Suppr超能文献

腹膜后副神经节瘤——术前栓塞是否有用?

Retroperitoneal paraganglioma-Is pre operative embolization useful?

作者信息

Apentchenko Eriutina Natalia, Castellón Pavón Camilo J, García Vásquez Carlos, Gonzalo Montesinos Irene, Jiménez de Los Galanes Santos, Pacheco Martínez Pedro A, Gómez Patiño Juan

机构信息

Department of General and Digestive Surgery, Hospital Universitario Infanta Elena, Valdemoro, Madrid, Spain.

Department of General and Digestive Surgery, Hospital Universitario Infanta Elena, Valdemoro, Madrid, Spain.

出版信息

Int J Surg Case Rep. 2017;39:64-68. doi: 10.1016/j.ijscr.2017.07.038. Epub 2017 Aug 5.

Abstract

INTRODUCTION

Paragangliomas (PG) are rare tumors derived from chromaffin cells that are located outside the adrenal gland and are capable of producing catecholamines. The treatment is based on a surgical resection, and there is controversy regarding the usefulness of previously carrying out an embolization and what is the most adequate surgical approach.

CLINICAL CASE

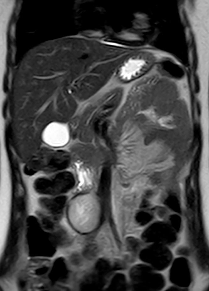
We will present a 17-year-old woman with a retroperitoneal tumour in contact with the aorta and the inferior vena cava, treated with embolization prior to the surgical resection via laparotomy.

DISCUSSION

The PG tumors are very infrequent and originate in the extra-adrenal chromaffin cells that exist in the vicinity of the components of the autonomic nervous system. Most of them (86%) produce catecholamines, are unique, sporadic, benign and more frequent in middle-aged women. Since they are radioresistant tumors, the only possibility for a cure is by a complete surgical excision. The preoperative embolization has been described mainly as the treatment of cervical PG, although its use in abdominal PG is more controversial and is not done in a systematic manner.

CONCLUSION

We can conclude that the embolization of abdominal PG is not free of risks and that it has not been demonstrated that it significantly reduces the peri-operative bleeding or the surgical time. Probably, the embolization should be reserved for intensively hypervascularized and larger PGs.

摘要

引言

副神经节瘤(PG)是一种罕见的肿瘤,起源于肾上腺外能产生儿茶酚胺的嗜铬细胞。其治疗以手术切除为主,对于术前进行栓塞的作用以及何种手术方式最为合适存在争议。

临床病例

我们将介绍一名17岁女性,其患有与主动脉和下腔静脉相邻的腹膜后肿瘤,在经剖腹手术切除前接受了栓塞治疗。

讨论

PG肿瘤非常罕见,起源于自主神经系统各组成部分附近存在的肾上腺外嗜铬细胞。它们大多数(86%)能产生儿茶酚胺,是单发、散发性、良性的,在中年女性中更为常见。由于它们是放射抗拒性肿瘤,治愈的唯一可能性是完全手术切除。术前栓塞主要被描述为颈部PG的治疗方法,尽管其在腹部PG中的应用更具争议且未被系统采用。

结论

我们可以得出结论,腹部PG的栓塞并非没有风险,且尚未证明它能显著减少围手术期出血或手术时间。可能,栓塞应仅用于高度血管化且较大的PG。

https://cdn.ncbi.nlm.nih.gov/pmc/blobs/151a/5554985/ceae5c224d2f/gr1.jpg

文献AI研究员

20分钟写一篇综述,助力文献阅读效率提升50倍。

立即体验

用中文搜PubMed

大模型驱动的PubMed中文搜索引擎

马上搜索

文档翻译

学术文献翻译模型,支持多种主流文档格式。

立即体验