Idrissa Salahoudine, Tazi Mohamed, Cherrabi Hind, Souley Abdoulaziz, Mahmoudi Abdelhalim, Elmadi Aziz, Khattala Khalid, Bouabdallah Youssef
Department of Pediatric Surgery, University Hospital of Hassan II, University of Sidi Mohamed Ben Abdellah, Fez,Morocco.
Department of Radiology, University Hospital of Hassan II, University of Sidi Mohamed Ben Abdellah, Fez, Morocco.
J Surg Case Rep. 2017 Jul 31;2017(7):rjx142. doi: 10.1093/jscr/rjx142. eCollection 2017 Jul.
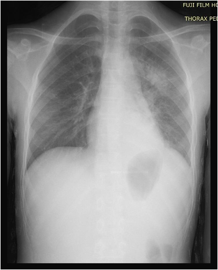
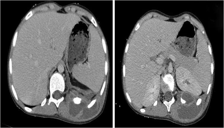
Rib osteomyelitis is a rare disease, occurring in ~1% or less of all cases of haematogenous osteomyelitis. During the last century, 58 cases of rib osteomyelitis were reported in the literature, of which, multiple ribs were involved in only five patients. Because of its rarity and non-specific clinical signs, diagnostic of rib osteomyelitis may be delayed. We report a case of multifocal rib osteomyelitis revealed by a dorsal mass in a healthy 13-year-old female child.
肋骨骨髓炎是一种罕见疾病,在所有血源性骨髓炎病例中发生率约为1%或更低。在上个世纪,文献报道了58例肋骨骨髓炎病例,其中仅有5例累及多根肋骨。由于其罕见性及非特异性临床症状,肋骨骨髓炎的诊断可能会延迟。我们报告一例13岁健康女童因背部肿块而被发现的多灶性肋骨骨髓炎病例。