Suppr超能文献

局部晚期乳腺癌新辅助化疗期间的急性炎症反应:一例报告

Acute Inflammatory Response During Neoadjuvant Chemotherapy for Locally Advanced Breast Cancer: A Case Report.

作者信息

Feng Xiaolan, Berrang Tanya, McGhie John Paul, Watson Peter, Tonseth R Petter, Truong Pauline T

机构信息

Medical Oncology, University of British Columbia, BC Cancer Agency.

Radiation Oncology, University of British Columbia, BC Cancer Agency.

出版信息

Cureus. 2017 Jun 10;9(6):e1332. doi: 10.7759/cureus.1332.

Abstract

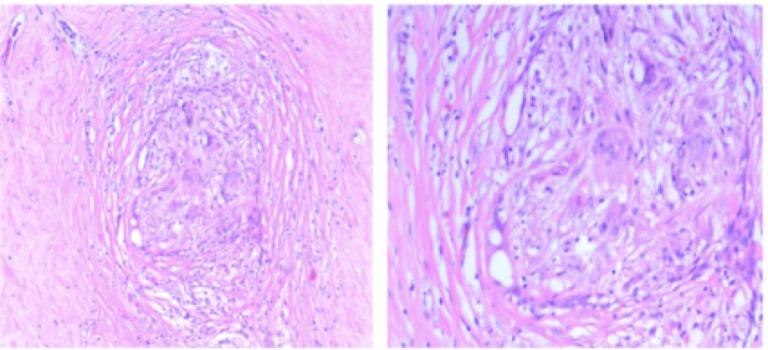
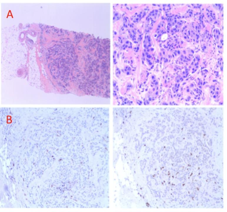
We report on a 56-year-old Caucasian female, diagnosed with locally advanced, hormone-receptor-positive, and human epidermal growth factor receptor 2 (HER2)-positive cancer of the left breast. The patient received neoadjuvant chemotherapy with adriamycin/cyclophosphamide (AC) followed by docetaxel/trastuzumab. A partial clinical and radiographical response was documented after four cycles of AC. Approximately one week after the first cycle of docetaxel and trastuzumab, the patient presented with diffuse edema, erythema, and induration involving the entire left breast. The differential diagnoses included infection, inflammatory response/reaction to docetaxel, or cancer progression. After a multidisciplinary review, the decision was made to stop the docetaxel and deliver neoadjuvant radiation treatment concurrent with trastuzumab. Approximately four weeks after radiation therapy completion, the patient underwent a left total mastectomy and axillary dissection, with pathologic complete response (pCR) in the breast and axillary nodal disease. After surgery, systemic therapy was resumed with paclitaxel and trastuzumab, with a plan to start adjuvant endocrine therapy after completion of chemotherapy. We will discuss clinical considerations in the management of the unexpected findings of acute inflammatory response in the breast and nodal regions during neoadjuvant chemotherapy. Associations between intrinsic breast cancer subtype and pCR in locally advanced breast cancer will also be reviewed.

摘要

我们报告了一名56岁的白种女性,被诊断为左乳局部晚期、激素受体阳性且人表皮生长因子受体2(HER2)阳性的癌症。患者接受了阿霉素/环磷酰胺(AC)新辅助化疗,随后接受多西他赛/曲妥珠单抗治疗。在4个周期的AC化疗后记录到部分临床和影像学缓解。在多西他赛和曲妥珠单抗的第一个周期后约一周,患者出现累及整个左乳的弥漫性水肿、红斑和硬结。鉴别诊断包括感染、对多西他赛的炎症反应或癌症进展。经过多学科会诊后,决定停止多西他赛治疗,并在曲妥珠单抗治疗的同时进行新辅助放疗。放疗完成约四周后,患者接受了左乳全切术和腋窝淋巴结清扫术,乳腺和腋窝淋巴结疾病达到病理完全缓解(pCR)。术后,恢复了紫杉醇和曲妥珠单抗的全身治疗,并计划在化疗完成后开始辅助内分泌治疗。我们将讨论新辅助化疗期间乳腺和淋巴结区域急性炎症反应意外发现的临床处理要点。还将回顾局部晚期乳腺癌的内在亚型与pCR之间的关联。

https://cdn.ncbi.nlm.nih.gov/pmc/blobs/f969/5503457/4836f3444b3e/cureus-0009-00000001332-i01.jpg

文献AI研究员

20分钟写一篇综述,助力文献阅读效率提升50倍。

立即体验

用中文搜PubMed

大模型驱动的PubMed中文搜索引擎

马上搜索

文档翻译

学术文献翻译模型,支持多种主流文档格式。

立即体验