Suppr超能文献

补片侵蚀至膀胱导致腹壁瘘并引发坏死性筋膜炎:一例切口疝晚期并发症的病例报告

Mesh erosion to urinary bladder causing fistulation to abdominal wall resulting in necrotizing fasciitis: A case report of late complication of incisional hernia.

作者信息

Kok Amy S Y, Cheung Tommy S H, Lam Dennis C T, Chan Wilson H C, Chan Sharon W W, Chow T L

机构信息

Department of Surgery, United Christian Hospital, Hong Kong Address of United Christian Hospital: 130, Hip Wo Street, Kwun Tong, Kowloon, Hong Kong.

Department of Surgery, United Christian Hospital, Hong Kong Address of United Christian Hospital: 130, Hip Wo Street, Kwun Tong, Kowloon, Hong Kong.

出版信息

Int J Surg Case Rep. 2017;39:185-187. doi: 10.1016/j.ijscr.2017.08.019. Epub 2017 Aug 18.

Abstract

INTRODUCTION

Incisional hernia is not an uncommon complication after abdominal operation, and laparoscopic ventral hernia repair with mesh is commonly performed nowadays. It is thought to have less complication compare to the traditional open repair, yet late complication is still observed occasionally and can be disastrous.

CASE REPORT

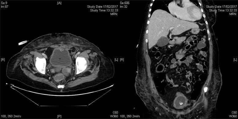
We hereby report a case of abdominal wall necrotizing fasciitis 21 months after laparoscopic incisional hernia repair in lower midline with dual mesh, due to mesh migration and erosion into urinary bladder, resulting in fistulation between bladder and abdominal wall. Repeated debridement and removal of mesh was required for sepsis control and the patient required intensive care support due to multi-organ failure. Subsequent repair of urinary bladder and abdominoplasty was performed after condition stabilized.

CONCLUSION

This case was the first reported incident with bladder erosion by dual mesh causing vesico-cutaneous fistula complicated with necrotizing fasciitis. Although dual mesh theoretically reduces the risk of mesh erosion, mesh erosion to viscera can still happen and cause severe complication. Its risk should be balanced and discussed with patient with full consent.

摘要

引言

切口疝是腹部手术后并不罕见的并发症,如今腹腔镜下腹壁疝修补并使用补片的手术很常见。人们认为与传统的开放修补相比,其并发症更少,但仍偶尔会观察到晚期并发症,且可能是灾难性的。

病例报告

我们在此报告一例患者,在腹腔镜下经下腹正中切口使用双层补片修补切口疝21个月后,发生了腹壁坏死性筋膜炎,原因是补片移位并侵蚀膀胱,导致膀胱与腹壁之间形成瘘管。为控制脓毒症,需要反复清创并取出补片,由于多器官功能衰竭,患者需要重症监护支持。病情稳定后,随后进行了膀胱修复和腹壁成形术。

结论

该病例是首例报道的双层补片侵蚀膀胱导致膀胱皮肤瘘并并发坏死性筋膜炎的事件。尽管双层补片理论上可降低补片侵蚀的风险,但补片侵蚀内脏仍有可能发生并导致严重并发症。应在充分征得患者同意的情况下,权衡其风险并与患者进行讨论。

https://cdn.ncbi.nlm.nih.gov/pmc/blobs/ec5a/5573789/2bc1a8ea2e8c/gr1.jpg

相似文献

2
Mesh erosion into urinary bladder, rare condition but important to know.
Hernia. 2019 Aug;23(4):709-716. doi: 10.1007/s10029-019-01966-0. Epub 2019 May 9.
6
Severe complications after mesh migration following abdominal hernial repair: report of two cases and review of literature.
GMS Interdiscip Plast Reconstr Surg DGPW. 2019 May 17;8:Doc09. doi: 10.3205/iprs000135. eCollection 2019.
10
Urinary bladder fistula following laparoscopic inguinal hernioplasty: a case report.
BMC Surg. 2021 Apr 7;21(1):183. doi: 10.1186/s12893-021-01183-6.

引用本文的文献

2
Robotic partial cystectomy with excision of mesh after inguinal hernia repair: a case report.
BMC Urol. 2023 Feb 28;23(1):27. doi: 10.1186/s12894-023-01197-7.
4
Necessary duration of follow-up to assess complications of mesh in hernia surgery: a time-lapse study based on 460 explants.
Hernia. 2021 Oct;25(5):1239-1251. doi: 10.1007/s10029-020-02297-1. Epub 2020 Sep 22.
5
Severe complications after mesh migration following abdominal hernial repair: report of two cases and review of literature.
GMS Interdiscip Plast Reconstr Surg DGPW. 2019 May 17;8:Doc09. doi: 10.3205/iprs000135. eCollection 2019.
6
Mesh erosion into urinary bladder, rare condition but important to know.
Hernia. 2019 Aug;23(4):709-716. doi: 10.1007/s10029-019-01966-0. Epub 2019 May 9.

本文引用的文献

1
The SCARE Statement: Consensus-based surgical case report guidelines.
Int J Surg. 2016 Oct;34:180-186. doi: 10.1016/j.ijsu.2016.08.014. Epub 2016 Sep 7.
2
Laparoscopic ventral hernia repair: primary versus secondary hernias.
J Surg Res. 2013 May 1;181(1):e1-5. doi: 10.1016/j.jss.2012.06.028. Epub 2012 Jul 6.
3
Mesh erosion into the urinary bladder following laparoscopic inguinal hernia repair; is this the tip of the iceberg?
Hernia. 2010 Jun;14(3):317-9. doi: 10.1007/s10029-009-0539-5. Epub 2009 Aug 6.
4
Bowel complications after prolene hernia system (PHS) repair: a case report and review of the literature.
Hernia. 2008 Aug;12(4):437-40. doi: 10.1007/s10029-008-0338-4. Epub 2008 Jan 31.
5
Polytetrafluoroethylene prosthesis migration into the bladder after laparoscopic hernia repair: a case report.
Surg Laparosc Endosc Percutan Tech. 2007 Oct;17(5):474-6. doi: 10.1097/SLE.0b013e3180f62f56.
6
Sigmoid colonic fistula secondary to Perfix-plug, left inguinal hernia repair.
Hernia. 2006 Oct;10(5):436-8. doi: 10.1007/s10029-006-0113-3. Epub 2006 Aug 5.
7
Mesh migration following repair of inguinal hernia: a case report and review of literature.
Hernia. 2006 Mar;10(1):79-82. doi: 10.1007/s10029-005-0024-8. Epub 2005 Oct 29.
8
Hernias: inguinal and incisional.
Lancet. 2003 Nov 8;362(9395):1561-71. doi: 10.1016/S0140-6736(03)14746-0.
9
Mesh migration following laparoscopic inguinal hernia repair.
J Laparoendosc Surg. 1996 Oct;6(5):333-5. doi: 10.1089/lps.1996.6.333.
10
Incisional hernia: a 10 year prospective study of incidence and attitudes.
Br J Surg. 1985 Jan;72(1):70-1. doi: 10.1002/bjs.1800720127.

文献AI研究员

20分钟写一篇综述,助力文献阅读效率提升50倍。

立即体验

用中文搜PubMed

大模型驱动的PubMed中文搜索引擎

马上搜索

文档翻译

学术文献翻译模型,支持多种主流文档格式。

立即体验