Suppr超能文献

γ3重链沉积病的长期肾脏存活:一例报告

Long-term renal survival of γ3-heavy chain deposition disease: a case report.

作者信息

Katsuno Takayuki, Mizuno Shige, Mabuchi Masatsuna, Tsuboi Naotake, Komatsuda Atsushi, Maruyama Shoichi

机构信息

Department of Nephrology, Nagoya University Graduate School of Medicine, 65 Tsurumai-cho, Showa-ku, Nagoya, 466-8550, Japan.

Department of Internal Medicine, Kaikoukai Jyousai Hospital, Nagoya, Japan.

出版信息

BMC Nephrol. 2017 Jul 17;18(1):239. doi: 10.1186/s12882-017-0645-z.

Abstract

BACKGROUND

Monoclonal immunoglobulin deposition disease (MIDD) is characterized by the non-amyloid deposition of monoclonal immunoglobulin fragments in the basement membranes. Heavy chain deposition disease (HCDD) is a type of MIDD. HCDD is an extremely rare disease, and only three cases have been reported in Japan up to the present. The prognosis of HCDD is very poor, and optimal treatment has not been established. Only a few cases of HCDD with favorable long-term renal prognosis have been reported to date.

CASE PRESENTATION

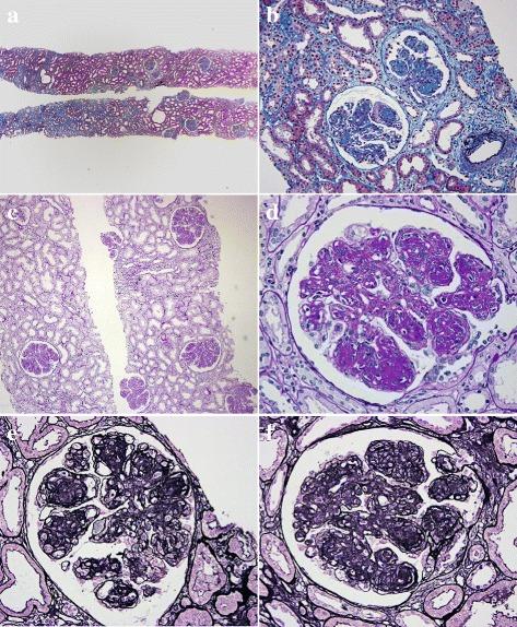
The authors describe a 61-year-old woman who presented with massive proteinuria, progressive kidney impairment, and hypocomplementemia. Kidney biopsy was performed for a precise diagnosis. On light microscopy, glomerules were lobulated and presented with nodular sclerosing glomerulopathy with membranoproliferative glomerulonephritis-like features. Immunofluorescence studies were positive for IgG, C3, and C1q within the mesangial nodules and in a linear distribution along the capillary walls without associated deposition of light chains. Staining for IgG showed the presence of linear deposits along tubular basement membranes. The analysis of the IgG subclass stain demonstrated intense positivity for IgG3 only. Electron microscopy revealed non-organized electron-dense deposits in the expanded mesangial area and inner aspect of the glomerular basement membranes. In accordance with the histological findings, we diagnosed γ3-HCDD. There was no evidence of plasma cell dyscrasia as a result of bone marrow aspiration. Serum and urine monoclonal proteins were not detected by immunoelectrophoresis and immunofixation electrophoresis. The serum free light chain ratio was within normal range. At first, prednisolone was administrated at a dose of 40 mg/day. However, a therapeutic effect was not observed. Urinary protein was not decreased and renal function further deteriorated. Therefore, melphalan plus prednisolone (MP) therapy was initiated. After 4 courses of MP therapy, the clinical parameters, including proteinuria, serum creatinine, albumin, and complement level (C3 and C4) were ameliorated. To date, the patient has been followed for 28 months, and long-term renal survival has been observed.

CONCLUSIONS

In this case, hematologic disease such as multiple myeloma was not detected; however, MP therapy was effective. Recently, the novel concept of monoclonal gammopathy of renal significance (MGRS) has been reported. MIDD, which includes HCDD, is one category of MGRS. In MGRS, aggressive chemotherapy may induce favorable renal outcomes.

摘要

背景

单克隆免疫球蛋白沉积病(MIDD)的特征是单克隆免疫球蛋白片段在基底膜中非淀粉样沉积。重链沉积病(HCDD)是MIDD的一种类型。HCDD是一种极为罕见的疾病,截至目前日本仅报道过3例。HCDD的预后非常差,尚未确立最佳治疗方案。迄今为止,仅有少数几例HCDD患者具有良好的长期肾脏预后。

病例报告

作者描述了一名61岁女性,她出现大量蛋白尿、进行性肾功能损害和低补体血症。为明确诊断进行了肾脏活检。光镜下,肾小球呈分叶状,表现为结节性硬化性肾小球病,具有膜增生性肾小球肾炎样特征。免疫荧光研究显示,系膜结节内以及沿毛细血管壁呈线性分布的IgG、C3和C1q呈阳性,且无轻链相关沉积。IgG染色显示沿肾小管基底膜存在线性沉积物。IgG亚类染色分析仅显示IgG3呈强阳性。电子显微镜检查显示,在系膜区增宽处和肾小球基底膜内侧有不规则的电子致密沉积物。根据组织学检查结果,我们诊断为γ3-HCDD。骨髓穿刺未发现浆细胞异常增殖的证据。免疫电泳和免疫固定电泳未检测到血清和尿液中的单克隆蛋白。血清游离轻链比值在正常范围内。起初,给予泼尼松龙40mg/天。然而,未观察到治疗效果。尿蛋白未减少,肾功能进一步恶化。因此,开始使用美法仑加泼尼松龙(MP)治疗。经过4个疗程的MP治疗后,包括蛋白尿、血清肌酐、白蛋白和补体水平(C3和C4)在内的临床指标得到改善。迄今为止,对该患者进行了28个月的随访,观察到其肾脏长期存活。

结论

在本病例中,未检测到如多发性骨髓瘤等血液系统疾病;然而,MP治疗是有效的。最近,有报道提出了具有肾脏意义的单克隆丙种球蛋白病(MGRS)这一新概念。包括HCDD在内的MIDD是MGRS的一种类型。在MGRS中,积极的化疗可能会带来良好的肾脏预后。

https://cdn.ncbi.nlm.nih.gov/pmc/blobs/2bdb/5512846/d8c03c0a52b5/12882_2017_645_Fig1_HTML.jpg

文献AI研究员

20分钟写一篇综述,助力文献阅读效率提升50倍。

立即体验

用中文搜PubMed

大模型驱动的PubMed中文搜索引擎

马上搜索

文档翻译

学术文献翻译模型,支持多种主流文档格式。

立即体验