Suppr超能文献

单侧髁突增生——存在基因关联?病例报告。

Unilateral condylar hyperplasia - A genetic link? Case reports.

作者信息

Mahajan Monika

机构信息

Department of Orthodontics and Dentofacial Orthopedics, Himachal Pradesh Government Dental College and Hospital, Shimla, Himachal Pradesh, India.

出版信息

Natl J Maxillofac Surg. 2017 Jan-Jun;8(1):58-63. doi: 10.4103/njms.NJMS_64_16.

Abstract

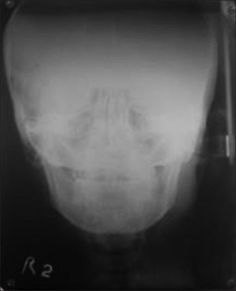
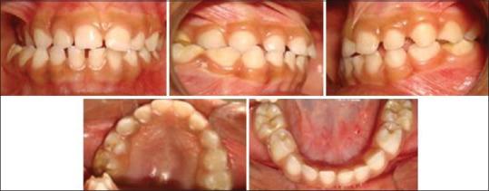
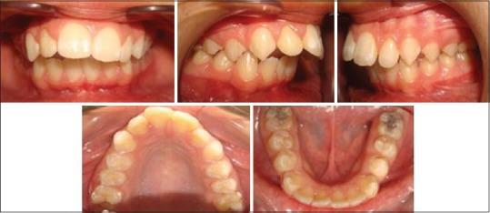
Unilateral condylar hyperplasia is an uncommon condition with unknown etiology which causes overdevelopment of condyle leading to facial asymmetry, mandibular deviation, malocclusion, and articulation dysfunction. Two Indian families with unilateral condylar hyperplasia are presented where the similar abnormality was also detected in one of their parents. The condylar hyperplasia in these two families indicates that mandibular condylar hyperplasia could be genetic in origin.

摘要

单侧髁突增生是一种病因不明的罕见病症,它会导致髁突过度发育,进而引起面部不对称、下颌偏斜、错牙合畸形及关节功能障碍。本文报告了两个患有单侧髁突增生的印度家族,在他们的一位家长中也检测到了类似异常。这两个家族中的髁突增生表明下颌髁突增生可能起源于遗传。

https://cdn.ncbi.nlm.nih.gov/pmc/blobs/246d/5512411/09316463a0f1/NJMS-8-58-g001.jpg

文献AI研究员

20分钟写一篇综述,助力文献阅读效率提升50倍。

立即体验

用中文搜PubMed

大模型驱动的PubMed中文搜索引擎

马上搜索

文档翻译

学术文献翻译模型,支持多种主流文档格式。

立即体验