Suppr超能文献

妇科手术后膀胱阴道瘘的处理

Management of vesicovaginal fistulas after gynecologic surgery.

作者信息

Tatar Burak, Oksay Taylan, Selcen Cebe Fatma, Soyupek Sedat, Erdemoğlu Evrim

机构信息

Süleyman Demirel University Faculty of Medicine, Department of Gynecologic Oncology, Isparta, Turkey.

Süleyman Demirel University Faculty of Medicine, Department of Urology, Isparta, Turkey.

出版信息

Turk J Obstet Gynecol. 2017 Mar;14(1):45-51. doi: 10.4274/tjod.46656. Epub 2017 Mar 15.

Abstract

OBJECTIVE

In developed nations, surgery, especially gynecologic procedures, is the major cause of vesicovaginal fistulas (VVFs). We retrospectively evaluated our treatment modalities for VVF repair caused by a gynecologic surgery, and discussed the reasons of selecting certain surgical techniques and their outcomes.

MATERIALS AND METHODS

We compared the surgical procedure preferences of surgeons and their results with patient and surgeon characteristics for the management of VVFs after an inciting gynecologic surgery in Süleyman Demirel University Hospital, Isparta over a 10-year period. The surgical procedures were undertaken in departments of urology and obstetrics and gynecology.

RESULTS

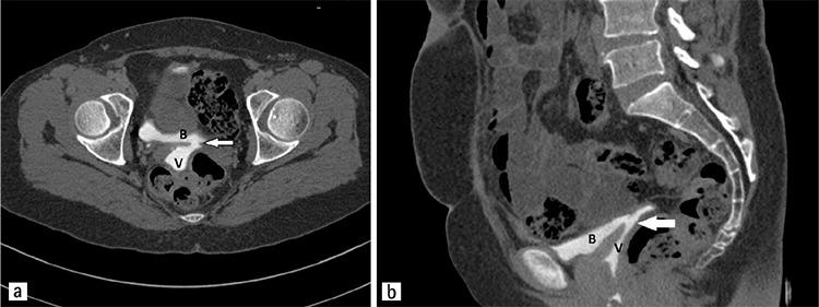
Abdominal repair was chosen for 65%, vaginal repair for 25%, and laparoscopic repair for 10% of patients. For the 75% of the patients that urologists operated, they chose the abdominal route. The mean parity number of patients who underwent abdominal repair was lower than that for vaginal repairs (p<0.05). For the patients managed with the vaginal route, 20% had a Martius flap, and 80% had a simple excision and repair. For patients operated via the abdominal route, 18% needed omental flap; no tissue interposition was used for the rest. The mean hospitalization time was less in patients managed with transvaginal repair (3.4 days) compared with transabdominal repair (9.2 days) (p<0.05).

CONCLUSION

The choice of repair method depends on surgeon's training (gynecology vs. urology). The vaginal route should be the first choice because it does not compromise the success rate and the mean hospitalization time is less. For the transvaginal approach, access to the lesion is the most important factor for the success of the procedure. No flap is needed for tissues that appear well vascularized.

摘要

目的

在发达国家,手术,尤其是妇科手术,是膀胱阴道瘘(VVF)的主要病因。我们回顾性评估了因妇科手术导致的VVF修复的治疗方式,并讨论了选择特定手术技术的原因及其结果。

材料与方法

我们比较了在伊斯帕尔塔的苏莱曼·德米雷尔大学医院10年间,妇科手术引发VVF后,外科医生的手术方式偏好及其结果与患者和外科医生特征之间的关系。手术在泌尿外科和妇产科进行。

结果

65%的患者选择腹部修复,25%选择阴道修复,10%选择腹腔镜修复。在泌尿外科医生手术的75%的患者中,他们选择腹部途径。接受腹部修复的患者平均产次低于阴道修复的患者(p<0.05)。采用阴道途径治疗的患者中,20%采用了Martius皮瓣,80%采用了单纯切除和修复。通过腹部途径手术的患者中,18%需要大网膜瓣;其余患者未使用组织间置。经阴道修复的患者平均住院时间(3.4天)比经腹修复的患者(9.2天)短(p<0.05)。

结论

修复方法的选择取决于外科医生的培训(妇科与泌尿外科)。阴道途径应作为首选,因为它不影响成功率且平均住院时间较短。对于经阴道手术,进入病变部位是手术成功的最重要因素。对于血管化良好的组织,无需皮瓣。

https://cdn.ncbi.nlm.nih.gov/pmc/blobs/6907/5558317/eb33434d59ac/TJOD-14-45-g3.jpg

文献AI研究员

20分钟写一篇综述,助力文献阅读效率提升50倍。

立即体验

用中文搜PubMed

大模型驱动的PubMed中文搜索引擎

马上搜索

文档翻译

学术文献翻译模型,支持多种主流文档格式。

立即体验