• 文献检索
  • 文档翻译
  • 深度研究
  • 学术资讯
  • Suppr Zotero 插件Zotero 插件
  • 邀请有礼
  • 套餐&价格
  • 历史记录
应用&插件
Suppr Zotero 插件Zotero 插件浏览器插件Mac 客户端Windows 客户端微信小程序
定价
高级版会员购买积分包购买API积分包
服务
文献检索文档翻译深度研究API 文档MCP 服务
关于我们
关于 Suppr公司介绍联系我们用户协议隐私条款
关注我们

Suppr 超能文献

核心技术专利:CN118964589B侵权必究
粤ICP备2023148730 号-1Suppr @ 2026

文献检索

告别复杂PubMed语法,用中文像聊天一样搜索,搜遍4000万医学文献。AI智能推荐,让科研检索更轻松。

立即免费搜索

文件翻译

保留排版,准确专业,支持PDF/Word/PPT等文件格式,支持 12+语言互译。

免费翻译文档

深度研究

AI帮你快速写综述,25分钟生成高质量综述,智能提取关键信息,辅助科研写作。

立即免费体验

塌陷性肾小球病——肾移植的麻烦制造者:经验教训

Collapsing Glomerulopathy- A Troublemaker for the Renal Allograft: Lessons Learnt.

作者信息

Kanodia K V, Vanikar A V, Nigam L K, Patel R D, Suthar K S, Patel H V, Trivedi H L

机构信息

Department of Pathology, Laboratory Medicine, Transfusion Services and Immunohematology, G. R. Doshi and K. M. Mehta Institute of Kidney Diseases and Research Centre, Dr. H. L. Trivedi Institute of Transplantation Sciences, Civil Hospital Campus, Asarwa, Ahmedabad, Gujarat, India.

Department of Regenerative Medicine and Cell Therapy, G. R. Doshi and K. M. Mehta Institute of Kidney Diseases and Research Centre, Dr. H. L. Trivedi Institute of Transplantation Sciences, Civil Hospital Campus, Asarwa, Ahmedabad, Gujarat, India.

出版信息

Indian J Nephrol. 2017 Sep-Oct;27(5):342-346. doi: 10.4103/ijn.IJN_287_16.

DOI:10.4103/ijn.IJN_287_16
PMID:28904428
原文链接:https://pmc.ncbi.nlm.nih.gov/articles/PMC5590409/
Abstract

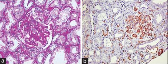
Collapsing glomerulopathy (CG) is a well-recognized distinct morphological pattern of proliferative parenchymal injury leading to rapid graft failure. We conducted a single-center retrospective study to evaluate the prevalence, clinicopathological features, and prognosis of CG in renal transplant recepient. We analyzed 2518 renal allograft biopsies performed from 2007 to 2015 and correlated their clinicopathological features. The prevalence of CG was 0.83% (21 out of 2518) of allograft biopsies with a higher prevalence of 1.4% during the period from 2012 to 2015. Out of 21 patients, 18 (85.71%) patients had undergone live donor and 3 (14.28%) patients had undergone deceased donor renal transplant. Hypertension was observed in 3 (14.28%) patients. The mean duration of diagnosis for CG was 1.85 ± 1.91 years. Urinalysis revealed microhematuria in 5 (23.8%) patients. The mean 24 h urinary protein excretion was 4.77 ± 5.3 g and serum creatinine was 2.12 ± 1.5 mg/dl. The predominant native kidney diseases in recipients were chronic glomerulonephritis of unknown etiology in 12 (57.14%) patients and hypertensive nephropathy in 3 (14.28%) patients. CG was associated with rejection in 9 (42.85%), calcineurin-inhibitor toxicity in 2 (9.5%), and BK virus nephropathy in 1 patient. All patients received standard triple immunosuppression. Eleven (52.38%) patients developed graft failure over a mean period of 2.2 ± 1.7 years and 6 (28.57%) patients recovered with stable graft function. CG can coexist with viral infection, drug toxicity, rejection, microvascular injury, etc. CG usually presents with moderate to severe proteinuria and may lead to rapid graft dysfunction and subsequent graft failure in most of the patients.

摘要

塌陷性肾小球病(CG)是一种公认的独特的增殖性实质损伤形态学模式,可导致移植肾迅速失功。我们进行了一项单中心回顾性研究,以评估肾移植受者中CG的患病率、临床病理特征及预后。我们分析了2007年至2015年期间进行的2518例移植肾活检,并将其临床病理特征进行关联分析。CG在所有移植肾活检中的患病率为0.83%(2518例中有21例),在2012年至2015年期间患病率较高,为1.4%。21例患者中,18例(85.71%)接受了活体供肾移植,3例(14.28%)接受了尸体供肾移植。3例(14.28%)患者出现高血压。CG的平均诊断时间为1.85±1.91年。尿液分析显示5例(23.8%)患者有镜下血尿。24小时尿蛋白排泄平均为4.77±5.3g,血清肌酐为2.12±1.5mg/dl。受者中主要的原发病为病因不明的慢性肾小球肾炎12例(57.14%),高血压肾病3例(14.28%)。9例(42.85%)CG与排斥反应相关,2例(9.5%)与钙调神经磷酸酶抑制剂毒性相关,1例与BK病毒肾病相关。所有患者均接受标准的三联免疫抑制治疗。11例(52.38%)患者在平均2.2±1.7年的时间内发生移植肾失功,6例(28.57%)患者移植肾功能稳定恢复。CG可与病毒感染、药物毒性、排斥反应、微血管损伤等并存。CG通常表现为中度至重度蛋白尿,在大多数患者中可能导致移植肾功能迅速减退及随后的移植肾失功。

https://cdn.ncbi.nlm.nih.gov/pmc/blobs/aa24/5590409/f3fd26b9e548/IJN-27-342-g005.jpg
https://cdn.ncbi.nlm.nih.gov/pmc/blobs/aa24/5590409/f3fd26b9e548/IJN-27-342-g005.jpg
https://cdn.ncbi.nlm.nih.gov/pmc/blobs/aa24/5590409/f3fd26b9e548/IJN-27-342-g005.jpg

相似文献

1
Collapsing Glomerulopathy- A Troublemaker for the Renal Allograft: Lessons Learnt.塌陷性肾小球病——肾移植的麻烦制造者:经验教训
Indian J Nephrol. 2017 Sep-Oct;27(5):342-346. doi: 10.4103/ijn.IJN_287_16.
2
Post Renal Transplant Collapsing Glomerulopathy is Associated with Poor Outcomes.肾移植后塌陷性肾小球病与不良预后相关。
Indian J Nephrol. 2020 Sep-Oct;30(5):321-325. doi: 10.4103/ijn.IJN_65_19. Epub 2020 Mar 28.
3
Collapsing glomerulopathy in renal allograft biopsies: A study of nine cases.肾移植活检中的塌陷性肾小球病:9例研究。
Indian J Nephrol. 2011 Jan;21(1):10-3. doi: 10.4103/0971-4065.75220.
4
Collapsing glomerulopathy superimposed on diabetic nephropathy: insights into etiology of an under-recognized, severe pattern of glomerular injury.糖尿病肾病叠加塌陷性肾小球病:对一种未被充分认识的严重肾小球损伤模式病因的见解
Nephrol Dial Transplant. 2014 Feb;29(2):392-9. doi: 10.1093/ndt/gft408. Epub 2013 Sep 29.
5
Collapsing Glomerulopathy: A Single Centre Clinicopathologic Study of Seven Years.塌陷性肾小球病:一项为期七年的单中心临床病理研究
J Clin Diagn Res. 2016 Apr;10(4):EC15-7. doi: 10.7860/JCDR/2016/17297.7646. Epub 2016 Apr 1.
6
Collapsing glomerulopathy in renal allografts: a morphological pattern with diverse clinicopathologic associations.肾移植中的塌陷性肾小球病:一种具有多种临床病理关联的形态学模式。
Am J Kidney Dis. 1999 Apr;33(4):658-66. doi: 10.1016/s0272-6386(99)70216-7.
7
Conversion to sirolimus for chronic allograft nephropathy and calcineurin inhibitor toxicity and the adverse effects of sirolimus after conversion.转换为西罗莫司治疗慢性移植肾肾病和钙调神经磷酸酶抑制剂毒性以及转换后西罗莫司的不良反应。
Transplant Proc. 2009 Sep;41(7):2789-93. doi: 10.1016/j.transproceed.2009.07.094.
8
Zonal distribution of glomerular collapse in renal allografts: possible role of vascular changes.肾移植中肾小球塌陷的区域分布:血管变化的可能作用。
Hum Pathol. 2002 Apr;33(4):437-41. doi: 10.1053/hupa.2002.124333.
9
Collapsing glomerulopathy in HIV and non-HIV patients: a clinicopathological and follow-up study.HIV 患者和非 HIV 患者的塌陷性肾小球病:一项临床病理及随访研究
Kidney Int. 1999 Dec;56(6):2203-13. doi: 10.1046/j.1523-1755.1999.00769.x.
10
HIV-associated nephropathy: experimental models.人类免疫缺陷病毒相关性肾病:实验模型
Contrib Nephrol. 2011;169:270-285. doi: 10.1159/000320212. Epub 2011 Jan 20.

引用本文的文献

1
Post Renal Transplant Collapsing Glomerulopathy is Associated with Poor Outcomes.肾移植后塌陷性肾小球病与不良预后相关。
Indian J Nephrol. 2020 Sep-Oct;30(5):321-325. doi: 10.4103/ijn.IJN_65_19. Epub 2020 Mar 28.

本文引用的文献

1
APOL1 Polymorphisms in a Deceased Donor and Early Presentation of Collapsing Glomerulopathy and Focal Segmental Glomerulosclerosis in Two Recipients.一名已故供体的APOL1基因多态性与两名受者中快速进展性肾小球病和局灶节段性肾小球硬化的早期表现
Am J Transplant. 2016 Jun;16(6):1923-1927. doi: 10.1111/ajt.13748. Epub 2016 Mar 29.
2
Collapsing focal segmental glomerulosclerosis: Current concepts.塌陷型局灶节段性肾小球硬化:当前概念
World J Nephrol. 2012 Apr 6;1(2):35-42. doi: 10.5527/wjn.v1.i2.35.
3
Collapsing glomerulopathy in renal allograft biopsies: A study of nine cases.
肾移植活检中的塌陷性肾小球病:9例研究。
Indian J Nephrol. 2011 Jan;21(1):10-3. doi: 10.4103/0971-4065.75220.
4
KDIGO clinical practice guideline for the care of kidney transplant recipients: a summary.KDIGO 临床实践指南:肾移植受者的护理概述。
Kidney Int. 2010 Feb;77(4):299-311. doi: 10.1038/ki.2009.377. Epub 2009 Oct 21.
5
De novo collapsing glomerulopathy in a renal allograft recipient.肾移植受者的新发塌陷性肾小球病
Saudi J Kidney Dis Transpl. 2008 Sep;19(5):793-5.
6
Current views on collapsing glomerulopathy.关于塌陷性肾小球病的当前观点。
J Am Soc Nephrol. 2008 Jul;19(7):1276-81. doi: 10.1681/ASN.2007080926. Epub 2008 Feb 20.
7
Collapsing glomerulopathy.塌陷性肾小球病
J Am Soc Nephrol. 2006 Oct;17(10):2854-63. doi: 10.1681/ASN.2006030225. Epub 2006 Aug 16.
8
Collapsing and non-collapsing focal segmental glomerulosclerosis in kidney transplants.肾移植中塌陷型和非塌陷型局灶节段性肾小球硬化
Nephrol Dial Transplant. 2006 Sep;21(9):2607-14. doi: 10.1093/ndt/gfl225. Epub 2006 May 16.
9
Collapsing glomerulopathy.塌陷性肾小球病
Semin Nephrol. 2003 Mar;23(2):209-18. doi: 10.1053/snep.2003.50019.
10
Molecular identification of SV40 infection in human subjects and possible association with kidney disease.人类受试者中SV40感染的分子鉴定及其与肾脏疾病的可能关联。
J Am Soc Nephrol. 2002 Sep;13(9):2320-30. doi: 10.1097/01.asn.0000028249.06596.cf.