Suppr超能文献

选择性小儿患者创伤性后颅窝硬膜外血肿的环钻微创颅骨切除术

Trephination mini-craniectomy for traumatic posterior fossa epidural hematomas in selected pediatric patients.

作者信息

Sheng Han-Song, You Chao-Guo, Yang Liang, Zhang Nu, Lin Jian, Lin Fen-Chun, Wang Mao-De

机构信息

Department of Neurosurgery, First Affiliated Hospital of Medical College of Xi'an Jiaotong University, Xi'an, China; Department of Neurosurgery, Second Affiliated Hospital of Wenzhou Medical University, Wenzhou, China.

Department of Neurosurgery, Second Affiliated Hospital of Wenzhou Medical University, Wenzhou, China.

出版信息

Chin J Traumatol. 2017 Aug;20(4):212-215. doi: 10.1016/j.cjtee.2017.01.004. Epub 2017 Jun 22.

Abstract

PURPOSE

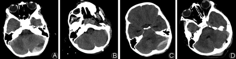
Posterior fossa epidural hematomas (PFEDH) are uncommon in children but usually require timely surgical intervention due to the risk of life-threatening brainstem compression. We attempt to make the surgical procedure less invasive by treating selected pediatric patients with trephination mini-craniectomy.

METHODS

We retrospectively reviewed the clinical courses, radiological findings, surgical procedures, and prognoses of the pediatric patients who were treated in our departments for traumatic PFEDH from January 2010 to January 2015.

RESULTS

During this period, a total of 17 patients were surgically treated for PFEDH and 7 were managed with trephination mini-craniectomy for hematoma evacuation. The outcomes were good in all 7 patients as evaluated with Glasgow Outcome Score. There was no mortality in this series. The on average 30-month clinical follow-up showed that patients experienced satisfactory recoveries without complications.

CONCLUSION

Our results suggest that trephination mini-craniectomy is a safe surgical technique for selected PFEDH patients with moderate hematoma volume and stabilized neurological functions. However, standard craniectomy is recommend when there are rapid deteriorations in patients' neurological functions or the hematomas are large and exerted severe mass effects.

摘要

目的

后颅窝硬膜外血肿(PFEDH)在儿童中并不常见,但由于存在危及生命的脑干受压风险,通常需要及时进行手术干预。我们试图通过对部分儿科患者采用环钻小骨窗开颅术,使手术创伤更小。

方法

我们回顾性分析了2010年1月至2015年1月在我院接受治疗的创伤性PFEDH儿科患者的临床病程、影像学表现、手术过程及预后。

结果

在此期间,共有17例患者接受了PFEDH手术治疗,其中7例采用环钻小骨窗开颅术清除血肿。根据格拉斯哥预后评分评估,所有7例患者预后良好。本系列无死亡病例。平均30个月的临床随访显示,患者恢复良好,无并发症。

结论

我们的结果表明,环钻小骨窗开颅术对于部分血肿量中等且神经功能稳定的PFEDH患者是一种安全的手术技术。然而,当患者神经功能迅速恶化或血肿较大且产生严重占位效应时,建议采用标准开颅术。

https://cdn.ncbi.nlm.nih.gov/pmc/blobs/d631/5555239/e3a88156b764/gr1.jpg

相似文献

1
Trephination mini-craniectomy for traumatic posterior fossa epidural hematomas in selected pediatric patients.
Chin J Traumatol. 2017 Aug;20(4):212-215. doi: 10.1016/j.cjtee.2017.01.004. Epub 2017 Jun 22.
2
Management of traumatic posterior fossa epidural hematomas in pediatrics: our experience and review of the literature.
Childs Nerv Syst. 2021 Sep;37(9):2839-2846. doi: 10.1007/s00381-021-05248-y. Epub 2021 Jun 15.
3
Epidural hematomas in the posterior cranial fossa.
J Trauma. 1993 Feb;34(2):211-5. doi: 10.1097/00005373-199302000-00005.
4
Is the presence of linear fracture a predictor of delayed posterior fossa epidural hematoma?
Ulus Travma Acil Cerrahi Derg. 2016 Jul;22(4):355-60. doi: 10.5505/tjtes.2015.52563.
5
Posterior fossa epidural hematomas in children: clinical experience with 40 cases.
J Neurosurg Pediatr. 2012 Feb;9(2):139-43. doi: 10.3171/2011.11.PEDS11177.
6
Traumatic posterior fossa hematomas.
Diagn Interv Radiol. 2005 Mar;11(1):14-8.
7
Traumatic Pediatric Posterior Fossa Extradural Hematomas: A Tertiary-Care Trauma Center Experience from India.
Pediatr Neurosurg. 2015;50(5):250-6. doi: 10.1159/000438488. Epub 2015 Aug 20.
9
Epidural hematomas of the posterior cranial fossa.
Neurosurg Focus. 2004 Feb 15;16(2):ECP1. doi: 10.3171/foc.2004.16.2.10.
10
Acute epidural hematoma of the posterior fossa--cases of acute clinical deterioration.
Am J Emerg Med. 2007 Nov;25(9):989-95. doi: 10.1016/j.ajem.2007.02.041.

引用本文的文献

2
Rapid resolution of a traumatic venous epidural hematoma in a 3-year-old child: illustrative case.
J Neurosurg Case Lessons. 2021 Nov 22;2(21):CASE21413. doi: 10.3171/CASE21413.
3
[The scalp localization system of neurosurgery based on augmented reality theory].
Sheng Wu Yi Xue Gong Cheng Xue Za Zhi. 2019 Jun 25;36(3):428-434. doi: 10.7507/1001-5515.201711061.
4
Role of follow-up CT scans in the management of traumatic pediatric epidural hematomas.
Childs Nerv Syst. 2019 Nov;35(11):2195-2203. doi: 10.1007/s00381-019-04236-7. Epub 2019 Jun 8.

本文引用的文献

1
Traumatic Pediatric Posterior Fossa Extradural Hematomas: A Tertiary-Care Trauma Center Experience from India.
Pediatr Neurosurg. 2015;50(5):250-6. doi: 10.1159/000438488. Epub 2015 Aug 20.
2
Supratentorial extradural hematoma in children: An institutional clinical experience of 65 cases.
J Pediatr Neurosci. 2015 Apr-Jun;10(2):114-8. doi: 10.4103/1817-1745.159192.
3
Extradural hematoma in children: case series of 33 patients.
Pediatr Neurosurg. 2012;48(4):216-20. doi: 10.1159/000345849. Epub 2013 May 16.
4
Traumatic extradural hematoma in childhood.
Childs Nerv Syst. 2013 Apr;29(4):635-41. doi: 10.1007/s00381-012-1971-x. Epub 2012 Dec 13.
5
Traumatic extradural hematoma - role of non-surgical management and reasons for conversion.
Indian J Surg. 2010 Apr;72(2):124-9. doi: 10.1007/s12262-010-0036-1. Epub 2010 Jul 1.
6
Posterior fossa epidural hematomas in children: clinical experience with 40 cases.
J Neurosurg Pediatr. 2012 Feb;9(2):139-43. doi: 10.3171/2011.11.PEDS11177.
7
Burr-hole drainage for the treatment of acute epidural hematoma in coagulopathic patients: a report of eight cases.
J Neurotrauma. 2012 Jul 20;29(11):2103-7. doi: 10.1089/neu.2010.1742. Epub 2012 May 11.
9
Posterior fossa extradural haematomas.
Cent Eur Neurosurg. 2010 Nov;71(4):167-72. doi: 10.1055/s-0030-1249046. Epub 2010 Apr 26.

文献AI研究员

20分钟写一篇综述,助力文献阅读效率提升50倍。

立即体验

用中文搜PubMed

大模型驱动的PubMed中文搜索引擎

马上搜索

文档翻译

学术文献翻译模型,支持多种主流文档格式。

立即体验