Suppr超能文献

硼替佐米单独及与盐霉素A联合使用可诱导体外培养的嗜铬细胞瘤细胞凋亡并促进其死亡,在雌性裸鼠体内也有同样效果。

Bortezomib Alone and in Combination With Salinosporamid A Induces Apoptosis and Promotes Pheochromocytoma Cell Death In Vitro and in Female Nude Mice.

作者信息

Bullova Petra, Cougnoux Antony, Marzouca Geena, Kopacek Juraj, Pacak Karel

机构信息

Section on Medical Neuroendocrinology, Eunice Kennedy Shriver National Institute of Child Health and Human Development, National Institutes of Health, Bethesda, Maryland 20892.

Department of Molecular Medicine, Institute of Virology, Biomedical Research Center, Slovak Academy of Sciences, 84505 Bratislava, Slovakia.

出版信息

Endocrinology. 2017 Oct 1;158(10):3097-3108. doi: 10.1210/en.2017-00592.

Abstract

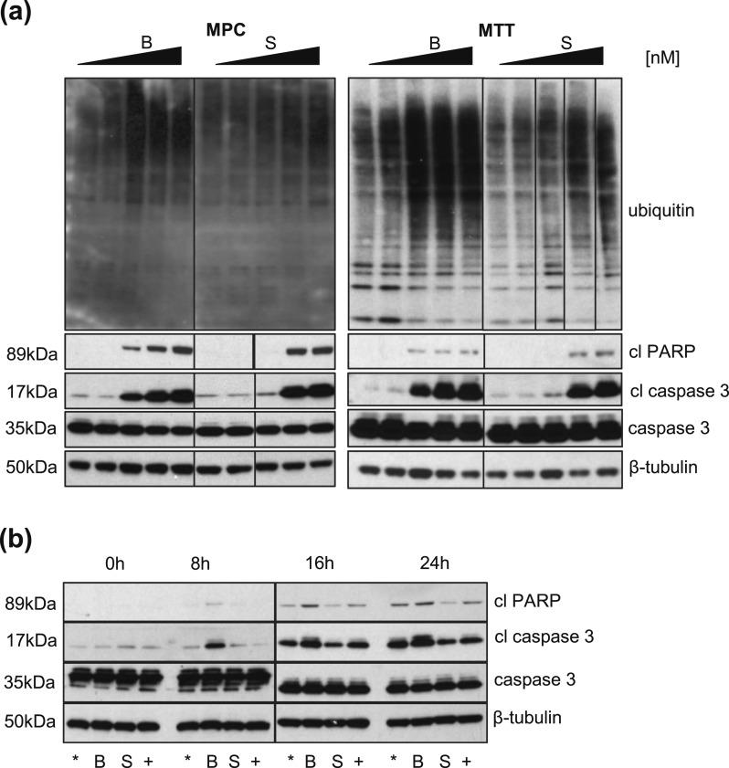
Proteasome inhibitors have been frequently used in treating hematologic and solid tumors. They are administered individually or in combination with other regimens, to prevent severe side effects and resistance development. Because they have been shown to be efficient and are pharmaceutically available, we tested the first Food and Drug Administration-approved proteasome inhibitor bortezomib alone and in combination with another proteasome inhibitor, salinosporamid A, in pheochromocytoma cells. Pheochromocytomas/Paragangliomas (PHEOs/PGLs) are neuroendocrine tumors for which no definite cure is yet available. Therefore, drugs with a wide spectrum of mechanisms of action are being tested to identify suitable candidates for PHEO/PGL treatment. In the current study, we show that bortezomib induces PHEO cell death via the apoptotic pathway in vitro and in vivo. The combination of bortezomib with salinosporamid A exhibits additive effect on these cells and inhibits proliferation, cell migration and invasion, and angiogenesis more potently than bortezomib alone. Altogether, we suggest these proteasome inhibitors, especially bortezomib, could be potentially tested in PHEO/PGL patients who might benefit from treatment with either the inhibitors alone or in combination with other treatment options.

摘要

蛋白酶体抑制剂已被频繁用于治疗血液系统肿瘤和实体瘤。它们单独给药或与其他治疗方案联合使用,以预防严重的副作用和耐药性的产生。由于已证明它们有效且可通过药物途径获得,我们在嗜铬细胞瘤细胞中测试了美国食品药品监督管理局批准的首个蛋白酶体抑制剂硼替佐米,以及它与另一种蛋白酶体抑制剂沙利诺酰胺A联合使用的效果。嗜铬细胞瘤/副神经节瘤(PHEOs/PGLs)是神经内分泌肿瘤,目前尚无确切的治愈方法。因此,正在测试具有广泛作用机制的药物,以确定适合治疗PHEO/PGL的候选药物。在本研究中,我们表明硼替佐米在体外和体内均可通过凋亡途径诱导PHEO细胞死亡。硼替佐米与沙利诺酰胺A联合使用对这些细胞具有相加作用,并且比单独使用硼替佐米更有效地抑制细胞增殖、迁移、侵袭和血管生成。总之,我们建议这些蛋白酶体抑制剂,尤其是硼替佐米,可在PHEO/PGL患者中进行潜在测试,这些患者可能从单独使用抑制剂或与其他治疗方案联合使用中获益。

https://cdn.ncbi.nlm.nih.gov/pmc/blobs/6488/5659682/a406b6e3d548/en.2017-00592f1.jpg

文献AI研究员

20分钟写一篇综述,助力文献阅读效率提升50倍。

立即体验

用中文搜PubMed

大模型驱动的PubMed中文搜索引擎

马上搜索

文档翻译

学术文献翻译模型,支持多种主流文档格式。

立即体验