Suppr超能文献

Primary hyperoxaluria detected by bone marrow biopsy: case report.

作者信息

Nachite F, Dref M, Fakhri A, Rais H

机构信息

Department of Pathology, FMFM-UCAM-CHU Mohammed VI-50 Assif, 40000 Marrakech, Morocco.

出版信息

BMC Clin Pathol. 2017 Sep 20;17:20. doi: 10.1186/s12907-017-0059-7. eCollection 2017.

Abstract

BACKGROUND

Primary hyperoxaluria is a rare disease with an estimated prevalence of 1 to 3 cases per million. It is due to a hepatic enzyme deficiency responsible for an endogenous overproduction of oxalate. Oxalate crystals commonly deposit in the kidney and more rarely in bone marrow. The literature has reported, to the best of our knowledge, only two cases of hyperoxaluria diagnosed by bone marrow biopsy and our case is the only one that does not show radiological bone lesions.

CASE PRESENTATION

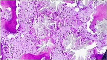
A young 22 year old chronic hemodialysis patient with nephrocalcinosis. The patient had a personal and family history of recurrent kidney stones. He presented bone pain with worsening of his general state. On physical examination, no organomegaly was detected. Biological check-up showed only a normochromic and normocytic regenerative anemia resistant to treatment and a bone marrow biopsy was performed. It showed deposits of crystals of oxalate in the bone marrow surrounded by inflammatory reaction against foreign bodies. Given our context, no liver biopsy or genetic studies, which are gold standard of diagnosis testing, were done. The diagnosis of primary hyperoxaluria was made based on morphological characteristics of crystals, his medical and family history, and the absence of any secondary cause of the condition. Since curative treatment is not available in our country, the patient only receives a palliative treatment.

CONCLUSION

Primary hyperoxaluria is rarely evoked by the histological study of a bone marrow biopsy. The lack of the possibility of the only effective treatment in our context and the diagnosis, usually late, of this pathology are at the origin of the fatal evolution of the disease in almost all the cases.

摘要
https://cdn.ncbi.nlm.nih.gov/pmc/blobs/0c37/5607598/ebad870cf8d5/12907_2017_59_Fig1_HTML.jpg

文献AI研究员

20分钟写一篇综述,助力文献阅读效率提升50倍。

立即体验

用中文搜PubMed

大模型驱动的PubMed中文搜索引擎

马上搜索

文档翻译

学术文献翻译模型,支持多种主流文档格式。

立即体验