Khosla Divya, Verma Shalini, Gupta Nitin, Punia Rajpal-S, Kaur Gurbir, Pandey Awadhesh-K, Dimri Kislay
Department of Radiotherapy, Government Medical College and Hospital, Chandigarh, India.
Department of Otorhinolaryngology and Head and Neck Surgery, Government Medical College and Hospital, Chandigarh, India.
Iran J Otorhinolaryngol. 2017 Sep;29(94):299-302.
Polymorphous low grade adenocarcinoma (PLGA) is a rare salivary gland neoplasm with an indolent course. It occurs primarily in the minor salivary glands but can rarely occur in the major salivary glands. It usually occurs in the fifth to seventh decades of life with female preponderance.
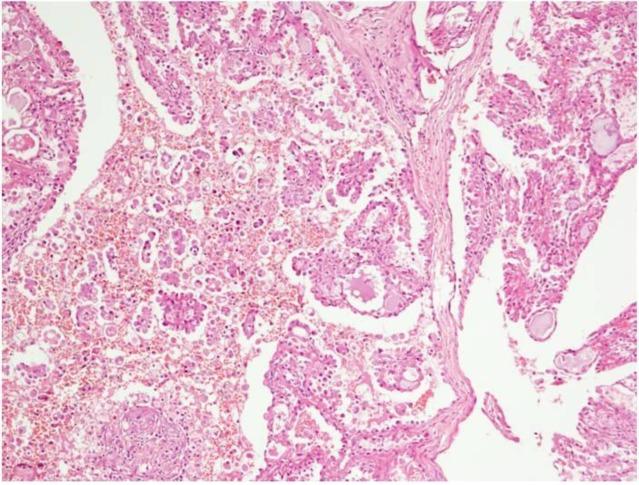
A 16-year-old male presented with recurrent painless swelling in the right preauricular region and with a history of surgical intervention at the same site in the past. His histopathology report was suggestive of pleomorphic adenoma. The swelling recurred after one year of excision and a superficial parotidectomy was performed. The detailed histopathological examination was suggestive of Polymorphous low grade adenocarcinoma. In view of close margins, the patient was given adjuvant radiotherapy. Thirty-three months post-surgery, he is alive and disease-free. We describe a rare case of PLGA of the parotid gland in a teenager with its clinical characteristics, histopathological features, and treatment.
The occurrence of PLGA in the parotid gland is rare with only a few cases reported in literature. The diagnosis of PLGA is challenging due to morphological diversity.
多形性低度恶性腺癌(PLGA)是一种罕见的涎腺肿瘤,病程进展缓慢。它主要发生于小涎腺,但极少发生于大涎腺。通常发生于50至70岁,女性多见。
一名16岁男性,右耳前区反复出现无痛性肿胀,既往有该部位手术史。其组织病理学报告提示多形性腺瘤。切除术后一年肿胀复发,遂行腮腺浅叶切除术。详细的组织病理学检查提示多形性低度恶性腺癌。鉴于切缘阳性,患者接受了辅助放疗。术后33个月,患者存活且无疾病复发。我们描述了一例青少年腮腺多形性低度恶性腺癌的罕见病例,包括其临床特征、组织病理学特点及治疗情况。
腮腺多形性低度恶性腺癌的发生罕见,文献报道的病例较少。由于形态多样,多形性低度恶性腺癌的诊断具有挑战性。