Poble P B, Dalphin J C, Degano B
Department of Respiratory Diseases, University Hospital of Besançon, Besançon, France.
Department of Physiology and Respiratory Investigation, University Hospital of Besançon, Besançon, France.
Respir Med Case Rep. 2017 Jun 17;22:74-76. doi: 10.1016/j.rmcr.2017.06.008. eCollection 2017.
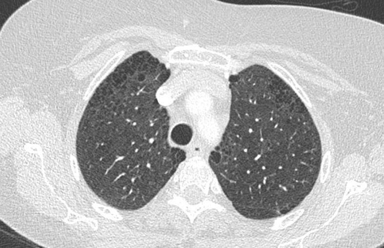
Neurofibromatosis type 1 (NF1) is a genetic disease in which pulmonary complications are rare, but severe, especially pulmonary hypertension (PH). The mechanisms underlying the onset of PH in patients with NF1 are unclear and might be multifactorial. In particular, the frequent presence of pulmonary parenchymal lesions makes etiological diagnosis of PH difficult. We describe here the case of a patient with NF1 admitted to our clinic with dyspnea and right heart failure revealing severe pre-capillary PH. Parenchymal lesions were mild and PH was attributed to pulmonary vascular involvement. Clinical and hemodynamic conditions of the patient improved under pulmonary arterial hypertension-specific combination therapy. This case suggests that treatment of PH due to pulmonary vascular involvement in NF1 may be aligned with recommendations for PAH treatment.
1型神经纤维瘤病(NF1)是一种遗传性疾病,其肺部并发症虽罕见但严重,尤其是肺动脉高压(PH)。NF1患者发生PH的潜在机制尚不清楚,可能是多因素的。特别是肺部实质病变的频繁出现使得PH的病因诊断困难。我们在此描述了一例NF1患者,因呼吸困难和右心衰竭入住我院,检查发现严重的毛细血管前PH。实质病变较轻,PH归因于肺血管受累。在肺动脉高压特异性联合治疗下,患者的临床和血流动力学状况得到改善。该病例表明,NF1中因肺血管受累导致的PH治疗可能与PAH治疗建议一致。