Suppr超能文献

热休克蛋白90抑制剂17-二甲基澳瑞他汀E主要通过改变氧化还原平衡发挥对胃癌细胞的抗癌作用。

HSP90 inhibitor 17-DMAG exerts anticancer effects against gastric cancer cells principally by altering oxidant-antioxidant balance.

作者信息

Kim Jeong Goo, Lee Sang Chul, Kim Ok-Hee, Kim Kee-Hwan, Song Kyo Young, Lee Sang Kuon, Choi Byung Jo, Jeong Wonjun, Kim Say-June

机构信息

Department of Surgery, Daejeon St. Mary's Hospital, College of Medicine, The Catholic University of Korea, Seoul, Republic of Korea.

Department of Surgery, Seoul St. Mary's Hospital, College of Medicine, The Catholic University of Korea, Seoul, Republic of Korea.

出版信息

Oncotarget. 2017 Apr 10;8(34):56473-56489. doi: 10.18632/oncotarget.17007. eCollection 2017 Aug 22.

Abstract

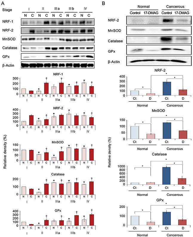
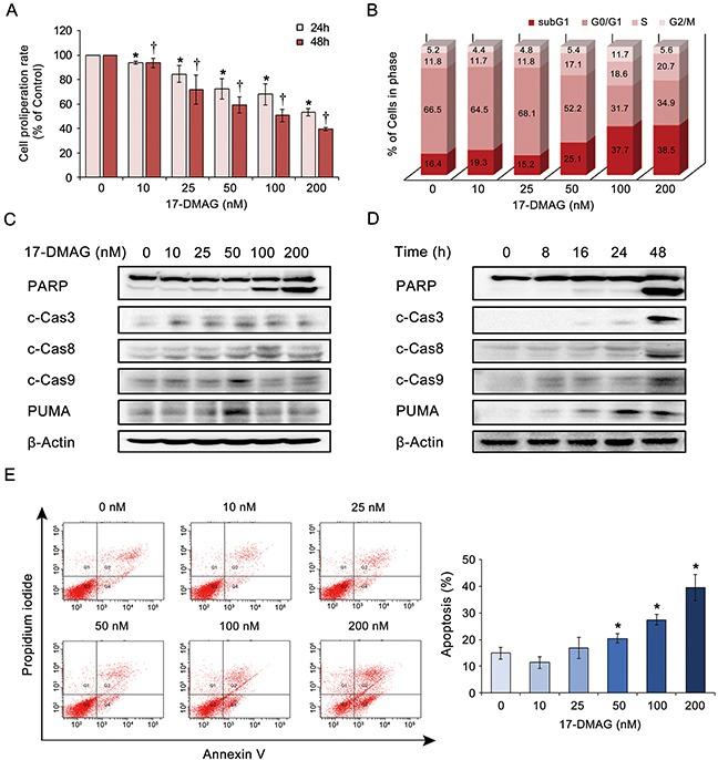
Heat shock protein 90 (HSP90) stabilizes numerous oncoproteins and, therefore, its inhibition has emerged as a promising antineoplastic strategy for diverse malignancies. In this study, we determined the therapeutic effects and mechanisms of action of a specific HSP90 inhibitor, 17-dimethylamino-ethylamino-17-demethoxygeldanamycin (17-DMAG), in gastric cancer cell lines (AGS, SNU-1, and KATO-III), patient-derived tissues, and a mouse xenograft model. 17-DMAG exerted anticancer effects against gastric cancer cells, manifested by significantly decreased proliferation rates ( < 0.05) and increased expression of apoptotic markers. Flow cytometry using dichlorofluorescein (DCF) diacetate revealed that 17-DMAG dose-dependently increases reactive oxygen species (ROS) levels in gastric cancer cells. Inhibition of ROS by N-acetyl-L-cysteine (NAC) abrogated the proapoptotic effects of 17-DMAG, as demonstrated by the decreased expression of proapoptotic proteins. In addition, 17-DMAG dose- and time-dependently reduced the expression of antioxidants such as catalase and glutathione peroxidase (GPx). Moreover, 17-DMAG reduced the expression of nuclear respiratory factor (NRF)-1 and NRF-2, and prevented them from migrating from the cytoplasm to the nucleus dose-dependently. Finally, in a nude mouse xenograft model, the shrinkage of tumors was more prominent in mice treated with 17-DMAG than in control mice ( < 0.05). Taken altogether, our results suggest that 17-DMAG exerts potent antineoplastic activity against gastric cancer cells primarily by promoting ROS generation and suppressing antioxidant enzyme activities.

摘要

热休克蛋白90(HSP90)可稳定多种癌蛋白,因此,抑制HSP90已成为一种针对多种恶性肿瘤颇具前景的抗肿瘤策略。在本研究中,我们确定了一种特异性HSP90抑制剂17-二甲基氨基乙基氨基-17-去甲氧基格尔德霉素(17-DMAG)对胃癌细胞系(AGS、SNU-1和KATO-III)、患者来源组织以及小鼠异种移植模型的治疗效果和作用机制。17-DMAG对胃癌细胞具有抗癌作用,表现为增殖率显著降低(<0.05)以及凋亡标志物表达增加。使用二氯荧光素(DCF)二乙酸酯进行的流式细胞术显示,17-DMAG可剂量依赖性地增加胃癌细胞中的活性氧(ROS)水平。N-乙酰-L-半胱氨酸(NAC)对ROS的抑制消除了17-DMAG的促凋亡作用,这通过促凋亡蛋白表达的降低得以证明。此外,17-DMAG可剂量和时间依赖性地降低过氧化氢酶和谷胱甘肽过氧化物酶(GPx)等抗氧化剂的表达。而且,17-DMAG降低了核呼吸因子(NRF)-1和NRF-2的表达,并剂量依赖性地阻止它们从细胞质迁移至细胞核。最后,在裸鼠异种移植模型中,接受17-DMAG治疗的小鼠肿瘤缩小比对照小鼠更为显著(<0.05)。综上所述,我们的结果表明,17-DMAG主要通过促进ROS生成和抑制抗氧化酶活性对胃癌细胞发挥强大的抗肿瘤活性。

https://cdn.ncbi.nlm.nih.gov/pmc/blobs/b760/5593576/301c9b1dffb6/oncotarget-08-56473-g001.jpg

文献AI研究员

20分钟写一篇综述,助力文献阅读效率提升50倍。

立即体验

用中文搜PubMed

大模型驱动的PubMed中文搜索引擎

马上搜索

文档翻译

学术文献翻译模型,支持多种主流文档格式。

立即体验