Suppr超能文献

Multicompartmental Trigeminal Schwannomas: Dumbbell Tumors Revisited.

作者信息

Mahajan Abhishek, Sable Nilesh P, Vaish Richa, Moiyadi Aliasgar, Arya Supreeta, D'Cruz Anil Keith

机构信息

All authors: Tata Memorial Hospital, Tata Memorial Centre, Mumbai, Maharashtra, India.

出版信息

J Glob Oncol. 2016 Jul 27;2(6):431-435. doi: 10.1200/JGO.2016.006122. eCollection 2016 Dec.

Abstract

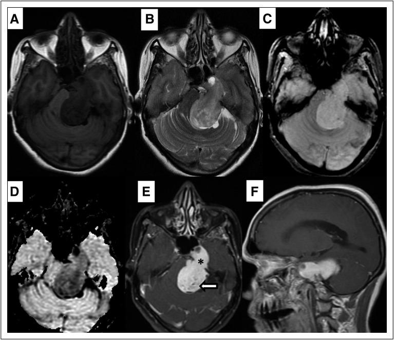
Multicompartmental trigeminal schwannomas (MTSs) are a rare and complex but treatable group of tumors. Herein, we describe the clinicoradiologic presentation of two patients with MTS. The two illustrated distinct case reports highlight the role of imaging and the outcome of two different types of MTS. The Discussion summarizes the literature to date, which will help the reader diagnose these tumors in a timely manner and manage them appropriately.

摘要
https://cdn.ncbi.nlm.nih.gov/pmc/blobs/efcc/5493256/41592b692cb9/JGO.2016.006122f1.jpg

文献AI研究员

20分钟写一篇综述,助力文献阅读效率提升50倍。

立即体验

用中文搜PubMed

大模型驱动的PubMed中文搜索引擎

马上搜索

文档翻译

学术文献翻译模型,支持多种主流文档格式。

立即体验