Suppr超能文献

吸附于二氧化钛表面的骨蛋白的蛋白质组学分析

Proteomic analysis of bone proteins adsorbed onto the surface of titanium dioxide.

作者信息

Sugimoto Keisuke, Tsuchiya Shuhei, Omori Masahiro, Matsuda Ryo, Fujio Masahito, Kuroda Kensuke, Okido Masazumi, Hibi Hideharu

机构信息

Department of Oral and Maxillofacial Surgery, Nagoya University Graduate School of Medicine, 65 Tsurumai-cho, Showa-ku, Nagoya, Aichi 466-8550, Japan.

Nagoya University Hospital Oral and Maxillofacial Surgery, 65 Tsurumai-cho, Showa-ku, Nagoya, Aichi 466-8550, Japan.

出版信息

Biochem Biophys Rep. 2016 Jul 16;7:316-322. doi: 10.1016/j.bbrep.2016.07.007. eCollection 2016 Sep.

Abstract

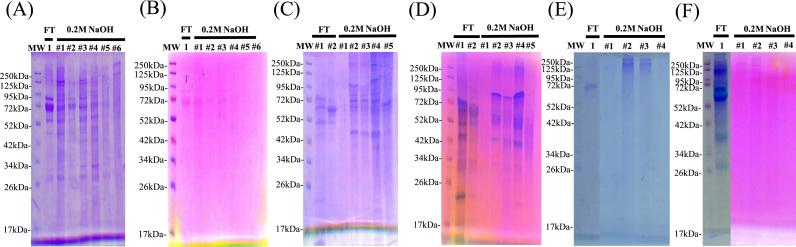
Osseointegration is the structural and functional connection between bone tissues and implants such as titanium dioxide (TiO). The bone-TiO interface is thought to contain proteoglycans. However, exhaustive analysis of the proteins in this layer has not been performed. In this study, we evaluated the bone protein adhered on the surface of TiO comprehensively. Pig bone protein was extracted by sequential elutions with guanidine, 0.1 M EDTA, and again with guanidine. The proteins obtained from these extractions were allowed to adhere to an HPLC column packed with TiO and were eluted with 0.2 M NaOH. The eluted proteins were identified by LC/MS/MS and included not only proteoglycans but also other proteins such as extracellular matrix proteins, enzymes, and growth factors. Calcium depositions were observed on TiO particles incubated with bone proteins, guanidine-extracted proteins adhered to TiO displayed significantly high amounts of calcium depositions.

摘要

骨整合是骨组织与诸如二氧化钛(TiO)等植入物之间的结构和功能连接。骨 - TiO界面被认为含有蛋白聚糖。然而,尚未对该层中的蛋白质进行详尽分析。在本研究中,我们全面评估了粘附在TiO表面的骨蛋白。通过用胍、0.1 M EDTA依次洗脱,然后再次用胍洗脱来提取猪骨蛋白。将从这些提取物中获得的蛋白质使其粘附到填充有TiO的HPLC柱上,并用0.2 M NaOH洗脱。通过LC/MS/MS鉴定洗脱的蛋白质,其不仅包括蛋白聚糖,还包括其他蛋白质,如细胞外基质蛋白、酶和生长因子。在用骨蛋白孵育的TiO颗粒上观察到钙沉积,粘附到TiO上的胍提取蛋白显示出大量的钙沉积。

https://cdn.ncbi.nlm.nih.gov/pmc/blobs/0a9d/5613647/277db5283bfb/gr1.jpg

文献AI研究员

20分钟写一篇综述,助力文献阅读效率提升50倍。

立即体验

用中文搜PubMed

大模型驱动的PubMed中文搜索引擎

马上搜索

文档翻译

学术文献翻译模型,支持多种主流文档格式。

立即体验