Suppr超能文献

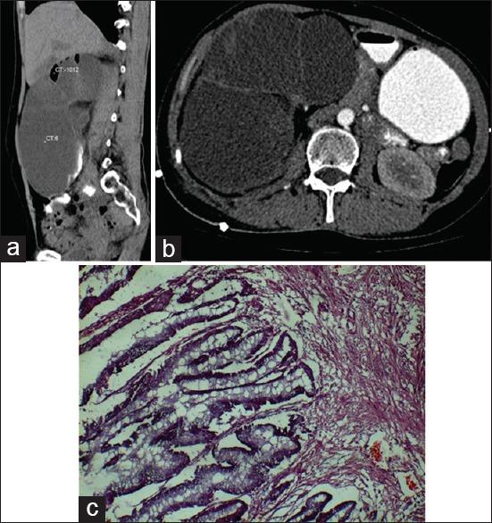
Presentation of mucinous adenocarcinoma of renal pelvis masquerading as gross hydronephrosis: A histopathological surprise.

作者信息

Patel Kajal Nitin, Patel Nitin A, Gandhi Shruti P

机构信息

Department of Radiology, G. R. Doshi and K. M. Mehta Institute of Kidney Diseases and Research Centre, Dr. H. L. Trivedi Institute of Transplantation Sciences, Ahmedabad, Gujarat, India.

Department of Radiology, Surym - The World of Imaging Centre, Ahmedabad, Gujarat, India.

出版信息

South Asian J Cancer. 2017 Apr-Jun;6(2):78. doi: 10.4103/2278-330X.208838.

Abstract
摘要
https://cdn.ncbi.nlm.nih.gov/pmc/blobs/3fda/5506816/37eada07137d/SAJC-6-78-g001.jpg

文献AI研究员

20分钟写一篇综述,助力文献阅读效率提升50倍。

立即体验

用中文搜PubMed

大模型驱动的PubMed中文搜索引擎

马上搜索

文档翻译

学术文献翻译模型,支持多种主流文档格式。

立即体验