MacLauchlan Susan, Zuriaga Maria A, Fuster José J, Cuda Carla M, Jonason Jennifer, Behzadi Fernanda, Duffen Jennifer Parker, Haines G Kenneth, Aprahamian Tamar, Perlman Harris, Walsh Kenneth
Molecular Cardiology, Whitaker Cardiovascular Institute, Boston University School of Medicine, 700 Albany Street, W-611, Boston, MA, 02118, USA.
Division of Rheumatology, Department of Medicine, Northwestern University, Feinberg School of Medicine, 240 E. Huron Street, McGaw M338, Chicago, IL, USA.
Arthritis Res Ther. 2017 Jul 19;19(1):166. doi: 10.1186/s13075-017-1375-0.
Rheumatoid arthritis (RA) is a common autoimmune disease characterized by chronic inflammation of the joints, leading to bone erosion and joint dysfunction. Despite the recent successes of disease-modifying anti-rheumatic drugs (DMARDs), there is still clinical need for understanding the development and molecular etiology of RA. Wnts are developmental morphogens whose roles in adult pathology are poorly characterized. Wnt5a is a member of the non-canonical family of Wnts that modulates a wide range of cell processes, including differentiation, migration, and inflammation. Wnt5a has been implicated as a possible contributor to arthritis and it is upregulated in synovial fibroblasts from RA patients.
We investigated the role of endogenous Wnt5a in RA. Tamoxifen-inducible, Wnt5a knockout (Wnt5a cKO) mice and littermate controls were monitored for arthritis development and joint pathology using the K/BxN serum transfer-induced arthritis (STIA) model. To explore a role of Wnt5a in osteoclast fusion, bone marrow-derived monocytes (BMDMs) were differentiated in vitro.
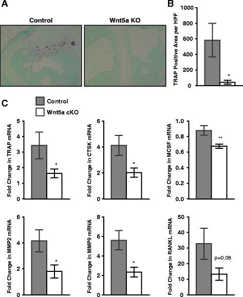
Wnt5a cKO mice were resistant to arthritis development compared to control littermates as assessed by ankle thickness and histologic measurements. Some parameters of inflammation were reduced in the Wnt5a cKO mice, including the extent of polymononuclear cell infiltration and extra-articular inflammation. Wnt5a cKO mice also exhibited less cartilage destruction and a reduction in osteoclast activity with concomitant reduction in tartrate-resistant acid phosphatase (TRAP), cathepsin K (CTSK), macrophage colony-stimulating factor (MCSF), matrix metalloproteinase (MMP)2 and MMP9 in the arthritic joints. Treatment of BMDMs with Wnt5a enhanced osteoclast fusion and increased the expression of dendrocyte-expressed seven transmembrane protein (DCSTAMP) and MMP9, that are necessary for osteoclast formation and activity.
These data suggest that Wnt5a modulates the development of arthritis by promoting inflammation and osteoclast fusion, and provide the first mouse genetic evidence of a role for endogenous Wnt5a in autoimmune disease.
类风湿关节炎(RA)是一种常见的自身免疫性疾病,其特征为关节慢性炎症,可导致骨侵蚀和关节功能障碍。尽管近年来改善病情抗风湿药物(DMARDs)取得了成功,但临床上仍需要了解RA的发病机制和分子病因。Wnts是发育形态发生素,其在成人病理学中的作用尚未得到充分表征。Wnt5a是非经典Wnt家族的成员,可调节多种细胞过程,包括分化、迁移和炎症。Wnt5a被认为可能是关节炎的一个促成因素,并且在RA患者的滑膜成纤维细胞中上调。
我们研究了内源性Wnt5a在RA中的作用。使用K/BxN血清转移诱导性关节炎(STIA)模型,对他莫昔芬诱导的Wnt5a基因敲除(Wnt5a cKO)小鼠和同窝对照小鼠进行关节炎发展和关节病理学监测。为了探究Wnt5a在破骨细胞融合中的作用,体外分化骨髓来源的单核细胞(BMDM)。
通过踝关节厚度和组织学测量评估,与对照同窝小鼠相比,Wnt5a cKO小鼠对关节炎发展具有抗性。Wnt5a cKO小鼠的一些炎症参数降低,包括多形核细胞浸润程度和关节外炎症。Wnt5a cKO小鼠还表现出较少的软骨破坏和破骨细胞活性降低,同时关节炎关节中的抗酒石酸酸性磷酸酶(TRAP)、组织蛋白酶K(CTSK)、巨噬细胞集落刺激因子(MCSF)、基质金属蛋白酶(MMP)2和MMP9减少。用Wnt5a处理BMDM可增强破骨细胞融合,并增加破骨细胞形成和活性所必需的树突状细胞表达的七跨膜蛋白(DCSTAMP)和MMP9的表达。
这些数据表明,Wnt5a通过促进炎症和破骨细胞融合来调节关节炎的发展,并提供了内源性Wnt5a在自身免疫性疾病中作用的首个小鼠遗传学证据。