Suppr超能文献

产生类群和共生体特异性抗体,以在刺胞动物-共生体共生期间对标记分子进行特征分析。

Generation of clade- and symbiont-specific antibodies to characterize marker molecules during Cnidaria-Symbiodinium endosymbiosis.

机构信息

Institute of Biologics, Development Center for Biotechnology, New Taipei City, 22180, Taiwan.

Graduate Institute of Marine Biology, National Dong-Hwa University, Pingtung, 94450, Taiwan.

出版信息

Sci Rep. 2017 Jul 14;7(1):5488. doi: 10.1038/s41598-017-05945-2.

Abstract

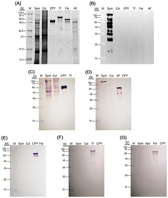
The endosymbiosis between cnidarians and dinoflagellates is responsible for the formation of coral reefs. Changes in molecules have been identified during the process of cnidaria-Symbiodinium endosymbiosis. However, the complexity of the molecular interaction has prevented the establishment of a mechanistic explanation of cellular regulation in this mutualistic symbiosis. To date, no marker molecules have been identified to specifically represent the symbiotic status. Because the endosymbiotic association occurs in the symbiotic gastrodermal cells (SGCs), whole cells of isolated SGCs were used as an antigen to generate monoclonal antibodies (mAb) to screen possible molecular candidates of symbiotic markers. The results showed that one of the generated monoclonal antibodies, 2-6F, specifically recognized clade C symbiotic Symbiodinium but not its free-living counterpart or other Symbiodinium clades. The expression levels of 2-6F mAb-recognized proteins are highly correlated with the symbiotic status, and these proteins were characterized as N-linked glycoproteins via treatment with peptide N-glycosidase F. Furthermore, their glycan moieties were markedly different from those of free-living Symbiodinium, potentially suggesting host regulation of post-translational modification. Consequently, the 2-6F mAb can be used to detect the symbiotic state of corals and investigate the complex molecular interactions in cnidaria-Symbiodinium endosymbiosis.

摘要

刺胞动物和甲藻之间的共生关系是珊瑚礁形成的原因。在刺胞动物-共生甲藻共生过程中,已经鉴定出分子的变化。然而,分子相互作用的复杂性阻碍了对这种互利共生中细胞调节的机制解释的确立。迄今为止,还没有鉴定出特定表示共生状态的标记分子。由于内共生关联发生在共生的胃层细胞(SGC)中,因此使用分离的 SGC 的整个细胞作为抗原来产生单克隆抗体(mAb),以筛选共生标记物的可能分子候选物。结果表明,所产生的单克隆抗体之一 2-6F 特异性识别共生的 C 类共生甲藻,但不识别其自由生活的对应物或其他共生甲藻类群。2-6F mAb 识别的蛋白质的表达水平与共生状态高度相关,并且这些蛋白质通过肽 N-糖苷酶 F 处理被表征为 N-连接糖蛋白。此外,它们的聚糖部分与自由生活的共生甲藻明显不同,可能提示宿主对翻译后修饰的调节。因此,2-6F mAb 可用于检测珊瑚的共生状态,并研究刺胞动物-共生甲藻内共生中的复杂分子相互作用。

https://cdn.ncbi.nlm.nih.gov/pmc/blobs/fb74/5511166/6dc4ef467f72/41598_2017_5945_Fig1_HTML.jpg

文献AI研究员

20分钟写一篇综述,助力文献阅读效率提升50倍。

立即体验

用中文搜PubMed

大模型驱动的PubMed中文搜索引擎

马上搜索

文档翻译

学术文献翻译模型,支持多种主流文档格式。

立即体验