Suppr超能文献

绝育术择期双侧输卵管切除术时诊断出的偶然发现的输卵管间皮瘤:一例报告。

Incidental fallopian tube mesothelioma diagnosed at time of elective bilateral salpingectomy for sterilisation: A case report.

作者信息

Phillips-Yelland J, Payton D, Land R, Kaur A

机构信息

Department of Obstetrics, Gynaecology, Logan hospital, Queensland, Australia.

Department of Histopathology, Pathology Queensland, Royal Brisbane and Women's Hospital, Australia.

出版信息

Gynecol Oncol Rep. 2017 Aug 14;22:1-3. doi: 10.1016/j.gore.2017.08.003. eCollection 2017 Nov.

Abstract

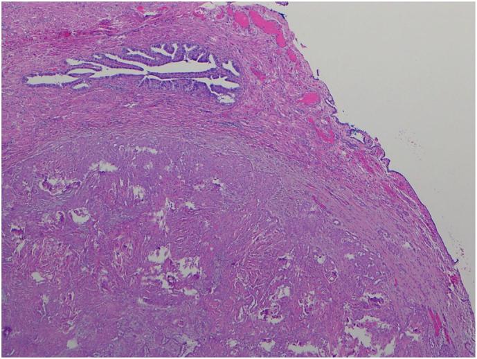
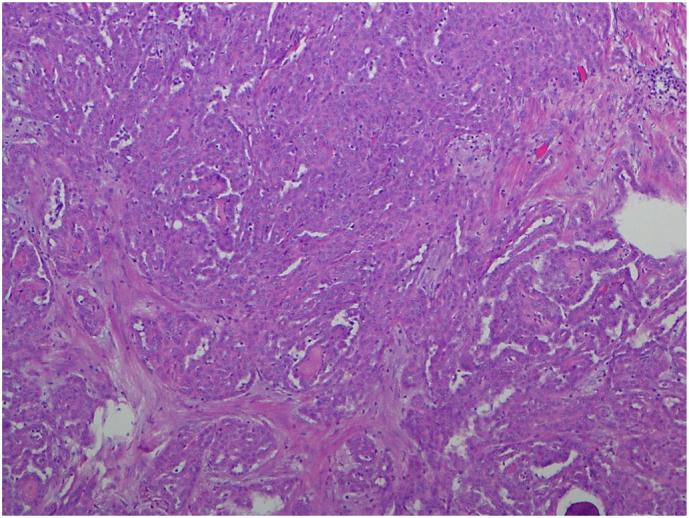
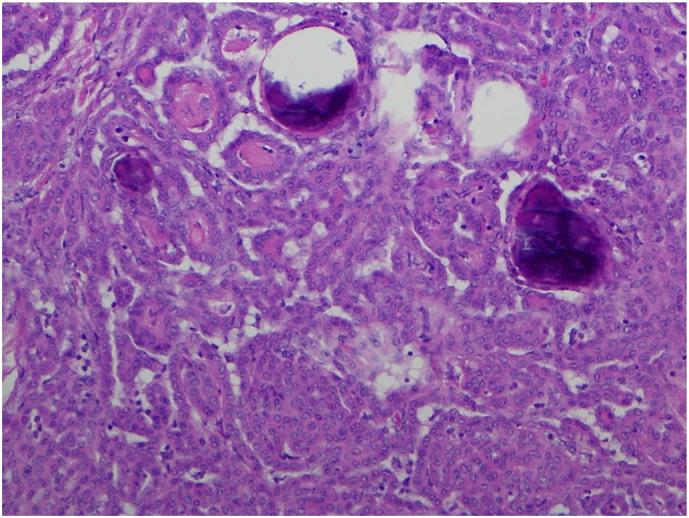
•Incidental finding of a fallopian tube lesion at the time of bilateral salpingectomy•Histopathological appearance not consistent with mucinous or serous carcinoma, appearance of mesothelioma•Very rare known primary neoplasm of tubal mesothelium, favours an indolent course•Recommendation for prophylactic hysterectomy and bilateral oophorectomy•If nil further spread, generally nil further treatment is required.

摘要

•双侧输卵管切除术时偶然发现输卵管病变

•组织病理学表现不符合黏液性或浆液性癌,符合间皮瘤表现

•输卵管间皮原发性肿瘤非常罕见,病程通常进展缓慢

•建议行预防性子宫切除术和双侧卵巢切除术

•如果无进一步扩散,一般无需进一步治疗。

https://cdn.ncbi.nlm.nih.gov/pmc/blobs/5758/5568875/aee585cf088d/gr1.jpg

文献AI研究员

20分钟写一篇综述,助力文献阅读效率提升50倍。

立即体验

用中文搜PubMed

大模型驱动的PubMed中文搜索引擎

马上搜索

文档翻译

学术文献翻译模型,支持多种主流文档格式。

立即体验