Suppr超能文献

A second reported malignancy in a patient with Morquio syndrome.

作者信息

Hamza Ameer, Khawar Sidrah, Ibrahim Ahmad, Edens Jacob, Lalonde Crystal, Danforth Robert D

机构信息

St. John Hospital and Medical Center. Detroit, MI, United States of America.

UW Health Augusta Family Medicine Center. Augusta, WI, United States of America.

出版信息

Autops Case Rep. 2017 Jun 30;7(2):9-14. doi: 10.4322/acr.2017.019. eCollection 2017 Apr-Jun.

Abstract

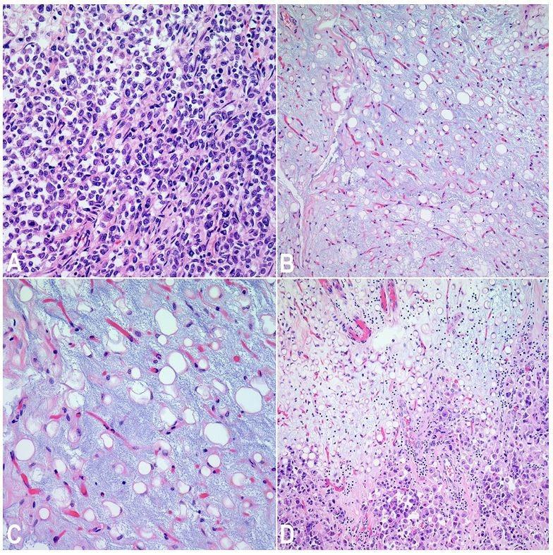
Morquio syndrome is a rare lysosomal storage disease that affects multiple organ systems. However, it is rarely associated with malignancy. We present the case of a 30-year old man with Morquio syndrome associated with gastric adenocarcinoma. This case also demonstrates two other findings that have not been previously described in patients with Morquio syndrome - malrotation of brainstem and cerebellum, without clinical neurologic deficit, and persistence of fetal lobulation in the kidneys.

摘要
https://cdn.ncbi.nlm.nih.gov/pmc/blobs/98ec/5507564/b68e7ecd741b/autopsy-07-02009-g01.jpg

文献AI研究员

20分钟写一篇综述,助力文献阅读效率提升50倍。

立即体验

用中文搜PubMed

大模型驱动的PubMed中文搜索引擎

马上搜索

文档翻译

学术文献翻译模型,支持多种主流文档格式。

立即体验