• 文献检索
  • 文档翻译
  • 深度研究
  • 学术资讯
  • Suppr Zotero 插件Zotero 插件
  • 邀请有礼
  • 套餐&价格
  • 历史记录
应用&插件
Suppr Zotero 插件Zotero 插件浏览器插件Mac 客户端Windows 客户端微信小程序
定价
高级版会员购买积分包购买API积分包
服务
文献检索文档翻译深度研究API 文档MCP 服务
关于我们
关于 Suppr公司介绍联系我们用户协议隐私条款
关注我们

Suppr 超能文献

核心技术专利:CN118964589B侵权必究
粤ICP备2023148730 号-1Suppr @ 2026

文献检索

告别复杂PubMed语法,用中文像聊天一样搜索,搜遍4000万医学文献。AI智能推荐,让科研检索更轻松。

立即免费搜索

文件翻译

保留排版,准确专业,支持PDF/Word/PPT等文件格式,支持 12+语言互译。

免费翻译文档

深度研究

AI帮你快速写综述,25分钟生成高质量综述,智能提取关键信息,辅助科研写作。

立即免费体验

那格列奈对球囊损伤后大鼠颈总动脉内膜增生的影响。

The effect of anagliptin on intimal hyperplasia of rat carotid artery after balloon injury.

机构信息

Biotherapy Center, Tumor Hospital of Harbin Medical University, Harbin, Heilongjiang 150081, P.R. China.

Department of Pharmacology (State‑Province Key Laboratories of Biomedicine‑Pharmaceutics of China, Key Laboratory of Cardiovascular Research, Ministry of Education), College of Pharmacy, Harbin Medical University, Harbin, Heilongjiang 150086, P.R. China.

出版信息

Mol Med Rep. 2017 Dec;16(6):8003-8010. doi: 10.3892/mmr.2017.7667. Epub 2017 Sep 29.

DOI:10.3892/mmr.2017.7667
PMID:28990108
原文链接:https://pmc.ncbi.nlm.nih.gov/articles/PMC5779884/
Abstract

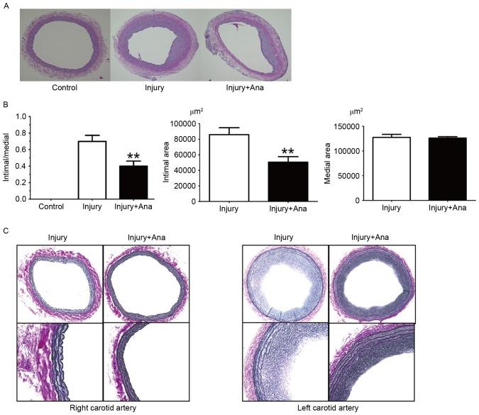
The present study evaluated the effect of anagliptin on intimal hyperplasia following carotid artery injury in Sprague‑Dawley rats. Sprague‑Dawley rats weighing 280‑300 g were injured using a 2F Fogarty balloon embolectomy catheter. The rats were divided into injury‑(saline) and anagliptin‑(10 mg/kg/day) treated groups. vascular injuries were induced in the left carotid artery, followed by evaluation of neointima formation at 28 days. The right and left carotid arteries were harvested and evaluated with histological evaluation, and the plasma activity of glucagon‑like peptide 1 receptor (GLP‑1), stromal cell‑derived factor (SDF)‑1α, interleukin (IL)‑6, IL‑1β and tumor necrosis factor (TNF)‑α were detected by ELISA analysis. Treatment with anagliptin decreased balloon injury‑induced neointima formation, compared with the injury group (P<0.01). Body weight and food consumption did not alter following treatment with anagliptin. Anagliptin caused an increase in the serum active GLP‑1 concentration, compared with the injury group. In addition, serum SDF‑1α was significantly decreased by treatment with anagliptin (P<0.001). Anagliptin altered the serum activity of IL‑6, IL‑1β and TNF‑α (P<0.01). The results of the present study demonstrated that anagliptin appeared to attenuate neointimal formation by inhibiting inflammatory cytokines and chemokines following balloon injury, and that treatment with a dipeptidyl peptidase 4 inhibitor may be useful for future preclinical studies and potentially for the inhibition of thrombosis formation following percutaneous coronary intervention.

摘要

本研究评价了阿那格列汀对 Sprague-Dawley 大鼠颈动脉损伤后内膜增生的影响。280-300g 的 Sprague-Dawley 大鼠采用 2F Fogarty 球囊血栓切除术导管损伤。大鼠分为损伤组(生理盐水)和阿那格列汀组(10mg/kg/天)。在左颈动脉造成血管损伤,28 天后评估新生内膜形成。采集左右颈动脉进行组织学评价,并通过 ELISA 分析检测血浆胰高血糖素样肽 1 受体(GLP-1)、基质细胞衍生因子(SDF)-1α、白细胞介素(IL)-6、IL-1β和肿瘤坏死因子(TNF)-α的活性。与损伤组相比,阿那格列汀治疗降低了球囊损伤诱导的新生内膜形成(P<0.01)。阿那格列汀治疗后体重和食物消耗没有改变。与损伤组相比,阿那格列汀治疗后血清活性 GLP-1 浓度增加。此外,阿那格列汀治疗显著降低了血清 SDF-1α(P<0.001)。阿那格列汀改变了血清中 IL-6、IL-1β和 TNF-α的活性(P<0.01)。本研究结果表明,阿那格列汀通过抑制球囊损伤后炎症细胞因子和趋化因子,可能减轻新生内膜形成,二肽基肽酶 4 抑制剂的治疗可能对未来的临床前研究有用,并且可能抑制经皮冠状动脉介入治疗后的血栓形成。

https://cdn.ncbi.nlm.nih.gov/pmc/blobs/569c/5779884/a06d442e4b26/MMR-16-06-8003-g04.jpg
https://cdn.ncbi.nlm.nih.gov/pmc/blobs/569c/5779884/80b9bc5d99a3/MMR-16-06-8003-g00.jpg
https://cdn.ncbi.nlm.nih.gov/pmc/blobs/569c/5779884/8c3042061a0a/MMR-16-06-8003-g01.jpg
https://cdn.ncbi.nlm.nih.gov/pmc/blobs/569c/5779884/451701e57716/MMR-16-06-8003-g02.jpg
https://cdn.ncbi.nlm.nih.gov/pmc/blobs/569c/5779884/d40ffe5bee6b/MMR-16-06-8003-g03.jpg
https://cdn.ncbi.nlm.nih.gov/pmc/blobs/569c/5779884/a06d442e4b26/MMR-16-06-8003-g04.jpg
https://cdn.ncbi.nlm.nih.gov/pmc/blobs/569c/5779884/80b9bc5d99a3/MMR-16-06-8003-g00.jpg
https://cdn.ncbi.nlm.nih.gov/pmc/blobs/569c/5779884/8c3042061a0a/MMR-16-06-8003-g01.jpg
https://cdn.ncbi.nlm.nih.gov/pmc/blobs/569c/5779884/451701e57716/MMR-16-06-8003-g02.jpg
https://cdn.ncbi.nlm.nih.gov/pmc/blobs/569c/5779884/d40ffe5bee6b/MMR-16-06-8003-g03.jpg
https://cdn.ncbi.nlm.nih.gov/pmc/blobs/569c/5779884/a06d442e4b26/MMR-16-06-8003-g04.jpg

相似文献

1
The effect of anagliptin on intimal hyperplasia of rat carotid artery after balloon injury.那格列奈对球囊损伤后大鼠颈总动脉内膜增生的影响。
Mol Med Rep. 2017 Dec;16(6):8003-8010. doi: 10.3892/mmr.2017.7667. Epub 2017 Sep 29.
2
Human urine kininogenase attenuates balloon-induced intimal hyperplasia in rabbit carotid artery through transforming growth factor β1/Smad2/3 signaling pathway.人尿激肽原酶通过转化生长因子β1/Smad2/3信号通路减轻兔颈动脉球囊损伤诱导的内膜增生。
J Vasc Surg. 2016 Oct;64(4):1074-83. doi: 10.1016/j.jvs.2015.04.433. Epub 2015 Jun 6.
3
Proresolving Lipid Mediators Resolvin D1 and Protectin D1 Isomer Attenuate Neointimal Hyperplasia in the Rat Carotid Artery Balloon Injury Model.促消退脂质介质 Resolvin D1 和 Protectin D1 异构体可减轻大鼠颈动脉球囊损伤模型中的新生内膜增生。
J Surg Res. 2019 Jan;233:104-110. doi: 10.1016/j.jss.2018.07.049. Epub 2018 Aug 18.
4
Hydrogen-rich saline prevents neointima formation after carotid balloon injury by suppressing ROS and the TNF-α/NF-κB pathway.富氢生理盐水通过抑制 ROS 和 TNF-α/NF-κB 通路预防颈动脉球囊损伤后的新生内膜形成。
Atherosclerosis. 2012 Feb;220(2):343-50. doi: 10.1016/j.atherosclerosis.2011.11.002. Epub 2011 Nov 11.
5
Pharmacologic inhibition of nitric oxide synthases and cyclooxygenases enhances intimal hyperplasia in balloon-injured rat carotid arteries.一氧化氮合酶和环氧化酶的药理抑制作用增强了球囊损伤大鼠颈动脉的内膜增生。
J Vasc Surg. 2004 Jul;40(1):115-22. doi: 10.1016/j.jvs.2004.03.037.
6
Effects of Rosuvastatin on Apolipoprotein J in Balloon-Injured Carotid Artery in Rats.瑞舒伐他汀对大鼠球囊损伤颈动脉载脂蛋白J的影响
Arq Bras Cardiol. 2018 Oct;111(4):562-568. doi: 10.5935/abc.20180163. Epub 2018 Sep 21.
7
Fibrin glue containing fibroblast growth factor type 1 and heparin with autologous endothelial cells reduces intimal hyperplasia in a canine carotid artery balloon injury model.含1型成纤维细胞生长因子和肝素的纤维蛋白胶与自体内皮细胞可减少犬颈动脉球囊损伤模型中的内膜增生。
J Vasc Surg. 1997 May;25(5):840-8; discussion 848-9. doi: 10.1016/s0741-5214(97)70213-1.
8
Rutaecarpine Inhibits Intimal Hyperplasia in A Balloon-Injured Rat Artery Model.吴茱萸次碱抑制大鼠球囊损伤动脉模型中的内膜增生
Chin J Integr Med. 2018 Jun;24(6):429-435. doi: 10.1007/s11655-017-2900-3. Epub 2017 Sep 1.
9
Anagliptin inhibits neointimal hyperplasia after balloon injury via endothelial cell-specific modulation of SOD-1/RhoA/JNK signaling in the arterial wall.阿那格列汀通过血管壁内皮细胞特异性调节 SOD-1/RhoA/JNK 信号通路抑制球囊损伤后的血管内膜增生。
Free Radic Biol Med. 2018 Jun;121:105-116. doi: 10.1016/j.freeradbiomed.2018.04.580. Epub 2018 Apr 30.
10
Inhibition of endothelin ETB receptor system aggravates neointimal hyperplasia after balloon injury of rat carotid artery.抑制内皮素ETB受体系统会加重大鼠颈动脉球囊损伤后的内膜增生。
J Pharmacol Exp Ther. 2009 Dec;331(3):998-1004. doi: 10.1124/jpet.109.157065. Epub 2009 Sep 8.

引用本文的文献

1
Platelet-Derived Microvesicles Promote VSMC Dedifferentiation After Intimal Injury via Src/Lamtor1/mTORC1 Signaling.血小板衍生的微泡通过Src/Lamtor1/mTORC1信号通路促进内膜损伤后血管平滑肌细胞去分化。
Front Cell Dev Biol. 2021 Sep 16;9:744320. doi: 10.3389/fcell.2021.744320. eCollection 2021.
2
Molecular Action of Hydroxytyrosol in Attenuation of Intimal Hyperplasia: A Scoping Review.羟基酪醇减轻内膜增生的分子作用:一项综述。
Front Pharmacol. 2021 May 21;12:663266. doi: 10.3389/fphar.2021.663266. eCollection 2021.
3
Linagliptin protects rat carotid artery from balloon injury and activates the NRF2 antioxidant pathway.

本文引用的文献

1
Connexin37 reduces smooth muscle cell proliferation and intimal hyperplasia in a mouse model of carotid artery ligation.连接蛋白 37 可减少小鼠颈动脉结扎模型中平滑肌细胞的增殖和内膜增生。
Cardiovasc Res. 2017 Jun 1;113(7):805-816. doi: 10.1093/cvr/cvx079.
2
Protective Effects of Vildagliptin against Pioglitazone-Induced Bone Loss in Type 2 Diabetic Rats.维格列汀对2型糖尿病大鼠吡格列酮诱导的骨质流失的保护作用。
PLoS One. 2016 Dec 20;11(12):e0168569. doi: 10.1371/journal.pone.0168569. eCollection 2016.
3
Tongxinluo inhibits neointimal formation by regulating the expression and post-translational modification of KLF5 in macrophages.
利那格列汀可保护大鼠颈动脉免受球囊损伤并激活NRF2抗氧化途径。
Exp Anim. 2019 Feb 26;68(1):81-90. doi: 10.1538/expanim.18-0089. Epub 2018 Oct 23.
通心络通过调节巨噬细胞中KLF5的表达和翻译后修饰来抑制内膜增生。
Am J Transl Res. 2016 Nov 15;8(11):4778-4790. eCollection 2016.
4
The ratio of diameters between the target artery and the bypass modifies hemodynamic parameters related to intimal hyperplasia in the distal end-to-side anastomosis.在远端端侧吻合术中,靶动脉与旁路之间的直径比会改变与内膜增生相关的血流动力学参数。
Physiol Res. 2016 Dec 13;65(6):901-908. doi: 10.33549/physiolres.933297. Epub 2016 Aug 19.
5
Intraindividual Comparison of Everolimus-Eluting Bioresorbable Vascular Scaffolds Versus Drug-Eluting Metallic Stents.依维莫司洗脱生物可吸收血管支架与药物洗脱金属支架的个体化比较。
Circ Cardiovasc Interv. 2016 Aug;9(8). doi: 10.1161/CIRCINTERVENTIONS.116.003698.
6
A novel endothelial-derived anti-inflammatory activity significantly inhibits spontaneous choroidal neovascularisation in a mouse model.一种新型内皮细胞衍生的抗炎活性在小鼠模型中显著抑制自发性脉络膜新生血管形成。
Vasc Cell. 2016 May 11;8:2. doi: 10.1186/s13221-016-0036-4. eCollection 2016.
7
Anagliptin, a dipeptidyl peptidase-4 inhibitor, decreases macrophage infiltration and suppresses atherosclerosis in aortic and coronary arteries in cholesterol-fed rabbits.阿格列汀是一种二肽基肽酶-4抑制剂,可减少巨噬细胞浸润,并抑制高胆固醇喂养兔的主动脉和冠状动脉粥样硬化。
Metabolism. 2016 Jun;65(6):893-903. doi: 10.1016/j.metabol.2016.03.010. Epub 2016 Mar 18.
8
Nicorandil attenuates carotid intimal hyperplasia after balloon catheter injury in diabetic rats.尼可地尔可减轻糖尿病大鼠球囊导管损伤后的颈动脉内膜增生。
Cardiovasc Diabetol. 2016 Apr 8;15:62. doi: 10.1186/s12933-016-0377-6.
9
High-fat diet feeding significantly attenuates anagliptin-induced regeneration of islets of Langerhans in streptozotocin-induced diabetic mice.高脂饮食喂养显著减弱了阿格列汀诱导的链脲佐菌素诱导的糖尿病小鼠胰岛再生。
Diabetol Metab Syndr. 2015 Jun 2;7:50. doi: 10.1186/s13098-015-0047-y. eCollection 2015.
10
Reducing In-Stent Restenosis: Therapeutic Manipulation of miRNA in Vascular Remodeling and Inflammation.减少支架内再狭窄:微小RNA在血管重塑和炎症中的治疗性调控
J Am Coll Cardiol. 2015 Jun 2;65(21):2314-27. doi: 10.1016/j.jacc.2015.03.549.