Suppr超能文献

PD-L1表达与免疫评分对微卫星不稳定晚期胃癌的联合预后影响

Combined prognostic effect of PD-L1 expression and immunoscore in microsatellite-unstable advanced gastric cancers.

作者信息

Kim Kyung-Ju, Yang Han Kwang, Kim Woo Ho, Kang Gyeong Hoon

机构信息

Laboratory of Epigenetics, Cancer Research Institute, Seoul National University College of Medicine, Seoul 03080, Republic of Korea.

Department of Pathology, Yeungnam University College of Medicine, Daegu 42415, Republic of Korea.

出版信息

Oncotarget. 2017 Jul 22;8(35):58887-58902. doi: 10.18632/oncotarget.19439. eCollection 2017 Aug 29.

Abstract

BACKGROUND

The aim of this study was to evaluate how programmed death-ligand-1 (PD-L1) expression is linked to the immunoscore in the context of the tumor microenvironment and to assess the differential prognostic value of PD-L1 expression according to the immunoscore in 153 patients with microsatellite instability-high (MSI-H) advanced gastric cancer (GC).

RESULTS

We found that T-PD-L1 (+) and I-PD-L1 (+) were significantly associated with a high immunoscore. The integrated PD-L1 expression of tumor and immune cells was not significantly correlated with the overall survival (OS) of patients. However, a combined survival analysis of PD-L1 expression and immunoscore revealed four distinct subgroups with a statistically significant difference in OS. That is, the PD-L1 (+)/immunoscoreLow group showed the worst and the PD-L1 (+)/immunoscoreHigh group showed the best prognosis. Furthermore, a multivariate analysis revealed that the combined status of PD-L1 expression and immunoscore was an independent and significant prognostic factor for OS in patients with MSI-H GC.

MATERIALS AND METHODS

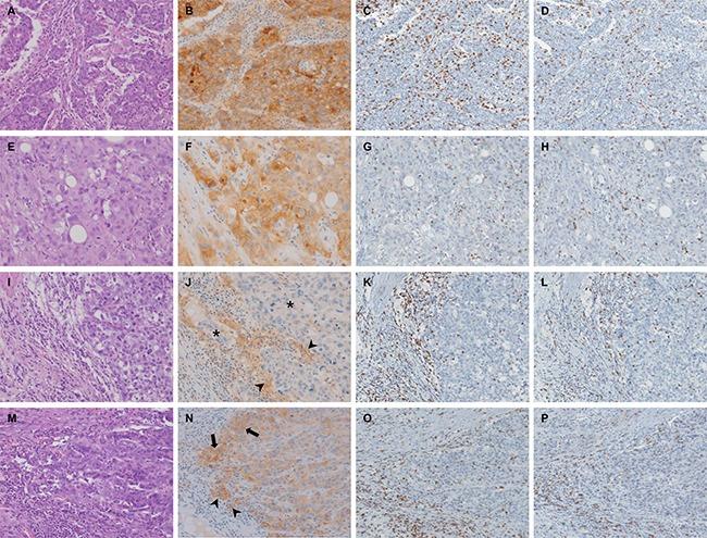
The immunoscore was quantified by the number of high-density areas of CD3+ and CD8+ tumor infiltrating lymphocytes both in the tumor regions and compartments (i.e., epithelial and stromal compartments of the tumor center and the invasive front), the scores of which range from I0 to I8. By using immunohistochemistry, the expression of PD-L1 was also analyzed in tumor cells (T-PD-L1) and immune cells (I-PD-L1) using four different cut-off values (1%, 5%, 10% and 50%).

CONCLUSIONS

Our study revealed that PD-L1 expression is associated with the corresponding immunoscore and that the immunoscore can be a relevant marker for the determination of the prognostic role of PD-L1 expression in MSI-H GCs.

摘要

背景

本研究旨在评估在肿瘤微环境背景下程序性死亡配体-1(PD-L1)表达与免疫评分之间的关联,并根据免疫评分评估153例微卫星高度不稳定(MSI-H)的晚期胃癌(GC)患者中PD-L1表达的差异预后价值。

结果

我们发现肿瘤细胞PD-L1(T-PD-L1)阳性和免疫细胞PD-L1(I-PD-L1)阳性与高免疫评分显著相关。肿瘤和免疫细胞的综合PD-L1表达与患者的总生存期(OS)无显著相关性。然而,PD-L1表达与免疫评分的联合生存分析显示出四个不同的亚组,其OS有统计学显著差异。即,PD-L1阳性/免疫评分低组预后最差,PD-L1阳性/免疫评分高组预后最好。此外,多因素分析显示,PD-L1表达与免疫评分的联合状态是MSI-H GC患者OS的独立且显著的预后因素。

材料与方法

通过肿瘤区域和分区(即肿瘤中心和浸润前沿的上皮和基质分区)中CD3+和CD8+肿瘤浸润淋巴细胞的高密度区域数量对免疫评分进行量化,评分范围为I0至I8。通过免疫组织化学,还使用四个不同的临界值(1%、5%、10%和50%)分析肿瘤细胞(T-PD-L1)和免疫细胞(I-PD-L1)中PD-L1的表达。

结论

我们的研究表明,PD-L1表达与相应的免疫评分相关,并且免疫评分可作为确定PD-L1表达在MSI-H GC中的预后作用的相关标志物。

https://cdn.ncbi.nlm.nih.gov/pmc/blobs/b207/5601701/b1e527865097/oncotarget-08-58887-g001.jpg

文献AI研究员

20分钟写一篇综述,助力文献阅读效率提升50倍。

立即体验

用中文搜PubMed

大模型驱动的PubMed中文搜索引擎

马上搜索

文档翻译

学术文献翻译模型,支持多种主流文档格式。

立即体验