Suppr超能文献

破骨细胞刺激因子1(Ostf1)基因敲除增加小鼠小梁骨量。

Osteoclast stimulation factor 1 (Ostf1) KNOCKOUT increases trabecular bone mass in mice.

作者信息

Vermeren Matthieu, Lyraki Rodanthi, Wani Sachin, Airik Rannar, Albagha Omar, Mort Richard, Hildebrandt Friedhelm, Hurd Toby

机构信息

Institute for Genetics and Molecular Medicine, University of Edinburgh, Western General Hospital Campus, Crewe Road, Edinburgh, EH4 2XU, UK.

MRC Centre for Inflammation Research, Queen Medical Research Institute, University of Edinburgh, 47 Little France, Edinburgh, EH16 4TJ, UK.

出版信息

Mamm Genome. 2017 Dec;28(11-12):498-514. doi: 10.1007/s00335-017-9718-3. Epub 2017 Sep 21.

Abstract

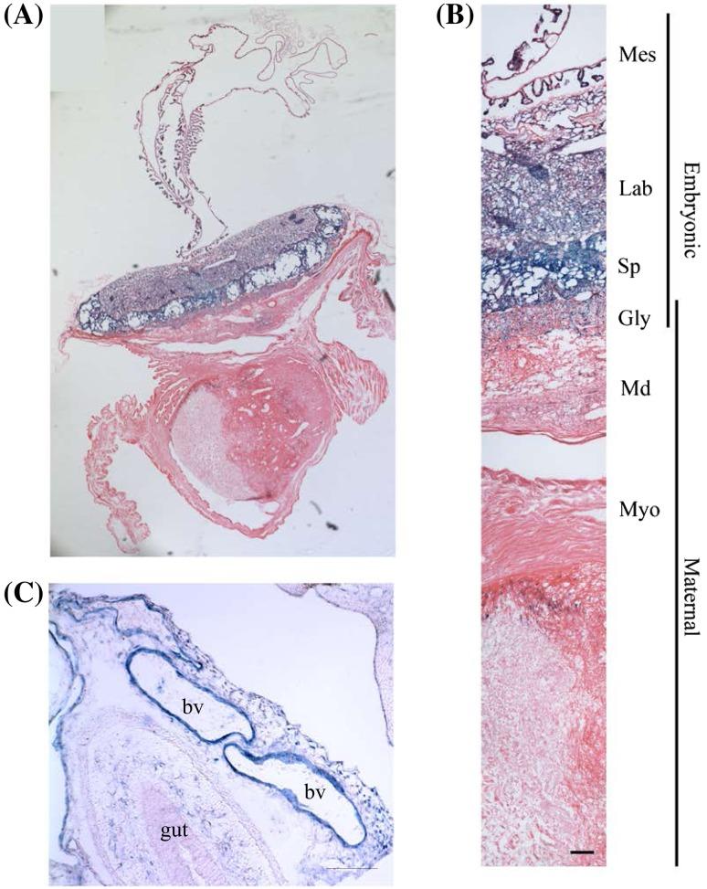
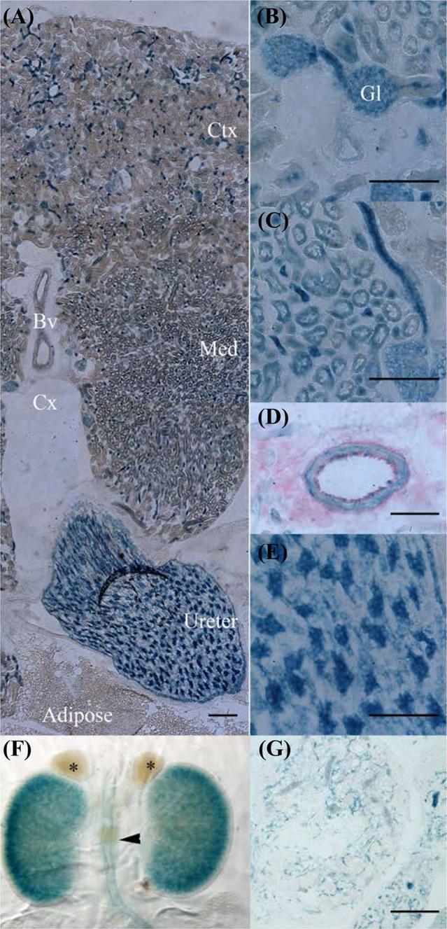
Osteoclast stimulation factor 1 (OSTF1) is an SH3-domain containing protein that was initially identified as a factor involved in the indirect activation of osteoclasts. It has been linked to spinal muscular atrophy in humans through its interaction with SMN1, and is one of six genes deleted in a human developmental microdeletion syndrome. To investigate the function of OSTF1, we generated an Ostf1 knockout mouse model, with exons 3 and 4 of Ostf1 replaced by a LacZ orf. Extensive X-Gal staining was performed to examine the developmental and adult expression pattern, followed by phenotyping. We show widespread expression of the gene in the vasculature of most organs and in a number of cell types in adult and embryonic mouse tissues. Furthermore, whilst SHIRPA testing revealed no behavioural defects, we demonstrate increased trabecular mass in the long bones, confirming a role for OSTF1 in bone development.

摘要

破骨细胞刺激因子1(OSTF1)是一种含有SH3结构域的蛋白质,最初被鉴定为参与破骨细胞间接激活的因子。它通过与SMN1相互作用与人类脊髓性肌萎缩症相关联,并且是人类发育微缺失综合征中缺失的六个基因之一。为了研究OSTF1的功能,我们构建了一个Ostf1基因敲除小鼠模型,将Ostf1的外显子3和4替换为LacZ开放阅读框。进行了广泛的X - Gal染色以检查发育和成年期的表达模式,随后进行表型分析。我们发现该基因在大多数器官的脉管系统以及成年和胚胎小鼠组织的多种细胞类型中广泛表达。此外,虽然SHIRPA测试未发现行为缺陷,但我们证实了长骨中的小梁骨量增加,这证实了OSTF1在骨骼发育中的作用。

https://cdn.ncbi.nlm.nih.gov/pmc/blobs/7676/5680368/d8441c3d4d93/335_2017_9718_Fig1_HTML.jpg

文献检索

告别复杂PubMed语法,用中文像聊天一样搜索,搜遍4000万医学文献。AI智能推荐,让科研检索更轻松。

立即免费搜索

文件翻译

保留排版,准确专业,支持PDF/Word/PPT等文件格式,支持 12+语言互译。

免费翻译文档

深度研究

AI帮你快速写综述,25分钟生成高质量综述,智能提取关键信息,辅助科研写作。

立即免费体验