• 文献检索
  • 文档翻译
  • 深度研究
  • 学术资讯
  • Suppr Zotero 插件Zotero 插件
  • 邀请有礼
  • 套餐&价格
  • 历史记录
应用&插件
Suppr Zotero 插件Zotero 插件浏览器插件Mac 客户端Windows 客户端微信小程序
定价
高级版会员购买积分包购买API积分包
服务
文献检索文档翻译深度研究API 文档MCP 服务
关于我们
关于 Suppr公司介绍联系我们用户协议隐私条款
关注我们

Suppr 超能文献

核心技术专利:CN118964589B侵权必究
粤ICP备2023148730 号-1Suppr @ 2026

文献检索

告别复杂PubMed语法,用中文像聊天一样搜索,搜遍4000万医学文献。AI智能推荐,让科研检索更轻松。

立即免费搜索

文件翻译

保留排版,准确专业,支持PDF/Word/PPT等文件格式,支持 12+语言互译。

免费翻译文档

深度研究

AI帮你快速写综述,25分钟生成高质量综述,智能提取关键信息,辅助科研写作。

立即免费体验

手术修复后跟腱的磁共振成像

MR Imaging of the Achilles Tendon after Surgical Repair.

作者信息

Tam Kwok Fai, Lui Tun Hing

机构信息

Department of Radiology, North District Hospital, Hong Kong.

Department of Orthopaedics and Traumatology, North District Hospital, Hong Kong.

出版信息

Open Orthop J. 2017 Jul 31;11:697-703. doi: 10.2174/1874325001711010697. eCollection 2017.

DOI:10.2174/1874325001711010697
PMID:28979583
原文链接:https://pmc.ncbi.nlm.nih.gov/articles/PMC5620401/
Abstract

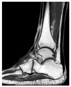
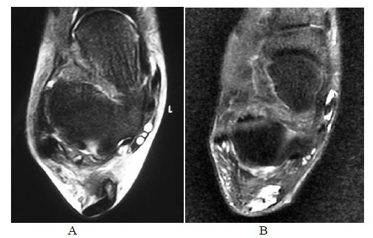
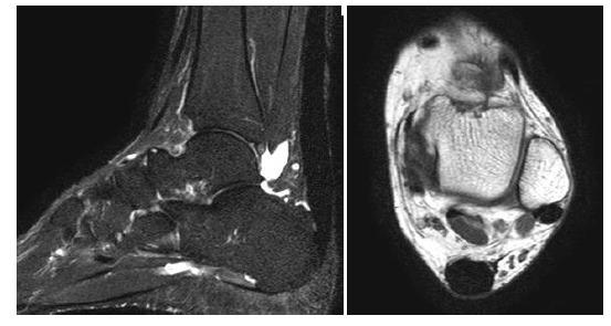
Achilles tendon tear is common and increasingly frequent. Magnetic resonance imaging (MRI) is the modality of choice for radiological evaluation. It is accurate to assess the status and integrity of the tendon with well documented features. In this article, the MR findings of a normal Achilles tendon as well as common diseases like insertional and noninsertional tendinosis, chronic tendinosis with marked lengthening, tendon rupture are illustrated. After a torn Achilles tendon receives surgical repair, it undergoes different stages of healing process including inflammatory, reparative and remodeling phases. Acute scar tissue in the surgical bed may share similar MR features of tendon re-rupture especially in the early healing phase because both are T2W hyperintense. The size of the gap may even appear larger than expected on T2W images possibly due to tendon remodeling. Understanding of the healing process in post-operative period may prevent overestimation of tendon gap and misdiagnosis of re-tear. We describe the MR features of the post-operative changes with serial studies in different months after surgery. The MR findings with the highlights of the expected sequential changes in normal healing process are illustrated in different cases. A case with surgical repair on a partial tear of Achilles tendon is also included.

摘要

跟腱撕裂很常见且愈发频发。磁共振成像(MRI)是放射学评估的首选方式。它能够准确评估肌腱的状态和完整性,且具有充分记录的特征。在本文中,展示了正常跟腱的磁共振成像表现以及诸如附着点和非附着点肌腱病、伴有明显延长的慢性肌腱病、肌腱断裂等常见疾病的表现。跟腱撕裂接受手术修复后,会经历不同的愈合阶段,包括炎症期、修复期和重塑期。手术部位的急性瘢痕组织可能具有与肌腱再次断裂相似的磁共振成像特征,尤其是在愈合早期,因为二者在T2加权像上均呈高信号。在T2加权像上,间隙大小甚至可能看起来比预期更大,这可能是由于肌腱重塑所致。了解术后愈合过程可避免对肌腱间隙的高估以及对再次撕裂的误诊。我们通过对术后不同月份的系列研究来描述术后改变的磁共振成像特征。在不同病例中展示了磁共振成像表现以及正常愈合过程中预期的连续变化要点。还纳入了一例跟腱部分撕裂手术修复的病例。

https://cdn.ncbi.nlm.nih.gov/pmc/blobs/9e47/5620401/e050356d15bb/TOORTHJ-11-697_F11AB.jpg
https://cdn.ncbi.nlm.nih.gov/pmc/blobs/9e47/5620401/37dede60689b/TOORTHJ-11-697_F1ab.jpg
https://cdn.ncbi.nlm.nih.gov/pmc/blobs/9e47/5620401/456914070204/TOORTHJ-11-697_F2ab.jpg
https://cdn.ncbi.nlm.nih.gov/pmc/blobs/9e47/5620401/c6afadbcd8be/TOORTHJ-11-697_F3ab.jpg
https://cdn.ncbi.nlm.nih.gov/pmc/blobs/9e47/5620401/f7b4d3b1e08d/TOORTHJ-11-697_F4.jpg
https://cdn.ncbi.nlm.nih.gov/pmc/blobs/9e47/5620401/ca623e978c27/TOORTHJ-11-697_F5.jpg
https://cdn.ncbi.nlm.nih.gov/pmc/blobs/9e47/5620401/d60cde792246/TOORTHJ-11-697_F6.jpg
https://cdn.ncbi.nlm.nih.gov/pmc/blobs/9e47/5620401/2bf6a916a69f/TOORTHJ-11-697_F7AB.jpg
https://cdn.ncbi.nlm.nih.gov/pmc/blobs/9e47/5620401/e0ab2365c3ca/TOORTHJ-11-697_F8AB.jpg
https://cdn.ncbi.nlm.nih.gov/pmc/blobs/9e47/5620401/34f5e867743c/TOORTHJ-11-697_F9AB.jpg
https://cdn.ncbi.nlm.nih.gov/pmc/blobs/9e47/5620401/3a066ad7d17d/TOORTHJ-11-697_F10AB.jpg
https://cdn.ncbi.nlm.nih.gov/pmc/blobs/9e47/5620401/e050356d15bb/TOORTHJ-11-697_F11AB.jpg
https://cdn.ncbi.nlm.nih.gov/pmc/blobs/9e47/5620401/37dede60689b/TOORTHJ-11-697_F1ab.jpg
https://cdn.ncbi.nlm.nih.gov/pmc/blobs/9e47/5620401/456914070204/TOORTHJ-11-697_F2ab.jpg
https://cdn.ncbi.nlm.nih.gov/pmc/blobs/9e47/5620401/c6afadbcd8be/TOORTHJ-11-697_F3ab.jpg
https://cdn.ncbi.nlm.nih.gov/pmc/blobs/9e47/5620401/f7b4d3b1e08d/TOORTHJ-11-697_F4.jpg
https://cdn.ncbi.nlm.nih.gov/pmc/blobs/9e47/5620401/ca623e978c27/TOORTHJ-11-697_F5.jpg
https://cdn.ncbi.nlm.nih.gov/pmc/blobs/9e47/5620401/d60cde792246/TOORTHJ-11-697_F6.jpg
https://cdn.ncbi.nlm.nih.gov/pmc/blobs/9e47/5620401/2bf6a916a69f/TOORTHJ-11-697_F7AB.jpg
https://cdn.ncbi.nlm.nih.gov/pmc/blobs/9e47/5620401/e0ab2365c3ca/TOORTHJ-11-697_F8AB.jpg
https://cdn.ncbi.nlm.nih.gov/pmc/blobs/9e47/5620401/34f5e867743c/TOORTHJ-11-697_F9AB.jpg
https://cdn.ncbi.nlm.nih.gov/pmc/blobs/9e47/5620401/3a066ad7d17d/TOORTHJ-11-697_F10AB.jpg
https://cdn.ncbi.nlm.nih.gov/pmc/blobs/9e47/5620401/e050356d15bb/TOORTHJ-11-697_F11AB.jpg

相似文献

1
MR Imaging of the Achilles Tendon after Surgical Repair.手术修复后跟腱的磁共振成像
Open Orthop J. 2017 Jul 31;11:697-703. doi: 10.2174/1874325001711010697. eCollection 2017.
2
Magnetic resonance imaging in chronic Achilles tendinopathy.慢性跟腱病的磁共振成像
Acta Radiol Suppl (Stockholm). 2004 Sep(432):1-45. doi: 10.1080/03655950410009742.
3
Arthroscopic repair of partial-thickness and small full-thickness rotator cuff tears: tendon quality as a prognostic factor for repair integrity.关节镜下修复部分厚度和小全层肩袖撕裂:肌腱质量作为修复完整性的预后因素。
Am J Sports Med. 2015 Mar;43(3):588-96. doi: 10.1177/0363546514561004. Epub 2014 Dec 22.
4
Tendon transfers in the treatment of Achilles' tendon disorders.肌腱转移术治疗跟腱疾病
Foot Ankle Clin. 2014 Mar;19(1):73-86. doi: 10.1016/j.fcl.2013.10.005. Epub 2013 Dec 7.
5
Longer duration of operative time enhances healing metabolites and improves patient outcome after Achilles tendon rupture surgery.手术时间延长可增强愈合代谢物,改善跟腱断裂手术后患者的预后。
Knee Surg Sports Traumatol Arthrosc. 2018 Jul;26(7):2011-2020. doi: 10.1007/s00167-017-4606-7. Epub 2017 Jun 21.
6
Calcific Insertional Achilles Tendinopathy-Achilles Repair With Flexor Hallucis Longus Tendon Transfer: Case Series and Surgical Technique.钙化性跟腱附着点病——采用拇长屈肌腱转移术修复跟腱:病例系列及手术技术
J Foot Ankle Surg. 2019 Mar;58(2):236-242. doi: 10.1053/j.jfas.2018.08.021. Epub 2019 Jan 3.
7
Clinical presentation and surgical management of chronic Achilles tendon disorders - A retrospective observation on a set of consecutive patients being operated by the same orthopedic surgeon.慢性跟腱疾病的临床表现及外科治疗——对同一骨科医生连续手术的一组患者的回顾性观察
Foot Ankle Surg. 2018 Dec;24(6):490-494. doi: 10.1016/j.fas.2017.05.011. Epub 2017 Jun 12.
8
Neglected Achilles tendon rupture with central insertional plantaris tendon hypertrophy: two cases.伴有中央插入部跖肌腱肥大的 neglected 跟腱断裂:两例报告 。 备注:这里“neglected”在医学语境可能有“被忽视的、漏诊的”等含义,结合语境可更准确理解,但仅按要求直接翻译为“neglected” 。
Strategies Trauma Limb Reconstr. 2009 Apr;4(1):41-3. doi: 10.1007/s11751-009-0051-6. Epub 2009 Mar 10.
9
MR imaging of posterior tibial tendon dysfunction.胫后肌腱功能障碍的磁共振成像
AJR Am J Roentgenol. 1996 Sep;167(3):675-82. doi: 10.2214/ajr.167.3.8751680.
10
[Comparison of ultrasonography and magnetic resonance in the postoperative monitoring of complete subcutaneous rupture of the Achilles tendon].超声检查与磁共振成像在跟腱完全皮下断裂术后监测中的比较
Radiol Med. 1997 Jul-Aug;94(1-2):47-51.

引用本文的文献

1
Imaging of Foreign Body Reactions to Non-absorbable Sutures in Achilles Tendon Repair: Radiologic and Histopathologic Correlation in Two Cases.跟腱修复术中对不可吸收缝线的异物反应成像:两例病例的放射学与组织病理学相关性
Cureus. 2025 Feb 18;17(2):e79224. doi: 10.7759/cureus.79224. eCollection 2025 Feb.
2
Successful restoration of failed Achilles tendon surgery with semitendinosus and gracilis tendon graft: a case report.使用半腱肌和股薄肌腱移植成功修复失败的跟腱手术:一例报告
Front Surg. 2023 Nov 20;10:1233502. doi: 10.3389/fsurg.2023.1233502. eCollection 2023.
3
Achilles tendon thickening does not affect elasticity and functional outcome after surgical repair of Achilles rupture: A retrospective study.

本文引用的文献

1
Achilles tendon after percutaneous surgical repair: serial MRI observation of uncomplicated healing.经皮手术修复后的跟腱:无并发症愈合的系列MRI观察
AJR Am J Roentgenol. 2007 Nov;189(5):1169-74. doi: 10.2214/AJR.07.2260.
2
Tendon injury and tendinopathy: healing and repair.肌腱损伤与肌腱病:愈合与修复
J Bone Joint Surg Am. 2005 Jan;87(1):187-202. doi: 10.2106/JBJS.D.01850.
3
Acute rupture of tendon Achillis. A prospective randomised study of comparison between surgical and non-surgical treatment.跟腱急性断裂。手术治疗与非手术治疗对比的前瞻性随机研究。
跟腱增粗并不影响跟腱断裂修复术后的弹性和功能结果:一项回顾性研究。
Chin J Traumatol. 2023 Nov;26(6):323-328. doi: 10.1016/j.cjtee.2023.10.002. Epub 2023 Oct 27.
4
One Step Double Augmentation with Human Dermis Allograft and Homologous PRP in Misdiagnosed and or Chronic Achilles Tendon Ruptures.误诊和/或慢性跟腱断裂的人真皮同种异体移植物和同源 PRP 一步双重增强。
Orthop Surg. 2023 Dec;15(12):3300-3308. doi: 10.1111/os.13871. Epub 2023 Sep 28.
5
Is a Preoperative MRI Scan Necessary for Acute Achilles Tendon Rupture?术前 MRI 扫描对急性跟腱断裂有必要吗?
Orthop Surg. 2023 Nov;15(11):2777-2785. doi: 10.1111/os.13845. Epub 2023 Sep 25.
6
MRI of the Achilles tendon - a comprehensive pictorial review. Part two.跟腱的磁共振成像——全面的影像综述。第二部分。
Eur J Radiol Open. 2021 Mar 27;8:100343. doi: 10.1016/j.ejro.2021.100343. eCollection 2021.
7
Modified Percutaneous Achilles Tendon Lengthening by Triple Hemisection for Achilles Tendon Contracture.经三切口改良微创跟腱延长术治疗跟腱挛缩。
Biomed Res Int. 2019 Nov 7;2019:1491796. doi: 10.1155/2019/1491796. eCollection 2019.
J Bone Joint Surg Br. 2001 Aug;83(6):843-8. doi: 10.1302/0301-620x.83b6.11676.
4
MR imaging of disorders of the Achilles tendon.跟腱疾病的磁共振成像
AJR Am J Roentgenol. 2000 Sep;175(3):613-25. doi: 10.2214/ajr.175.3.1750613.
5
Degeneration and rupture of the Achilles tendon.
Clin Orthop Relat Res. 1975(107):221-4. doi: 10.1097/00003086-197503000-00025.