• 文献检索
  • 文档翻译
  • 深度研究
  • 学术资讯
  • Suppr Zotero 插件Zotero 插件
  • 邀请有礼
  • 套餐&价格
  • 历史记录
应用&插件
Suppr Zotero 插件Zotero 插件浏览器插件Mac 客户端Windows 客户端微信小程序
定价
高级版会员购买积分包购买API积分包
服务
文献检索文档翻译深度研究API 文档MCP 服务
关于我们
关于 Suppr公司介绍联系我们用户协议隐私条款
关注我们

Suppr 超能文献

核心技术专利:CN118964589B侵权必究
粤ICP备2023148730 号-1Suppr @ 2026

文献检索

告别复杂PubMed语法,用中文像聊天一样搜索,搜遍4000万医学文献。AI智能推荐,让科研检索更轻松。

立即免费搜索

文件翻译

保留排版,准确专业,支持PDF/Word/PPT等文件格式,支持 12+语言互译。

免费翻译文档

深度研究

AI帮你快速写综述,25分钟生成高质量综述,智能提取关键信息,辅助科研写作。

立即免费体验

利用机制酶学评估ADP与人类Lon蛋白酶结合的意义。

Utilization of Mechanistic Enzymology to Evaluate the Significance of ADP Binding to Human Lon Protease.

作者信息

Fishovitz Jennifer, Sha Zhou, Chilakala Sujatha, Cheng Iteen, Xu Yan, Lee Irene

机构信息

Department of Chemistry and Physics, Saint Mary's CollegeNotre Dame, IN, United States.

Department of Chemistry, Case Western Reserve UniversityCleveland, OH, United States.

出版信息

Front Mol Biosci. 2017 Jul 11;4:47. doi: 10.3389/fmolb.2017.00047. eCollection 2017.

DOI:10.3389/fmolb.2017.00047
PMID:28744459
原文链接:https://pmc.ncbi.nlm.nih.gov/articles/PMC5504276/
Abstract

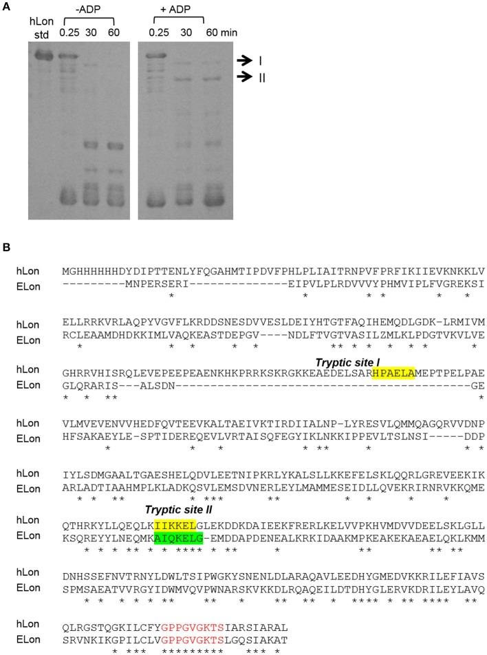
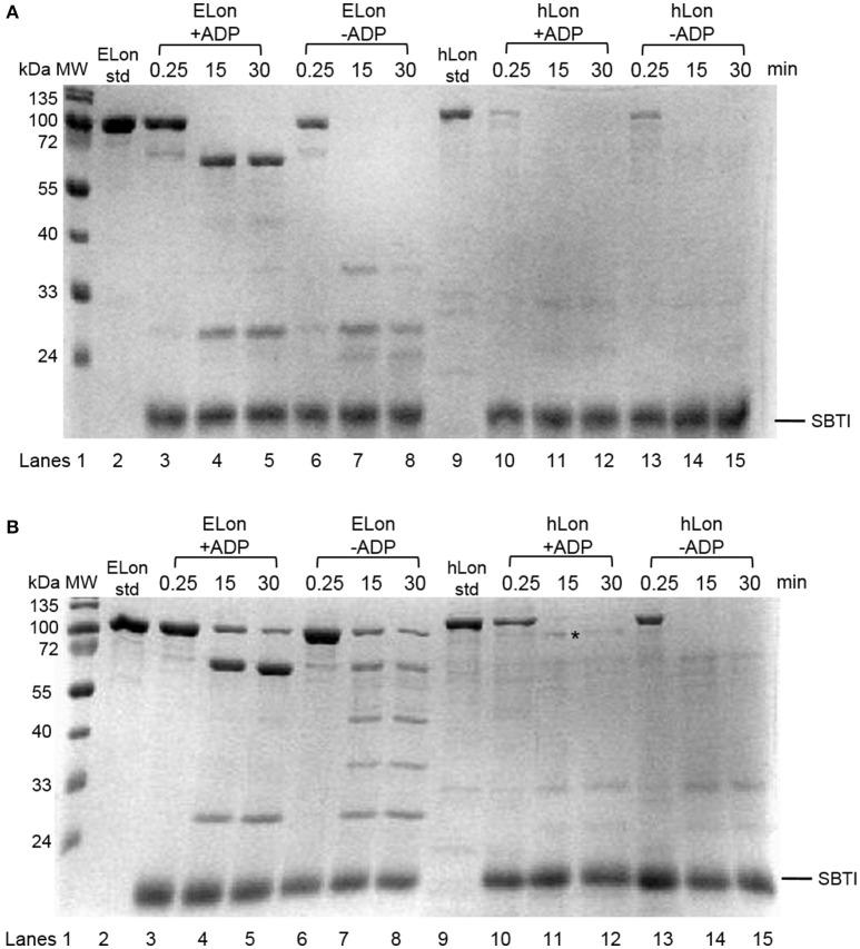
Lon, also known as Protease La, is one of the simplest ATP-dependent proteases. It is a homooligomeric enzyme comprised of an ATPase domain and a proteolytic domain in each enzyme subunit. Despite sharing about 40% sequence identity, human and Lon proteases utilize a highly conserved ATPase domain found in the AAA+ family to catalyze ATP hydrolysis, which is needed to activate protein degradation. In this study, we utilized mechanistic enzymology techniques to show that despite comparable k and K parameters found in the ATPase activity, human and Lon exhibit significantly different susceptibility to ADP inhibition. Due to the low affinity of human Lon for ADP, the conformational changes in human Lon generated from the ATPase cycle are also different. The relatively low affinity of human Lon for ADP cannot be accounted for by reversibility in ATP hydrolysis, as a positional isotope exchange experiment demonstrated both Lon and human Lon catalyzed ATP hydrolysis irreversibly. A limited tryptic digestion study however indicated that human and Lon bind to ADP differently. Taken together, the findings reported in this research article suggest that human Lon is not regulated by a substrate-promoted ADP/ATP exchange mechanism as found in the bacterial enzyme homolog. The drastic difference in structural changes associated with ADP interaction with the two protease homologs offer potential for selective inhibitor design and development through targeting the ATPase sites. In addition to revealing unique mechanistic differences that distinguish human vs. bacterial Lon, this article underscores the benefit of mechanistic enzymology in deciphering the physiological mechanism of action of Lon proteases and perhaps other closely related ATP-dependent proteases in the future.

摘要

Lon,也被称为蛋白酶La,是最简单的ATP依赖性蛋白酶之一。它是一种同寡聚酶,每个酶亚基都由一个ATP酶结构域和一个蛋白水解结构域组成。尽管人类和Lon蛋白酶的序列同一性约为40%,但它们利用AAA+家族中高度保守的ATP酶结构域来催化ATP水解,这是激活蛋白质降解所必需的。在本研究中,我们利用机制酶学技术表明,尽管在ATP酶活性中发现了相当的k和K参数,但人类和Lon对ADP抑制的敏感性却有显著差异。由于人类Lon对ADP的亲和力较低,ATP酶循环产生的人类Lon的构象变化也不同。人类Lon对ADP的相对低亲和力不能用ATP水解的可逆性来解释,因为位置同位素交换实验表明Lon和人类Lon都不可逆地催化ATP水解。然而,一项有限的胰蛋白酶消化研究表明,人类和Lon与ADP的结合方式不同。综上所述,本研究文章报道的结果表明,人类Lon不像细菌酶同源物那样受底物促进的ADP/ATP交换机制调节。与ADP与两种蛋白酶同源物相互作用相关的结构变化的巨大差异为通过靶向ATP酶位点进行选择性抑制剂的设计和开发提供了潜力。除了揭示区分人类与细菌Lon的独特机制差异外,本文还强调了机制酶学在未来解读Lon蛋白酶以及可能其他密切相关的ATP依赖性蛋白酶的生理作用机制方面的益处。

https://cdn.ncbi.nlm.nih.gov/pmc/blobs/d40e/5504276/bc5b5fb10abc/fmolb-04-00047-g0004.jpg
https://cdn.ncbi.nlm.nih.gov/pmc/blobs/d40e/5504276/220d98f7e93d/fmolb-04-00047-g0001.jpg
https://cdn.ncbi.nlm.nih.gov/pmc/blobs/d40e/5504276/2cc9e1a7f4a7/fmolb-04-00047-g0002.jpg
https://cdn.ncbi.nlm.nih.gov/pmc/blobs/d40e/5504276/0d07ee90cd9e/fmolb-04-00047-g0005.jpg
https://cdn.ncbi.nlm.nih.gov/pmc/blobs/d40e/5504276/408db6d6867a/fmolb-04-00047-g0003.jpg
https://cdn.ncbi.nlm.nih.gov/pmc/blobs/d40e/5504276/bc5b5fb10abc/fmolb-04-00047-g0004.jpg
https://cdn.ncbi.nlm.nih.gov/pmc/blobs/d40e/5504276/220d98f7e93d/fmolb-04-00047-g0001.jpg
https://cdn.ncbi.nlm.nih.gov/pmc/blobs/d40e/5504276/2cc9e1a7f4a7/fmolb-04-00047-g0002.jpg
https://cdn.ncbi.nlm.nih.gov/pmc/blobs/d40e/5504276/0d07ee90cd9e/fmolb-04-00047-g0005.jpg
https://cdn.ncbi.nlm.nih.gov/pmc/blobs/d40e/5504276/408db6d6867a/fmolb-04-00047-g0003.jpg
https://cdn.ncbi.nlm.nih.gov/pmc/blobs/d40e/5504276/bc5b5fb10abc/fmolb-04-00047-g0004.jpg

相似文献

1
Utilization of Mechanistic Enzymology to Evaluate the Significance of ADP Binding to Human Lon Protease.利用机制酶学评估ADP与人类Lon蛋白酶结合的意义。
Front Mol Biosci. 2017 Jul 11;4:47. doi: 10.3389/fmolb.2017.00047. eCollection 2017.
2
Utilization of positional isotope exchange experiments to evaluate reversibility of ATP hydrolysis catalyzed by Escherichia coli Lon protease.利用位置同位素交换实验评估大肠杆菌 Lon 蛋白酶催化的 ATP 水解的可逆性。
Biochem Cell Biol. 2010 Feb;88(1):119-28. doi: 10.1139/o09-117.
3
Transient kinetic experiments demonstrate the existence of a unique catalytic enzyme form in the peptide-stimulated ATPase mechanism of Escherichia coli Lon protease.瞬态动力学实验证明,在大肠杆菌Lon蛋白酶的肽刺激ATP酶机制中存在一种独特的催化酶形式。
Biochemistry. 2006 Sep 26;45(38):11432-43. doi: 10.1021/bi060809+.
4
Recent developments in the mechanistic enzymology of the ATP-dependent Lon protease from Escherichia coli: highlights from kinetic studies.大肠杆菌ATP依赖型Lon蛋白酶的机制酶学最新进展:动力学研究亮点
Mol Biosyst. 2006 Oct;2(10):477-83. doi: 10.1039/b609936j. Epub 2006 Aug 24.
5
Kinetic characterization of the peptidase activity of Escherichia coli Lon reveals the mechanistic similarities in ATP-dependent hydrolysis of peptide and protein substrates.大肠杆菌Lon蛋白酶活性的动力学特征揭示了肽和蛋白质底物ATP依赖性水解的机制相似性。
Biochemistry. 2002 Jul 30;41(30):9418-25. doi: 10.1021/bi0255470.
6
Domain structure and ATP-induced conformational changes in Escherichia coli protease Lon revealed by limited proteolysis and autolysis.通过有限蛋白酶解和自溶揭示大肠杆菌蛋白酶Lon的结构域结构及ATP诱导的构象变化
FEBS Lett. 2002 Aug 28;526(1-3):66-70. doi: 10.1016/s0014-5793(02)03117-4.
7
Correlation of an adenine-specific conformational change with the ATP-dependent peptidase activity of Escherichia coli Lon.腺嘌呤特异性构象变化与大肠杆菌Lon的ATP依赖性肽酶活性的相关性。
Biochemistry. 2004 Jun 15;43(23):7432-42. doi: 10.1021/bi036165c.
8
Identification of a region in the N-terminus of Escherichia coli Lon that affects ATPase, substrate translocation and proteolytic activity.鉴定大肠杆菌 Lon 氨基端影响 ATP 酶、底物转运和蛋白水解活性的区域。
J Mol Biol. 2012 May 4;418(3-4):208-25. doi: 10.1016/j.jmb.2012.02.039. Epub 2012 Mar 1.
9
[Coupling of proteolysis and hydrolysis of ATP upon functioning of Lon proteinase of Escherichia coli. II. Hydrolysis of ATP and activity of peptide hydrolase sites of the enzyme].[大肠杆菌Lon蛋白酶发挥功能时蛋白水解作用与ATP水解作用的偶联。II. ATP的水解及该酶肽水解酶位点的活性]
Bioorg Khim. 2001 Mar-Apr;27(2):120-9. doi: 10.1023/a:1011333103493.
10
Single-turnover kinetic experiments confirm the existence of high- and low-affinity ATPase sites in Escherichia coli Lon protease.单周转动力学实验证实了大肠杆菌Lon蛋白酶中存在高亲和力和低亲和力的ATP酶位点。
Biochemistry. 2006 Apr 11;45(14):4602-10. doi: 10.1021/bi052377t.

引用本文的文献

1
A structure and function relationship study to identify the impact of the R721G mutation in the human mitochondrial lon protease.一种结构与功能关系的研究,旨在确定人线粒体 lon 蛋白酶中 R721G 突变的影响。
Arch Biochem Biophys. 2021 Oct 15;710:108983. doi: 10.1016/j.abb.2021.108983. Epub 2021 Jul 3.

本文引用的文献

1
CODAS syndrome is associated with mutations of LONP1, encoding mitochondrial AAA+ Lon protease.CODAS 综合征与编码线粒体 AAA+ Lon 蛋白酶的 LONP1 基因突变有关。
Am J Hum Genet. 2015 Jan 8;96(1):121-35. doi: 10.1016/j.ajhg.2014.12.003.
2
Utilization of positional isotope exchange experiments to evaluate reversibility of ATP hydrolysis catalyzed by Escherichia coli Lon protease.利用位置同位素交换实验评估大肠杆菌 Lon 蛋白酶催化的 ATP 水解的可逆性。
Biochem Cell Biol. 2010 Feb;88(1):119-28. doi: 10.1139/o09-117.
3
NCBI BLAST: a better web interface.
美国国立生物技术信息中心基本局部比对搜索工具:一个更好的网络界面。
Nucleic Acids Res. 2008 Jul 1;36(Web Server issue):W5-9. doi: 10.1093/nar/gkn201. Epub 2008 Apr 24.
4
Peptidyl boronates inhibit Salmonella enterica serovar Typhimurium Lon protease by a competitive ATP-dependent mechanism.肽基硼酸酯通过竞争性ATP依赖机制抑制肠炎沙门氏菌鼠伤寒血清型Lon蛋白酶。
Biochemistry. 2007 Jun 5;46(22):6647-57. doi: 10.1021/bi7002789. Epub 2007 May 12.
5
Identification of the proteasome inhibitor MG262 as a potent ATP-dependent inhibitor of the Salmonella enterica serovar Typhimurium Lon protease.鉴定蛋白酶体抑制剂MG262为肠炎沙门氏菌鼠伤寒血清型Lon蛋白酶的一种有效的ATP依赖性抑制剂。
Biochemistry. 2006 Jul 11;45(27):8264-74. doi: 10.1021/bi060542e.
6
Protein degradation in mitochondria: implications for oxidative stress, aging and disease: a novel etiological classification of mitochondrial proteolytic disorders.线粒体中的蛋白质降解:对氧化应激、衰老和疾病的影响:线粒体蛋白水解紊乱的一种新病因分类
Mitochondrion. 2001 Jun;1(1):33-49. doi: 10.1016/s1567-7249(01)00005-8.
7
Reversible redox-dependent modulation of mitochondrial aconitase and proteolytic activity during in vivo cardiac ischemia/reperfusion.体内心脏缺血/再灌注期间线粒体乌头酸酶的可逆性氧化还原依赖性调节及蛋白水解活性
Proc Natl Acad Sci U S A. 2005 Apr 26;102(17):5987-91. doi: 10.1073/pnas.0501519102. Epub 2005 Apr 19.
8
Downregulation of the human Lon protease impairs mitochondrial structure and function and causes cell death.人源Lon蛋白酶的下调会损害线粒体结构和功能并导致细胞死亡。
Free Radic Biol Med. 2005 Mar 1;38(5):665-77. doi: 10.1016/j.freeradbiomed.2004.11.017.
9
Monitoring the timing of ATP hydrolysis with activation of peptide cleavage in Escherichia coli Lon by transient kinetics.通过瞬态动力学监测大肠杆菌Lon中肽切割激活时ATP水解的时间。
Biochemistry. 2005 Feb 8;44(5):1671-82. doi: 10.1021/bi048618z.
10
Correlation of an adenine-specific conformational change with the ATP-dependent peptidase activity of Escherichia coli Lon.腺嘌呤特异性构象变化与大肠杆菌Lon的ATP依赖性肽酶活性的相关性。
Biochemistry. 2004 Jun 15;43(23):7432-42. doi: 10.1021/bi036165c.