Suppr超能文献

家蚕(鳞翅目:蚕蛾科)中醛酮还原酶(AKR2E4)的定位

Localization of an Aldo-Keto Reductase (AKR2E4) in the Silkworm Bombyx mori (Lepidoptera: Bombycidae).

作者信息

Yamamoto K, Ozakiya Y, Uno T

机构信息

Department of Bioscience and Biotechnology, Kyushu University Graduate School, 6-10-1 Hakozaki, Higashi-ku, Fukuoka 812-8581, Japan.

Laboratory of Biological Chemistry, Department of Biofunctional Chemistry, Faculty of Agriculture, Kobe University, Nada-ku, Kobe, Hyogo 657-8501, Japan.

出版信息

J Insect Sci. 2017 Sep 1;17(5). doi: 10.1093/jisesa/iex071.

Abstract

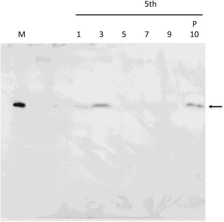
The aldo-keto reductase AKR2E4 reduces 3-dehydroecdysone to ecdysone in the silkworm Bombyx mori L. In this study, a quantitative polymerase chain reaction analysis revealed that the level of AKR2E4 mRNA was higher in the testes than in other tissues, and a western immunoblot analysis revealed that the AKR2E4 content in the testes was stage-specific from the fifth larval instar to the pupal stage. Immunohistochemical analysis showed that the AKR2E4 protein was present in cyst cells associated with sperm cells and spermatocytes. These results indicate that AKR2E4 plays an important role in 3-dehydroecdysone conversion to ecdysone and spermatogenesis in silkworm testes.

摘要

醛酮还原酶AKR2E4可将家蚕中的3-脱氢蜕皮激素还原为蜕皮激素。在本研究中,定量聚合酶链反应分析表明,睾丸中AKR2E4 mRNA的水平高于其他组织,蛋白质免疫印迹分析表明,从五龄幼虫到蛹期,睾丸中AKR2E4的含量具有阶段特异性。免疫组织化学分析显示,AKR2E4蛋白存在于与精细胞和精母细胞相关的囊细胞中。这些结果表明,AKR2E4在蚕睾丸中3-脱氢蜕皮激素向蜕皮激素的转化以及精子发生过程中起重要作用。

https://cdn.ncbi.nlm.nih.gov/pmc/blobs/c467/5597883/43d1d3255545/iex07101.jpg

文献检索

告别复杂PubMed语法,用中文像聊天一样搜索,搜遍4000万医学文献。AI智能推荐,让科研检索更轻松。

立即免费搜索

文件翻译

保留排版,准确专业,支持PDF/Word/PPT等文件格式,支持 12+语言互译。

免费翻译文档

深度研究

AI帮你快速写综述,25分钟生成高质量综述,智能提取关键信息,辅助科研写作。

立即免费体验