Suppr超能文献

通过G-四链体配体SYUIQ-FM05阻断WT1与启动子的结合。

Blocking the binding of WT1 to promoter by G-quadruplex ligand SYUIQ-FM05.

作者信息

Xiong Yun-Xia, Chen Ai-Chun, Yao Pei-Fen, Zeng De-Ying, Lu Yu-Jing, Tan Jia-Heng, Huang Zhi-Shu, Ou Tian-Miao

机构信息

School of Pharmaceutical Sciences, Sun Yat-sen University, Guangzhou 510006, PR China.

Faculty of Chemical Engineering and Light Industry, Guangdong University of Technology, Guangzhou 510006, PR China.

出版信息

Biochem Biophys Rep. 2016 Jan 14;5:346-352. doi: 10.1016/j.bbrep.2015.12.014. eCollection 2016 Mar.

Abstract

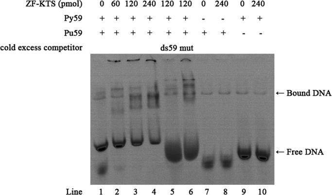
At present, , a Wilms' tumor suppressor gene, is recognized as a critical regulator of tumorigenesis and a potential therapeutic target. WT1 shows the ability to regulate the transcription of by binding to a GC-rich region in the promoter, which can then fold into a special DNA secondary structure called the G-quadruplex. This function merits the exploration of the effect of a G-quadruplex ligand on the binding and subsequent regulation of WT1 on the promoter. In the present study, WT1 was found to bind to the double strand containing the G-quadruplex-forming sequence of the promoter. However, the G-quadruplex ligand SYUIQ-FM05 effectively blocked this binding by interacting with the GC-rich sequence. Our new findings are significant in the exploration of new strategies to block WT1's transcriptional regulation for cancer-cell treatment.

摘要

目前,一种名为Wilms肿瘤抑制基因(WT1)被认为是肿瘤发生的关键调节因子和潜在的治疗靶点。WT1具有通过与启动子中富含GC的区域结合来调节转录的能力,该区域随后可折叠成一种特殊的DNA二级结构,称为G-四链体。这一功能值得探索G-四链体配体对WT1与启动子结合及后续调控的影响。在本研究中,发现WT1与包含启动子G-四链体形成序列的双链结合。然而,G-四链体配体SYUIQ-FM05通过与富含GC的序列相互作用有效地阻断了这种结合。我们的新发现对于探索阻断WT1转录调控以治疗癌细胞的新策略具有重要意义。

https://cdn.ncbi.nlm.nih.gov/pmc/blobs/fd42/5600358/8e1c3844dcb9/gr1.jpg

文献检索

告别复杂PubMed语法,用中文像聊天一样搜索,搜遍4000万医学文献。AI智能推荐,让科研检索更轻松。

立即免费搜索

文件翻译

保留排版,准确专业,支持PDF/Word/PPT等文件格式,支持 12+语言互译。

免费翻译文档

深度研究

AI帮你快速写综述,25分钟生成高质量综述,智能提取关键信息,辅助科研写作。

立即免费体验