Ozden Bora, Bas Burcu, Duran Hatice, Celenk Peruze, Gunhan Omer
Department of Oral and Maxillofacial Surgery Faculty of Dentistry Ondokuz Mayıs University Turkey.
Department of Oral and Maxillofacial Radiology Faculty of Dentistry Ondokuz Mayıs University Turkey.
J Istanb Univ Fac Dent. 2016 Jan 12;50(1):55-58. doi: 10.17096/jiufd.86859. eCollection 2016.
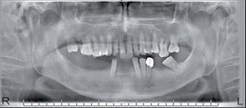
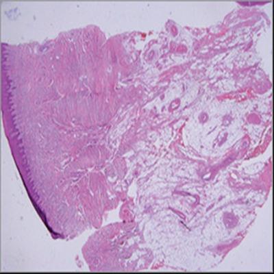
An arteriovenous malformation (AVM) is composed of abnormal communications between arteries and veins without the normal intervening capillary bed. AVM of the head and neck is a rare vascular anomaly. We present here an unusual case of AVM with the size of 4x3 cm at the left posterior palatal area. Incisionel biopsy revealed AVM. Resection of the lesion following angiography was suggested to the patient however, he refused the treatment. The patient was considered to be under control. AVM should always be kept in mind in the differential diagnosis of palatal swellings.
动静脉畸形(AVM)由动脉与静脉之间的异常交通组成,其间无正常的毛细血管床。头颈部动静脉畸形是一种罕见的血管异常。我们在此呈现一例不寻常的动静脉畸形病例,位于左侧腭后区域,大小为4×3厘米。切开活检显示为动静脉畸形。血管造影后建议患者切除病变,然而,他拒绝了治疗。该患者被认为病情得到控制。在腭部肿胀的鉴别诊断中应始终考虑到动静脉畸形。