 2017 Jun 27;23:3154-3160. doi: 10.12659/msm.905388.

Abstract

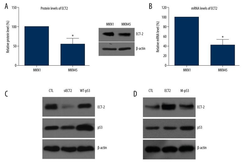
BACKGROUND Gastric cancer (GC) is the second leading cause of cancer-related death worldwide, but little progress has been achieved in the treatment of advanced or metastatic GC. GC is highly heterogeneous and more studies are needed to elucidate the metastatic mechanisms. Epithelial cell transforming 2 (ECT2) has been reported to be up-regulated in GC tissues, but its signaling mechanisms remain unclear. MATERIAL AND METHODS In this study, we used Western blot analysis to compare the expression level of ECT2 in 2 GC cell lines: MKN1 and MKN45. Mutagenesis and transfections were conducted to investigate the oncogenic mechanisms of ECT2 in GC cells. RESULTS ECT2 was expressed at higher levels in MKN1 than in MKN45. Immunoblotting results showed that MKN1 expression was suppressed by p53-WT but was enhanced by p53-mutant. In addition, in vitro experiments showed that ECT2 positively regulated the proliferation and invasion of GC cells. To better explore the mechanisms of ECT2 in promoting GC progression, we introduced site-directed mutants of ECT2, and found that the phosphor-mimic mutant T359D enhanced its oncogenic activity. In contrast, activation of RhoA was inhibited in cells transfected with ECT2 phosphor-deficient mutant T359A. We found that the epithelial cell biomarker E-cadherin was down-regulated by ECT2-T359D, highlighting the role of phosphorylation in regulating epithelial-mesenchymal transition. CONCLUSIONS Our results identified p53 as a novel up-stream signaling molecule of ECT2 in GC cells, and the post-translational modifications of ECT2 play important roles in regulating cancer development and progression.

摘要

背景

胃癌(GC)是全球癌症相关死亡的第二大主要原因,但晚期或转移性胃癌的治疗进展甚微。胃癌具有高度异质性,需要更多研究来阐明其转移机制。据报道,上皮细胞转化2(ECT2)在胃癌组织中上调,但其信号传导机制仍不清楚。

材料与方法

在本研究中,我们使用蛋白质免疫印迹分析比较了ECT2在两种胃癌细胞系MKN1和MKN45中的表达水平。进行了诱变和转染实验以研究ECT2在胃癌细胞中的致癌机制。

结果

ECT2在MKN1中的表达水平高于MKN45。免疫印迹结果显示,野生型p53抑制MKN1的表达,而突变型p53则增强其表达。此外,体外实验表明ECT2正向调节胃癌细胞的增殖和侵袭。为了更好地探索ECT2促进胃癌进展的机制,我们引入了ECT2的定点突变体,发现模拟磷酸化的突变体T359D增强了其致癌活性。相反,用ECT2磷酸化缺陷突变体T359A转染的细胞中RhoA的激活受到抑制。我们发现上皮细胞生物标志物E-钙黏蛋白被ECT2-T359D下调,突出了磷酸化在调节上皮-间质转化中的作用。

结论

我们的结果确定p53是胃癌细胞中ECT2的一种新的上游信号分子,ECT2的翻译后修饰在调节癌症发展和进展中起重要作用。

https://cdn.ncbi.nlm.nih.gov/pmc/blobs/c7fb/5498131/6a0e32fee571/medscimonit-23-3154-g001.jpg

文献检索

告别复杂PubMed语法,用中文像聊天一样搜索,搜遍4000万医学文献。AI智能推荐,让科研检索更轻松。

立即免费搜索

文件翻译

保留排版,准确专业,支持PDF/Word/PPT等文件格式,支持 12+语言互译。

免费翻译文档

深度研究

AI帮你快速写综述,25分钟生成高质量综述,智能提取关键信息,辅助科研写作。

立即免费体验