Suppr超能文献

自攻自钻微型螺钉植入导致牙根损伤后的牙骨质和牙本质修复

Cementum and dentin repair following root damage caused by the insertion of self-tapping and self-drilling miniscrews.

作者信息

Ghanbarzadeh Majid, Heravi Farzin, Abrishamchi Reihaneh, Shafaee Hooman, Ghazi Narges, Heravi Parya, Ghanbarzadeh Hamid

机构信息

Dental Research Center, Mashhad University of Medical Sciences, Mashhad, Iran.

Orthodontist, Mashhad, Iran.

出版信息

J Orthod Sci. 2017 Jul-Sep;6(3):91-96. doi: 10.4103/jos.JOS_150_16.

Abstract

OBJECTIVE

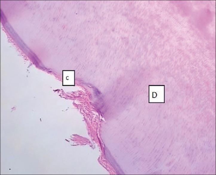
The aim of this study was to evaluate the histological responses of cementum, root dentin, and pulp following intentional root injuries caused via self-tapping and self-drilling miniscrews.

MATERIALS AND METHODS

Fourteen patients (with a mean age of 15.7 years and age range of 14-18 years) who were scheduled for the extraction of all four first premolars as part of their orthodontic treatment plan participated in this study. The roots of the right and the left quadrants' first premolars were designedly injured using self-tapping miniscrews and self-drilling miniscrews, respectively. Teeth were extracted eight weeks after the injury. Cementum repair was assessed through histological examinations.

RESULTS

In this study, 40 teeth (75.4%) showed reparative cementum formation and 13 teeth (24.5%) showed no repair. There was no significant difference between the two groups regarding the formation of reparative cementum ( = 0.3). In all examined teeth, the inflammatory response of the pulp to the cold test was within the normal range.

CONCLUSION

This study showed that in most cases, the healing of cementum was observed eight weeks after the injury and the two methods of miniscrew insertion showed no significant difference when it comes to the healing process.

摘要

目的

本研究旨在评估自攻自钻微型螺钉造成的故意牙根损伤后,牙骨质、牙根牙本质和牙髓的组织学反应。

材料与方法

14例患者(平均年龄15.7岁,年龄范围14 - 18岁)参与了本研究,他们因正畸治疗计划而计划拔除全部四颗第一前磨牙。分别使用自攻微型螺钉和自钻微型螺钉故意损伤左右象限第一前磨牙的牙根。损伤八周后拔除牙齿。通过组织学检查评估牙骨质修复情况。

结果

本研究中,40颗牙齿(75.4%)显示有修复性牙骨质形成,13颗牙齿(24.5%)未显示修复。两组在修复性牙骨质形成方面无显著差异( = 0.3)。在所有检查的牙齿中,牙髓对冷测试的炎症反应在正常范围内。

结论

本研究表明,在大多数情况下,损伤八周后观察到牙骨质愈合,两种微型螺钉植入方法在愈合过程方面无显著差异。

https://cdn.ncbi.nlm.nih.gov/pmc/blobs/82b5/5508409/819d18bf8a88/JOS-6-91-g001.jpg

文献AI研究员

20分钟写一篇综述,助力文献阅读效率提升50倍。

立即体验

用中文搜PubMed

大模型驱动的PubMed中文搜索引擎

马上搜索

文档翻译

学术文献翻译模型,支持多种主流文档格式。

立即体验