Suppr超能文献

牙源性皮肤瘘管并发皮肤基底细胞癌

Cutaneous Basal Cell Carcinoma Arising in Odontogenic Cutaneous Fistula.

作者信息

Kim Nam Gyun, Kim Jun Oh, Park Young Ji, Kim Jun Sik, Lee Yoon Jung, Lee Kyung Suk

机构信息

Department of Plastic and Reconstructive Surgery, Institute of Health Sciences, College of Medicine and Hospital, Gyeongsang National University, Jinju, Korea.

Department of Plastic and Reconstructive Surgery, Gyeongsang National University Changwon Hospital, Changwon, Korea.

出版信息

Arch Craniofac Surg. 2017 Jun;18(2):141-144. doi: 10.7181/acfs.2017.18.2.141. Epub 2017 Jun 26.

Abstract

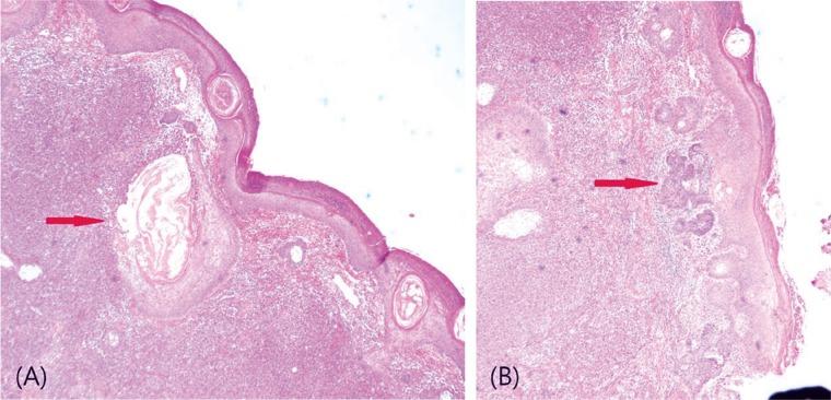
An odontogenic cutaneous fistula is a pathological communication between the outer skin surface of the face and the oral cavity. Facial cutaneous fistula is a complication of odontogenic infection that is often misdiagnosed with skin infection. We report a rare case, which was diagnosed as basal cell carcinoma based on the biopsy of skin lesions in the patient who had been diagnosed with odontogenic cutaneous fistula. A 64-year-old male patient presented with a cutaneous odontogenic fistula. The patient had undergone surgical extraction of fistula tract and loose tooth before dermatology or plastic surgery consultation. With the biopsy and computed tomography, it was confirmed that fistula and basal cell carcinoma. However, the connection between the fistula and skin cancer was not clear. Positron emission tomography-computed tomography scan was performed and was not detected as other local or distant metastasis. After that, wide excision of the skin lesion was performed. Although skin cancer is not commonly observed, it is necessary to rule out this disease entity by performing biopsy of skin lesions.

摘要

牙源性皮肤瘘是面部皮肤外表面与口腔之间的病理性通道。面部皮肤瘘是牙源性感染的一种并发症,常被误诊为皮肤感染。我们报告一例罕见病例,该病例在被诊断为牙源性皮肤瘘的患者中,根据皮肤病变活检被诊断为基底细胞癌。一名64岁男性患者出现牙源性皮肤瘘。在咨询皮肤科或整形外科之前,该患者已接受瘘管和松动牙齿的手术拔除。通过活检和计算机断层扫描,证实为瘘管和基底细胞癌。然而,瘘管与皮肤癌之间的联系尚不清楚。进行了正电子发射断层扫描-计算机断层扫描,未检测到其他局部或远处转移。此后,对皮肤病变进行了广泛切除。虽然皮肤癌并不常见,但有必要通过对皮肤病变进行活检来排除这种疾病。

https://cdn.ncbi.nlm.nih.gov/pmc/blobs/1f73/5556897/60d3f8ce4469/acfs-18-141-g001.jpg

相似文献

1
Cutaneous Basal Cell Carcinoma Arising in Odontogenic Cutaneous Fistula.
Arch Craniofac Surg. 2017 Jun;18(2):141-144. doi: 10.7181/acfs.2017.18.2.141. Epub 2017 Jun 26.
3
Odontogenic Cutaneous Fistula: A Zombie Diagnosis.
J Craniofac Surg. 2024 Jun 1;35(4):1197-1200. doi: 10.1097/SCS.0000000000010144. Epub 2024 Jun 3.
4
A linguoverted impacted tooth with orocutaneous fistula - a rare case report.
Clujul Med. 2018 Oct;91(4):479-483. doi: 10.15386/cjmed-945. Epub 2018 Oct 30.
5
Odontogenic Cutaneous Fistula: A Case in Aged Patient With Delayed Diagnosis.
J Craniofac Surg. 2021 Jun 1;32(4):e340-e342. doi: 10.1097/SCS.0000000000007114.
6
Submental cutaneous sinus tract of mandibular second molar origin.
Int Endod J. 2014 Dec;47(12):1185-91. doi: 10.1111/iej.12266. Epub 2014 Mar 21.
8
Cutaneous odontogenic sinus simulating a basal cell carcinoma: case report and literature review.
Plast Reconstr Surg. 1990 Jul;86(1):123-7. doi: 10.1097/00006534-199007000-00020.
9
A clinical dimple on facial skin related to dental origin: A case report.
Int J Surg Case Rep. 2024 Mar;116:109415. doi: 10.1016/j.ijscr.2024.109415. Epub 2024 Feb 20.
10
Clinical Characteristics of Odontogenic Cutaneous Fistulas.
Ann Dermatol. 2016 Aug;28(4):417-21. doi: 10.5021/ad.2016.28.4.417. Epub 2016 Jul 26.

引用本文的文献

1
Neglected basal cell carcinoma presenting with diffuse skeletal metastases.
JAAD Case Rep. 2018 Aug 11;4(7):678-681. doi: 10.1016/j.jdcr.2018.05.018. eCollection 2018 Aug.

本文引用的文献

2
Facial fistula. Long-term sequelae of a complicated exodontia.
Saudi Med J. 2015 Apr;36(4):490-3. doi: 10.15537/smj.2015.4.11702.
3
Surgical options in oroantral fistula treatment.
Open Dent J. 2012;6:94-8. doi: 10.2174/1874210601206010094. Epub 2012 Jun 1.
4
Odontogenic Cutaneous Fistula: Report of two cases.
Sultan Qaboos Univ Med J. 2011 Feb;11(1):115-8. Epub 2011 Feb 12.
5
Guidelines for the management of basal cell carcinoma.
Br J Dermatol. 2008 Jul;159(1):35-48. doi: 10.1111/j.1365-2133.2008.08666.x.
7
Cutaneous odontogenic sinus simulating a basal cell carcinoma: case report and literature review.
Plast Reconstr Surg. 1990 Jul;86(1):123-7. doi: 10.1097/00006534-199007000-00020.

文献AI研究员

20分钟写一篇综述,助力文献阅读效率提升50倍。

立即体验

用中文搜PubMed

大模型驱动的PubMed中文搜索引擎

马上搜索

文档翻译

学术文献翻译模型,支持多种主流文档格式。

立即体验