Narayanan G, Soman L V, Kumar R
Department of Medical Oncology, Regional Cancer Centre, Thiruvananthapuram, Kerala, India.
J Postgrad Med. 2018 Jan-Mar;64(1):50-52. doi: 10.4103/jpgm.JPGM_681_16.
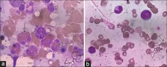
Acute lymphoblastic leukaemia (ALL) presenting as peripheral blood hypereosinophilia is very rare and the incidence is <1%. The characteristic feature of patients with ALL and hypereosinophilia is the absence of blasts in peripheral blood, and this might lead to misdiagnosis of ALL. It is important for clinicians and pathologists to be aware of this uncommon initial presentation of ALL to avoid delay in diagnosis. We report a 37-year-old man who presented with fever and respiratory symptoms and was found to have hypereosinophilia in peripheral blood. His bone marrow and lymph node biopsies were diagnostic of ALL.
以外周血嗜酸性粒细胞增多为表现的急性淋巴细胞白血病(ALL)非常罕见,发病率<1%。ALL合并嗜酸性粒细胞增多患者的特征是外周血中无原始细胞,这可能导致ALL的误诊。临床医生和病理学家认识到ALL这种不常见的初始表现很重要,以避免诊断延误。我们报告一名37岁男性,他因发热和呼吸道症状就诊,外周血发现嗜酸性粒细胞增多。他的骨髓和淋巴结活检确诊为ALL。