Suppr超能文献

膀胱非肌层浸润性尿路上皮癌经尿道切除术后鳞状和/或腺性分化对复发和进展的影响

Impact of squamous and/or glandular differentiation on recurrence and progression following transurethral resection for non-muscle invasive urothelial carcinoma of bladder.

作者信息

Xu Hao, Xie Linguo, Liu Xiaoteng, Zhang Yu, Shen Zhonghua, Chen Tao, Qiu Xiaoyu, Sha Nan, Xing Chen, Wu Zhouliang, Hu Hailong, Wu Changli

机构信息

Department of Urology, Second Hospital of Tianjin Medical University, Hexi, Tianjin 300211, P.R. China.

Tianjin Key Laboratory of Urology, Tianjin Institute of Urology, Second Hospital of Tianjin Medical University, Hexi, Tianjin 300211, P.R. China.

出版信息

Oncol Lett. 2017 Sep;14(3):3522-3528. doi: 10.3892/ol.2017.6581. Epub 2017 Jul 15.

Abstract

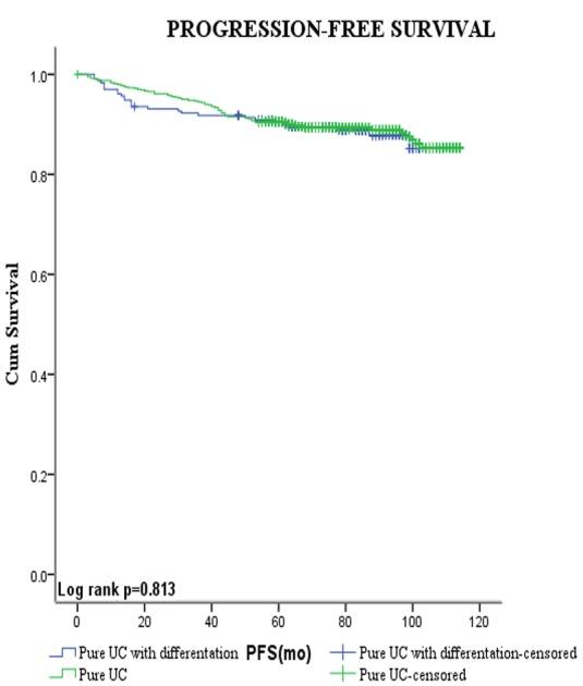
The aim of the present study was to investigate the impact of squamous and/or glandular differentiation on the recurrence and progression in patients with nonmuscle invasive urothelial carcinoma of bladder (NMIUCB) following transurethral resection (TURBT). A total of 869 patients with NMIUCB who had been treated with TURBT at The Second Hospital of Tianjin Medical University (Tianjin, China) between January 2006 and January 2011 were retrospectively selected for the present analysis. Associations among squamous and/or glandular differentiation with other clinical and pathological features were assessed by the χ2 test. Recurrence-free survival (RFS) and progression-free survival (PFS) curves were estimated using the Kaplan-Meier method. Univariate and multivariate analyses were performed through a Cox's proportional hazards regression model. Among the 869 patients, 232 (26.7%) patients had squamous and/or glandular differentiation. High grade tumors were more common in patients with squamous and/or glandular differentiation compared with those with pure urothelial carcinoma of bladder (P<0.001). Associations between age (P=0.115), sex (P=0.184), tumor size (P=0.223), tumor multiplicity (P=0.108), pathological tumor stage (P=0.909) and squamous and/or glandular differentiation were not observed to be statistically significant. There was a significant tendency towards higher recurrence rate and shorter RFS time in patients with squamous and/or glandular differentiation. However, no statistically significant differences were observed in progression rate and PFS between the two groups. The multivariate Cox regression analysis, identified squamous and/or glandular differentiation as an independent prognostic predictor of recurrence (hazard ratio =1.46, 95% confidence interval=1.10-1.92, P=0.008). In the present study, the presence of squamous and/or glandular differentiation was associated with a higher recurrence rate and shorter RFS time in patients with NMIUCB. Squamous and/or glandular differentiation is therefore an independent prognostic predictor of recurrence.

摘要

本研究的目的是探讨膀胱非肌层浸润性尿路上皮癌(NMIUCB)患者经尿道膀胱肿瘤电切术(TURBT)后鳞状和/或腺性分化对复发和进展的影响。回顾性选取了2006年1月至2011年1月期间在天津医科大学第二医院(中国天津)接受TURBT治疗的869例NMIUCB患者进行本分析。采用χ2检验评估鳞状和/或腺性分化与其他临床和病理特征之间的关联。使用Kaplan-Meier方法估计无复发生存期(RFS)和无进展生存期(PFS)曲线。通过Cox比例风险回归模型进行单因素和多因素分析。在这869例患者中,232例(26.7%)患者存在鳞状和/或腺性分化。与单纯膀胱尿路上皮癌患者相比,鳞状和/或腺性分化患者的高级别肿瘤更为常见(P<0.001)。未观察到年龄(P=0.115)、性别(P=0.184)、肿瘤大小(P=0.223)、肿瘤多发情况(P=0.108)、病理肿瘤分期(P=0.9零9)与鳞状和/或腺性分化之间的关联具有统计学意义。鳞状和/或腺性分化患者的复发率有显著升高趋势,RFS时间缩短。然而,两组之间的进展率和PFS未观察到统计学显著差异。多因素Cox回归分析确定鳞状和/或腺性分化是复发的独立预后预测因素(风险比=1.46,95%置信区间=1.10-1.92,P=0.008)。在本研究中,鳞状和/或腺性分化的存在与NMIUCB患者较高的复发率和较短的RFS时间相关。因此,鳞状和/或腺性分化是复发的独立预后预测因素。

https://cdn.ncbi.nlm.nih.gov/pmc/blobs/9f3d/5587993/803f83c3de1f/ol-14-03-3522-g00.jpg

文献AI研究员

20分钟写一篇综述,助力文献阅读效率提升50倍。

立即体验

用中文搜PubMed

大模型驱动的PubMed中文搜索引擎

马上搜索

文档翻译

学术文献翻译模型,支持多种主流文档格式。

立即体验