Suppr超能文献

肺胎盘样化生与肺腺癌相关:一例报告并文献综述

Pulmonary placental transmogrification associated with adenocarcinoma of the lung: a case report with a comprehensive review of the literature.

作者信息

Hamza Ameer, Khawar Sidrah, Khurram Muhammad S, Alrajjal Ahmed, Ibrar Warda, Salehi Sajad, Qu Hong

机构信息

St. John Hospital and Medical Center, Department of Pathology. Detroit, MI, USA.

St. John Hospital and Medical Center, Department of Hematology & Oncology. Detroit, MI, USA.

出版信息

Autops Case Rep. 2017 Sep 30;7(3):44-49. doi: 10.4322/acr.2017.027. eCollection 2017 Jul-Sep.

Abstract

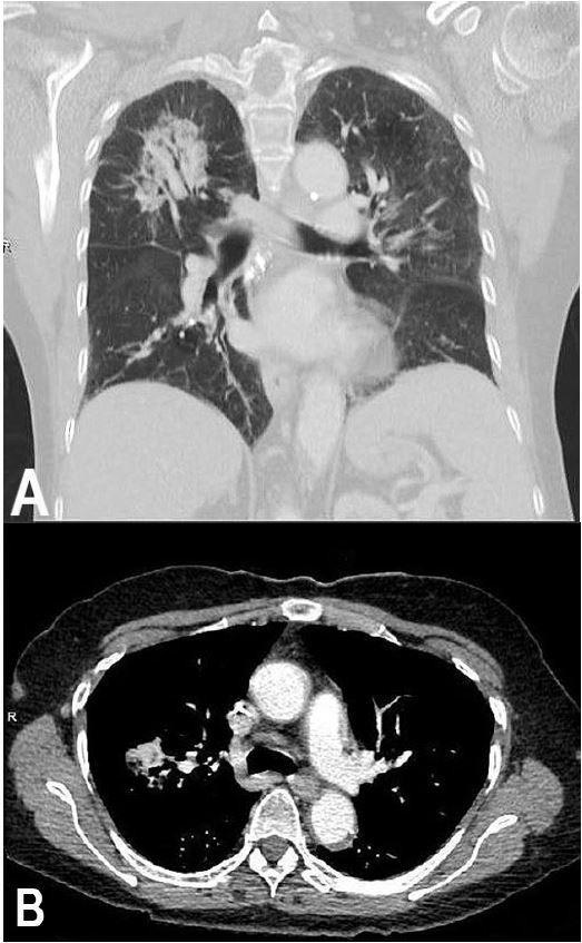
Pulmonary placental transmogrification (PT) is a rare entity with less than 40 cases reported in the literature. Most reported cases are associated with either bullous emphysema or with pulmonary fibrochondromatous hamartomas. We present only the second case of PT associated with adenocarcinoma of the lung. A 67-year-old female with multiple chronic medical ailments presented with shortness of breath and was found to have a 6-cm mass in the upper lobe of her right lung. A computed tomography (CT) guided core biopsy was performed that showed a well-differentiated adenocarcinoma. Interestingly the normal lung tissue showed placental villous architecture. A unique feature of our case is that the diagnosis was made on a needle core biopsy, unlike all the other cases in the literature. We also provide a comprehensive review of this rare entity.

摘要

肺胎盘化生(PT)是一种罕见的疾病,文献报道的病例不足40例。大多数报道的病例与大疱性肺气肿或肺纤维软骨瘤性错构瘤有关。我们仅报告第二例与肺腺癌相关的PT。一名患有多种慢性疾病的67岁女性因呼吸急促就诊,发现右肺上叶有一个6厘米的肿块。进行了计算机断层扫描(CT)引导下的芯针活检,结果显示为高分化腺癌。有趣的是,正常肺组织显示出胎盘绒毛结构。我们病例的一个独特之处在于,与文献中的所有其他病例不同,该诊断是通过针芯活检做出的。我们还对这种罕见疾病进行了全面综述。

https://cdn.ncbi.nlm.nih.gov/pmc/blobs/e056/5634434/de63dcfba128/autopsy-07-03044-g01.jpg

文献AI研究员

20分钟写一篇综述,助力文献阅读效率提升50倍。

立即体验

用中文搜PubMed

大模型驱动的PubMed中文搜索引擎

马上搜索

文档翻译

学术文献翻译模型,支持多种主流文档格式。

立即体验