Suppr超能文献

一名表达HLA DR15主要组织相容性抗原的患者在因黄色肉芽肿性肾盂肾炎行肾切除术后发生抗肾小球基底膜病:一例报告

Anti-GBM disease after nephrectomy for xanthogranulomatous pyelonephritis in a patient expressing HLA DR15 major histocompatibility antigens: a case report.

作者信息

O'Hagan Emma, Mallett Tamara, Convery Mairead, McKeever Karl

机构信息

1. Royal Belfast Hospital for Sick Children, Pediatric Renal Unit, Belfast, Northern Ireland.

出版信息

Clin Nephrol Case Stud. 2015 Nov 2;3:25-30. doi: 10.5414/CNCS108594. eCollection 2015.

Abstract

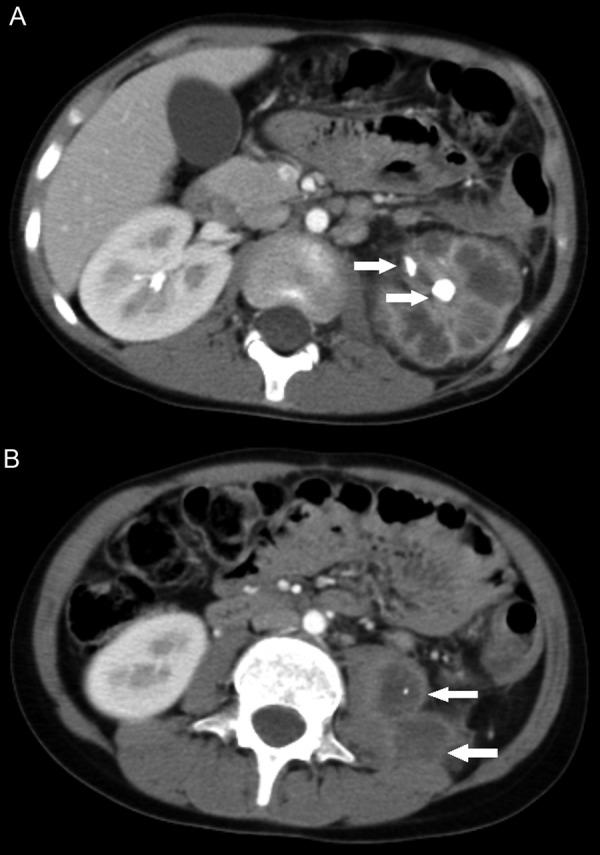
Antiglomerular basement membrane (anti-GBM) antibody disease is uncommon in the pediatric population. There are no cases in the literature describing the development of anti-GBM disease following XGP or nephrectomy. We report the case of a 7-year-old boy with no past history of urological illness, treated with antimicrobials and nephrectomy for diffuse, unilateral xanthogranulomatous pyelonephritis (XGP). Renal function and ultrasound scan of the contralateral kidney postoperatively were normal. Three months later, the child represented in acute renal failure with rapidly progressive glomerulonephritis requiring hemodialysis. Renal biopsy showed severe crescentic glomerulonephritis with 95% of glomeruli demonstrating circumferential cellular crescents. Strong linear IgG staining of the glomerular basement membranes was present, in keeping with anti-GBM disease. Circulating anti-GBM antibodies were positive. Treatment with plasma exchange, methylprednisolone, and cyclophosphamide led to normalization of anti-GBM antibody titers. Frequency of hemodialysis was reduced as renal function improved, and he is currently independent of dialysis with estimated glomerular filtration rate 20.7 mls/min/1.73 m. Case studies in the adult literature have reported the development of a rapidly progressive anti-GBM antibody-induced glomerulonephritis following renal surgery where patients expressed HLA DR2/HLA DR15 major histocompatibility (MHC) antigens. Of note, our patient also expresses the HLA DR15 MHC antigen.

摘要

抗肾小球基底膜(anti-GBM)抗体病在儿科人群中并不常见。文献中没有描述XGP或肾切除术后发生抗GBM病的病例。我们报告了一名7岁男孩的病例,该男孩既往无泌尿系统疾病史,因弥漫性单侧黄色肉芽肿性肾盂肾炎(XGP)接受抗菌药物治疗及肾切除术。术后对侧肾功能及超声检查均正常。三个月后,该患儿出现急性肾衰竭,伴有快速进展性肾小球肾炎,需要进行血液透析。肾活检显示严重的新月体性肾小球肾炎,95%的肾小球呈现环形细胞性新月体。肾小球基底膜有强烈的线性IgG染色,符合抗GBM病。循环抗GBM抗体呈阳性。血浆置换、甲泼尼龙和环磷酰胺治疗使抗GBM抗体滴度恢复正常。随着肾功能改善,血液透析频率降低,他目前已无需透析,估计肾小球滤过率为20.7 ml/min/1.73 m²。成人文献中的病例研究报告了肾手术后发生快速进展性抗GBM抗体诱导的肾小球肾炎,这些患者表达HLA DR2/HLA DR15主要组织相容性(MHC)抗原。值得注意的是,我们的患者也表达HLA DR15 MHC抗原。

https://cdn.ncbi.nlm.nih.gov/pmc/blobs/b9fe/5437995/e6d219f3ec7a/CNCS-3-025-01.jpg

文献AI研究员

20分钟写一篇综述,助力文献阅读效率提升50倍。

立即体验

用中文搜PubMed

大模型驱动的PubMed中文搜索引擎

马上搜索

文档翻译

学术文献翻译模型,支持多种主流文档格式。

立即体验