Saeed Saqib, Alothman Sara, Persaud Amrita, Gray Sanjiv, Ahmed Leaque
Department of Surgery, Harlem Hospital Center, New York, NY 10037, USA.
J Surg Case Rep. 2017 Jul 13;2017(7):rjx134. doi: 10.1093/jscr/rjx134. eCollection 2017 Jul.
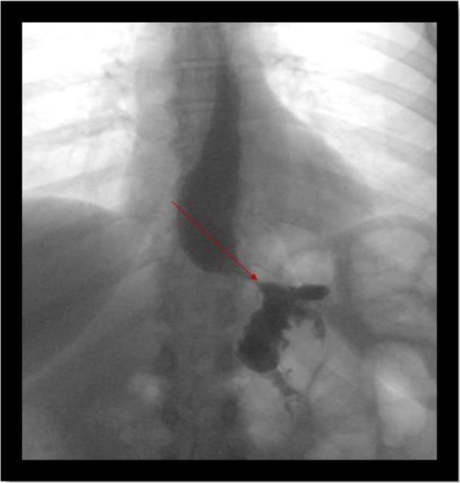
Gastro-gastric fistula is a communication between the gastric remnant and gastric pouch. It is a rare complication of Roux-en-Y gastric bypass. It is caused by anastomotic leak, marginal ulcers, distal obstruction or erosion from foreign body. In this case report, we are presenting a successful laparoscopic repair of gastro-gastric fistula in a patient who presented with weight gain after initial loss.