Department of Ophthalmology, Juntendo University Urayasu Hospital, Chiba, Japan.
Department of Ophthalmology, Juntendo University School of Medicine, Tokyo, Japan.
Mediators Inflamm. 2017;2017:3124753. doi: 10.1155/2017/3124753. Epub 2017 Jun 29.
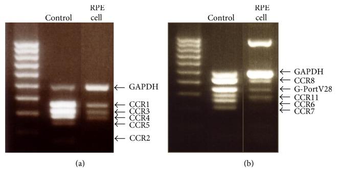
Numerous mast cells are present in the choroid, but the effects of mast cell mediators on retinal pigment epithelial (RPE) cells are not well understood. We investigated the influence of mast cell mediators on RPE cells in vitro, focusing on tryptase. Expression of receptors was examined by the reverse transcription polymerase chain reaction. We also assessed production of interleukin 8 and vascular endothelial growth factor (VEGF) after RPE cells were stimulated with mast cell mediators by using an antibody array and enzyme-linked immunosorbent assay. Furthermore, we investigated the influence of tryptase on RPE cell migration and integrity by the scratch assay and the transepithelial resistance. RPE cells expressed protease-activated receptor 2 (PAR2), histamine receptor 1, tumor necrosis factor- (TNF-) receptor 1, and CCR 1, 3, 4, 8, and 11. Tryptase, PAR2 agonists, histamine, and TNF- all enhanced interleukin 8 production by RPE cells, while only tryptase enhanced VEGF production. Tryptase also enhanced expression of phosphorylated extracellular signal-regulated kinases 1/2, resulting in increased migration of RPE cells. However, tryptase did not alter epithelial integrity or the expression of zonula occludens-1 and junctional adhesion molecule-A by RPE cells. Mast cell mediators, especially tryptase, may influence RPE cell inflammation.
大量肥大细胞存在于脉络膜中,但肥大细胞介质对视网膜色素上皮 (RPE) 细胞的影响尚未得到很好的理解。我们研究了肥大细胞介质对体外 RPE 细胞的影响,重点研究了胰蛋白酶。通过逆转录聚合酶链反应检查受体的表达。我们还通过抗体阵列和酶联免疫吸附试验评估了 RPE 细胞在受到肥大细胞介质刺激后白细胞介素 8 和血管内皮生长因子 (VEGF) 的产生。此外,我们通过划痕试验和跨上皮电阻评估了胰蛋白酶对 RPE 细胞迁移和完整性的影响。RPE 细胞表达蛋白酶激活受体 2 (PAR2)、组胺受体 1、肿瘤坏死因子- (TNF-) 受体 1、以及 CCR 1、3、4、8 和 11。胰蛋白酶、PAR2 激动剂、组胺和 TNF-α均增强了 RPE 细胞白细胞介素 8 的产生,而只有胰蛋白酶增强了 VEGF 的产生。胰蛋白酶还增强了磷酸化细胞外信号调节激酶 1/2 的表达,从而增强了 RPE 细胞的迁移。然而,胰蛋白酶并未改变 RPE 细胞的上皮完整性或紧密连接蛋白-1 和连接黏附分子-A 的表达。肥大细胞介质,尤其是胰蛋白酶,可能会影响 RPE 细胞的炎症反应。