Suppr超能文献

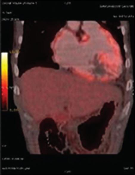
A 36-year-old man with breathlessness and anasarca.

作者信息

Tousheed Syed Zulkharnain, Dutt Tiyas Sen, Muralimohan B V, Chatturambil Binoy, Raj Vimal, Raut Preeti Latha

机构信息

Department of Pulmonology, Narayana Health hospital, Bengaluru, Karnataka, India.

Department of Pulmonology, St. John's Medical College, Bengaluru, Karnataka,, India.

出版信息

Lung India. 2017 Jul-Aug;34(4):395-397. doi: 10.4103/lungindia.lungindia_16_15.

Abstract
摘要
https://cdn.ncbi.nlm.nih.gov/pmc/blobs/16c9/5504903/0f93df6dbdb5/LI-34-395-g001.jpg

文献AI研究员

20分钟写一篇综述,助力文献阅读效率提升50倍。

立即体验

用中文搜PubMed

大模型驱动的PubMed中文搜索引擎

马上搜索

文档翻译

学术文献翻译模型,支持多种主流文档格式。

立即体验