Department of Radiology, Xinqiao Hospital, Third Military Medical University, Chongqing, China.
Department of Neurosurgery, Xinqiao Hospital, Third Military Medical University, Chongqing, China.
J Neurointerv Surg. 2018 Jun;10(6):566-570. doi: 10.1136/neurintsurg-2017-013308. Epub 2017 Sep 16.
To evaluate the risk factors for rupture of intracranial aneurysms (IAs) using high resolution MRI (HRMRI).
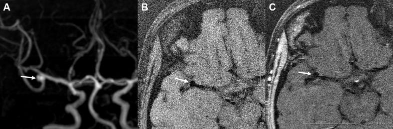
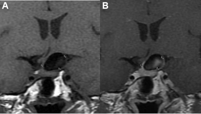
91 consecutive patients with 106 IAs were reviewed from February 2016 to April 2017. Patients and IAs were divided into ruptured and unruptured groups. In addition to the clinical characteristics of the patients, the features of IAs (eg, shape) were evaluated by CT angiography, whereas wall thickness, enhanced patterns, and enhancement ratio (ER) were evaluated by MRI. Multiple logistic regression analysis was used to identify independent risk factors associated with the rupture of IAs. Receiver operating characteristic curve analysis was performed on the final model, and the optimal thresholds were obtained.
ER (OR 6.638) and partial wall enhancement (PWE) (OR 6.710) were not markers of aneurysms more prone to rupture, but simply were more commonly found in the ruptured aneurysm cohort. The threshold value for ER was 61.5%.
ER (≥61.5%) and IAs with PWE are better predictors of rupture. Increased attentions should be paid to these factors during assessment of IA rupture.
使用高分辨率 MRI(HRMRI)评估颅内动脉瘤(IA)破裂的危险因素。
回顾 2016 年 2 月至 2017 年 4 月期间连续 91 例 106 个 IA 患者的资料。将患者和 IA 分为破裂组和未破裂组。除了患者的临床特征外,还通过 CT 血管造影评估 IA 的特征(例如形状),通过 MRI 评估壁厚度、强化模式和强化比(ER)。采用多因素逻辑回归分析识别与 IA 破裂相关的独立危险因素。对最终模型进行受试者工作特征曲线分析,并获得最佳阈值。
ER(OR 6.638)和部分壁强化(PWE)(OR 6.710)不是更易破裂的动脉瘤的标志物,而只是更常见于破裂的动脉瘤组。ER 的阈值为 61.5%。
ER(≥61.5%)和伴有 PWE 的 IA 是破裂的更好预测因子。在评估 IA 破裂时,应更加关注这些因素。