Aussy Audrey, Boyer Olivier, Cordel Nadège
Normandie University, UNIROUEN, INSERM, U1234, Rouen University Hospital, Department of Immunology, Rouen, France.
Unit of Dermatology and Internal Medicine, Pointe-à-Pitre University Hospital, University of the French West Indies, Fouillole, Pointe-à-Pitre, Guadeloupe.
Front Immunol. 2017 Aug 21;8:992. doi: 10.3389/fimmu.2017.00992. eCollection 2017.
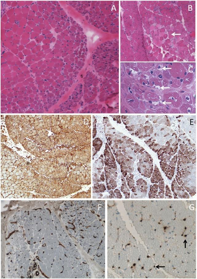
Autoimmune myopathies (myositides) are strongly associated with malignancy. The link between myositis and cancer, originally noticed by Bohan and Peter in their classification in 1975 (1), has been evidenced by large population-based cohort studies and a recent meta-analysis. The numerous reports of cases in which the clinical course of myositis reflects that of cancer and the short delay between myositis and cancer onset support the notion that myositis may be an authentic paraneoplastic disorder. Thus, cancer-associated myositis raises the question of cancer as a cause rather than a consequence of autoimmunity. Among myositides, dermatomyositis and more recently, although to a lesser extent, immune-mediated necrotizing myopathies are the most documented forms associated with cancer. Interestingly, the current diagnostic approach for myositis is based on the identification of specific antibodies where each antibody determines specific clinical features and outcomes. Recent findings have shown that the autoantibodies anti-TIF1γ, anti-NXP2 and anti-HMGCR are associated with cancers in the course of myositis. Herein, we highlight the fact that the targets of these three autoantibodies involve cellular pathways that intervene in tumor promotion and we discuss the role of cancer mutations as autoimmunity triggers in adult myositis.
自身免疫性肌病(肌炎)与恶性肿瘤密切相关。肌炎与癌症之间的联系最初由博汉和彼得在1975年的分类中注意到(1),大型基于人群的队列研究和最近的一项荟萃分析已证实了这一点。大量病例报告显示,肌炎的临床病程反映了癌症的病程,且肌炎发病与癌症发病之间间隔时间短,这支持了肌炎可能是一种真正的副肿瘤性疾病的观点。因此,癌症相关的肌炎引发了关于癌症是自身免疫的原因而非结果的问题。在肌炎中,皮肌炎以及最近虽然程度较轻的免疫介导坏死性肌病是与癌症关联记录最多的类型。有趣的是,目前肌炎的诊断方法基于特定抗体的识别,每种抗体决定特定的临床特征和结果。最近的研究结果表明,抗TIF1γ、抗NXP2和抗HMGCR自身抗体与肌炎病程中的癌症有关。在此,我们强调这三种自身抗体的靶标涉及参与肿瘤促进的细胞途径,并讨论癌症突变作为成人肌炎自身免疫触发因素的作用。