• 文献检索
  • 文档翻译
  • 深度研究
  • 学术资讯
  • Suppr Zotero 插件Zotero 插件
  • 邀请有礼
  • 套餐&价格
  • 历史记录
应用&插件
Suppr Zotero 插件Zotero 插件浏览器插件Mac 客户端Windows 客户端微信小程序
定价
高级版会员购买积分包购买API积分包
服务
文献检索文档翻译深度研究API 文档MCP 服务
关于我们
关于 Suppr公司介绍联系我们用户协议隐私条款
关注我们

Suppr 超能文献

核心技术专利:CN118964589B侵权必究
粤ICP备2023148730 号-1Suppr @ 2026

文献检索

告别复杂PubMed语法,用中文像聊天一样搜索,搜遍4000万医学文献。AI智能推荐,让科研检索更轻松。

立即免费搜索

文件翻译

保留排版,准确专业,支持PDF/Word/PPT等文件格式,支持 12+语言互译。

免费翻译文档

深度研究

AI帮你快速写综述,25分钟生成高质量综述,智能提取关键信息,辅助科研写作。

立即免费体验

肾黏液蛋白含量低且侵袭性强的黏液性小管状和梭形细胞癌:两例报告

Mucin-poor and aggressive mucinous tubular and spindle cell carcinoma of the kidney: Two case reports.

作者信息

Uchida Shiro, Suzuki Koyu, Uno Mieko, Nozaki Fumi, Li Chih-Ping, Abe Eriko, Yamauchi Teruo, Horiuchi Saya, Kamo Minobu, Hattori Kazunori, Nagashima Yoji

机构信息

Department of Diagnostic Pathology, St. Luke's International Hospital, Tokyo, Japan.

Department of Pathology, Saitama Medical University, Saitama, Japan.

出版信息

Mol Clin Oncol. 2017 Nov;7(5):777-782. doi: 10.3892/mco.2017.1400. Epub 2017 Aug 28.

DOI:10.3892/mco.2017.1400
PMID:29075488
原文链接:https://pmc.ncbi.nlm.nih.gov/articles/PMC5649005/
Abstract

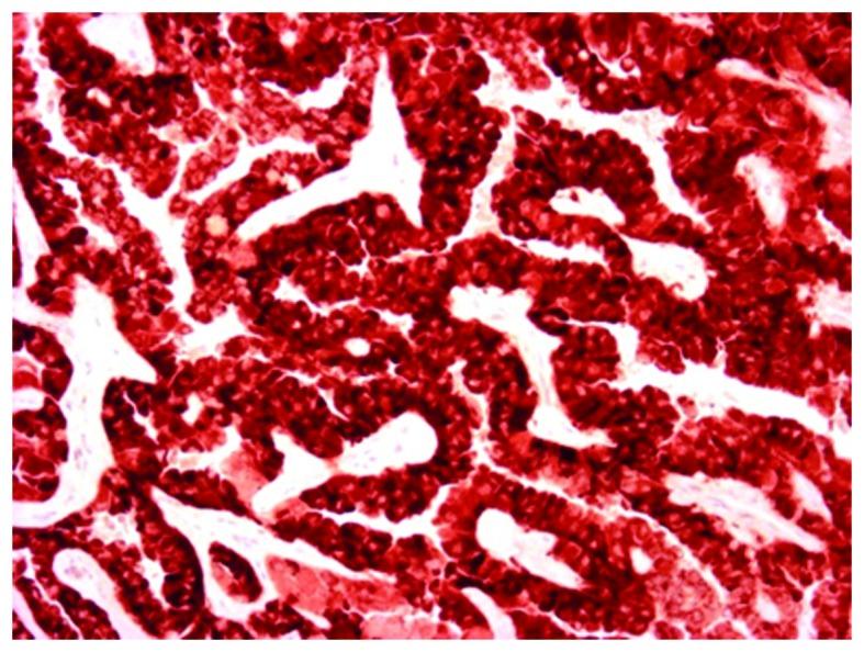
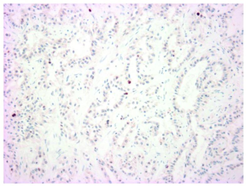
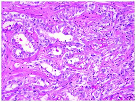
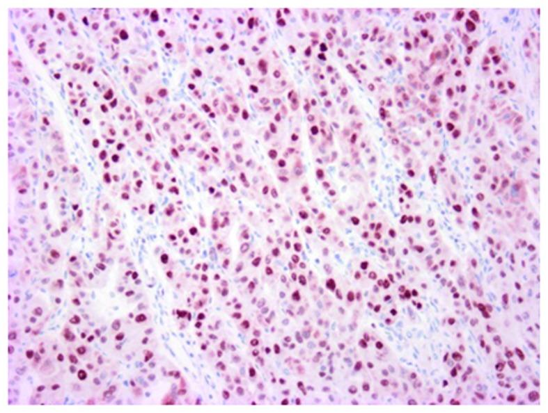
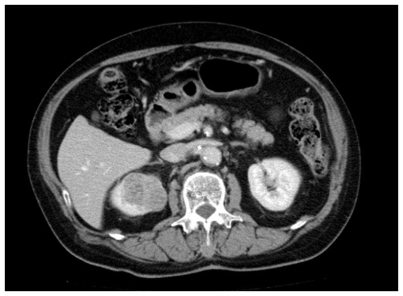
Mucinous tubular and spindle cell carcinoma (MTSCC) is a relatively rare renal epithelial neoplasm. Although MTSCC is considered to be a low-grade and indolent neoplasm, aggressive cases have been recently reported. The present study discussed two additional cases of high-grade MTSCC causing multiple distant metastases with a fatal course. In case 1, a 71-year-old patient presented with hematuria and pyuria. Computed tomography (CT) scan of the right kidney revealed a mass lesion, for which partial nephrectomy was performed. However, a follow-up CT imaging revealed distant metastases in the liver, the paraaortic lymph nodes and the bone. Despite molecular targeted therapy and irradiation, the patient succumbed due to tumor progression. In case 2, a 64-year-old patient presented with an incidentally identified mass lesion in the right kidney. A laparoscopic nephrectomy was performed, and a follow-up CT imaging revealed metastases in the skin and lungs. The cytology of pleural effusion revealed pleuritis carcinomatosa. Histologically, both cases were diagnosed as mucin-poor MTSCC with high-grade transformation, which comprised uniform tumor cells primarily forming slender tubules. The tumors contained low- and high-grade regions. In addition, venous invasion and necrosis were observed. The tumor cells also demonstrated increased Ki-67 labeling indices and cellular tumor antigen p53 (p53) nuclear accumulation. High-grade transformation, large tumor size, necrosis, venous invasion, high Ki-67 labeling index and p53 nuclear accumulation are generally predictive findings for aggressive behavior of malignant tumors. In the current report, it was emphasized that MTSCC possesses a wide spectrum of clinicopathological features. Thus, careful postoperative investigation is required for MTSCC with high-grade elements due to its aggressive nature.

摘要

黏液性小管状和梭形细胞癌(MTSCC)是一种相对罕见的肾上皮性肿瘤。尽管MTSCC被认为是一种低级别、惰性肿瘤,但最近有侵袭性病例的报道。本研究讨论了另外两例高级别MTSCC导致多发远处转移并呈致命病程的病例。病例1,一名71岁患者出现血尿和脓尿。右肾计算机断层扫描(CT)显示有一个肿块病变,为此进行了部分肾切除术。然而,后续CT成像显示肝脏、腹主动脉旁淋巴结和骨骼有远处转移。尽管进行了分子靶向治疗和放疗,患者仍因肿瘤进展而死亡。病例2,一名64岁患者偶然发现右肾有一个肿块病变。进行了腹腔镜肾切除术,后续CT成像显示皮肤和肺部有转移。胸腔积液细胞学检查显示为癌性胸膜炎。组织学上,两例均诊断为伴有高级别转化的黏液缺乏型MTSCC,由主要形成细长小管的均匀肿瘤细胞组成。肿瘤包含低级别和高级别区域。此外,观察到静脉侵犯和坏死。肿瘤细胞还显示Ki-67标记指数增加和细胞肿瘤抗原p53(p53)核积聚。高级别转化、肿瘤体积大、坏死、静脉侵犯、高Ki-67标记指数和p53核积聚通常是恶性肿瘤侵袭行为的预测性表现。在本报告中,强调了MTSCC具有广泛的临床病理特征。因此,由于其侵袭性,对于伴有高级别成分的MTSCC,术后需要仔细检查。

https://cdn.ncbi.nlm.nih.gov/pmc/blobs/ec99/5649005/288992454441/mco-07-05-0777-g12.jpg
https://cdn.ncbi.nlm.nih.gov/pmc/blobs/ec99/5649005/e4acdf6fe8e5/mco-07-05-0777-g00.jpg
https://cdn.ncbi.nlm.nih.gov/pmc/blobs/ec99/5649005/9da736f1893c/mco-07-05-0777-g01.jpg
https://cdn.ncbi.nlm.nih.gov/pmc/blobs/ec99/5649005/1719e2f22f5a/mco-07-05-0777-g02.jpg
https://cdn.ncbi.nlm.nih.gov/pmc/blobs/ec99/5649005/c06faee790b8/mco-07-05-0777-g03.jpg
https://cdn.ncbi.nlm.nih.gov/pmc/blobs/ec99/5649005/72495515891a/mco-07-05-0777-g04.jpg
https://cdn.ncbi.nlm.nih.gov/pmc/blobs/ec99/5649005/b285adc2691b/mco-07-05-0777-g05.jpg
https://cdn.ncbi.nlm.nih.gov/pmc/blobs/ec99/5649005/27098c73a557/mco-07-05-0777-g06.jpg
https://cdn.ncbi.nlm.nih.gov/pmc/blobs/ec99/5649005/ea6344d78fe3/mco-07-05-0777-g07.jpg
https://cdn.ncbi.nlm.nih.gov/pmc/blobs/ec99/5649005/e120710a7925/mco-07-05-0777-g08.jpg
https://cdn.ncbi.nlm.nih.gov/pmc/blobs/ec99/5649005/ec4eaf8a3ae1/mco-07-05-0777-g09.jpg
https://cdn.ncbi.nlm.nih.gov/pmc/blobs/ec99/5649005/0c9fd720f6f3/mco-07-05-0777-g10.jpg
https://cdn.ncbi.nlm.nih.gov/pmc/blobs/ec99/5649005/0a36e4ddd55f/mco-07-05-0777-g11.jpg
https://cdn.ncbi.nlm.nih.gov/pmc/blobs/ec99/5649005/288992454441/mco-07-05-0777-g12.jpg
https://cdn.ncbi.nlm.nih.gov/pmc/blobs/ec99/5649005/e4acdf6fe8e5/mco-07-05-0777-g00.jpg
https://cdn.ncbi.nlm.nih.gov/pmc/blobs/ec99/5649005/9da736f1893c/mco-07-05-0777-g01.jpg
https://cdn.ncbi.nlm.nih.gov/pmc/blobs/ec99/5649005/1719e2f22f5a/mco-07-05-0777-g02.jpg
https://cdn.ncbi.nlm.nih.gov/pmc/blobs/ec99/5649005/c06faee790b8/mco-07-05-0777-g03.jpg
https://cdn.ncbi.nlm.nih.gov/pmc/blobs/ec99/5649005/72495515891a/mco-07-05-0777-g04.jpg
https://cdn.ncbi.nlm.nih.gov/pmc/blobs/ec99/5649005/b285adc2691b/mco-07-05-0777-g05.jpg
https://cdn.ncbi.nlm.nih.gov/pmc/blobs/ec99/5649005/27098c73a557/mco-07-05-0777-g06.jpg
https://cdn.ncbi.nlm.nih.gov/pmc/blobs/ec99/5649005/ea6344d78fe3/mco-07-05-0777-g07.jpg
https://cdn.ncbi.nlm.nih.gov/pmc/blobs/ec99/5649005/e120710a7925/mco-07-05-0777-g08.jpg
https://cdn.ncbi.nlm.nih.gov/pmc/blobs/ec99/5649005/ec4eaf8a3ae1/mco-07-05-0777-g09.jpg
https://cdn.ncbi.nlm.nih.gov/pmc/blobs/ec99/5649005/0c9fd720f6f3/mco-07-05-0777-g10.jpg
https://cdn.ncbi.nlm.nih.gov/pmc/blobs/ec99/5649005/0a36e4ddd55f/mco-07-05-0777-g11.jpg
https://cdn.ncbi.nlm.nih.gov/pmc/blobs/ec99/5649005/288992454441/mco-07-05-0777-g12.jpg

相似文献

1
Mucin-poor and aggressive mucinous tubular and spindle cell carcinoma of the kidney: Two case reports.肾黏液蛋白含量低且侵袭性强的黏液性小管状和梭形细胞癌:两例报告
Mol Clin Oncol. 2017 Nov;7(5):777-782. doi: 10.3892/mco.2017.1400. Epub 2017 Aug 28.
2
A case of high-grade mucinous tubular and spindle cell carcinoma.一例高级别黏液性管状和梭形细胞癌。
J Surg Case Rep. 2020 Feb 21;2020(2):rjaa014. doi: 10.1093/jscr/rjaa014. eCollection 2020 Feb.
3
[Two Cases of Metastatic and Recurrent Non-Clear Cell Renal Cell Carcinoma Re-Diagnosed as Renal Mucinous Tubular and Spindle Cell Carcinoma during Long-Term Follow-Up].[两例转移性和复发性非透明细胞肾细胞癌在长期随访中重新诊断为肾黏液性管状和梭形细胞癌]
Hinyokika Kiyo. 2018 Mar;64(3):111-115. doi: 10.14989/ActaUrolJap_64_3_111.
4
[Renal mucinous tubular and spindle cell carcinoma combined with multiple bone metastasis: a case report and literature review].[肾黏液性小管状和梭形细胞癌合并多骨转移:1例报告及文献复习]
Beijing Da Xue Xue Bao Yi Xue Ban. 2018 Aug 18;50(4):732-736.
5
Mucinous tubular and spindle cell carcinoma with a high nuclear grade and micropapillary pattern: A case report.具有高核级别和微乳头模式的黏液性小管状和梭形细胞癌:一例报告。
Mol Clin Oncol. 2017 Dec;7(6):976-980. doi: 10.3892/mco.2017.1430. Epub 2017 Sep 29.
6
[Mucinous tubular and spindle cell carcinoma of kidney: a clinicopathological study].[肾黏液性小管状和梭形细胞癌:一项临床病理研究]
Zhonghua Bing Li Xue Za Zhi. 2011 Jul;40(7):444-8.
7
Mucinous tubular and spindle cell carcinoma of the kidney: Five case reports and review of the literature.
Oncol Lett. 2020 Dec;20(6):337. doi: 10.3892/ol.2020.12201. Epub 2020 Oct 7.
8
[IPSILATERAL SYNCHRONOUS MUCINOUS TUBULAR AND SPINDLE CELL CARCINOMA AND CLEAR CELL PAPILLARY RENAL CELL CARCINOMA: A CASE REPORT AND REVIEW OF THE LITERATURE].[同侧同步黏液性管状及梭形细胞癌与透明细胞乳头状肾细胞癌:一例报告及文献复习]
Nihon Hinyokika Gakkai Zasshi. 2020;111(4):134-139. doi: 10.5980/jpnjurol.111.134.
9
High-Grade Renal Mucinous Tubular and Spindle Cell Carcinoma.高级别肾黏液性管状和梭形细胞癌
Case Rep Oncol. 2022 May 30;15(2):580-585. doi: 10.1159/000524897. eCollection 2022 May-Aug.
10
[LAPAROSCOPIC LYMPHADENECTOMY FOR POSTOPERATIVE LYMPH-NODE METASTASIS OF RENAL MUCINOUS TUBULAR AND SPINDLE CELL CARCINOMA: A CASE REPORT].[腹腔镜下肾黏液性管状和梭形细胞癌术后淋巴结转移的淋巴结清扫术:病例报告]
Nihon Hinyokika Gakkai Zasshi. 2017;108(1):30-34. doi: 10.5980/jpnjurol.108.30.

引用本文的文献

1
Early recurrence and extensive retroperitoneal metastasis after surgery for high‑grade mucinous tubular and spindle cell carcinoma: A case report and literature review.高级别黏液性管状和梭形细胞癌术后早期复发及广泛腹膜后转移:1例报告并文献复习
Oncol Lett. 2024 Jul 31;28(4):467. doi: 10.3892/ol.2024.14600. eCollection 2024 Oct.
2
Mucinous tubular and spindle cell carcinoma of the kidney: a report of seven cases.肾黏液性管状和梭形细胞癌:7 例报告。
BMC Cancer. 2023 Aug 30;23(1):815. doi: 10.1186/s12885-023-11252-z.
3
[Mucinous tubular and spindle cell carcinoma of kidney: Clinicopathology and prognosis].

本文引用的文献

1
Mucinous tubular and spindle cell renal cell carcinoma: a review of clinicopathologic aspects.黏液性小管状和梭形细胞肾细胞癌:临床病理特征综述
Diagn Pathol. 2015 Sep 17;10:168. doi: 10.1186/s13000-015-0402-1.
2
Renal mucinous tubular and spindle cell carcinoma: a report of 8 cases and review of the literature.肾黏液性管状和梭形细胞癌:8 例报告及文献复习。
Diagn Pathol. 2013 Dec 11;8:206. doi: 10.1186/1746-1596-8-206.
3
The International Society of Urological Pathology (ISUP) Vancouver Classification of Renal Neoplasia.国际泌尿病理学会(ISUP)温哥华肾脏肿瘤分类。
[肾黏液性小管状和梭形细胞癌:临床病理与预后]
Beijing Da Xue Xue Bao Yi Xue Ban. 2023 Apr 18;55(2):276-282. doi: 10.19723/j.issn.1671-167X.2023.02.011.
4
Mucin-poor mucinous tubular and spindle cell carcinoma of the kidney: one case report and review of the literature.肾黏液性小管状和梭形细胞癌伴黏液缺乏:1例报告并文献复习
J Surg Case Rep. 2022 Apr 27;2022(4):rjac185. doi: 10.1093/jscr/rjac185. eCollection 2022 Apr.
5
Mucinous Tubular and Spindle Cell Carcinoma of the Kidney: A Study of Clinical, Imaging Features and Treatment Outcomes.肾黏液性管状和梭形细胞癌:临床、影像特征及治疗结果研究
Front Oncol. 2022 Apr 11;12:865263. doi: 10.3389/fonc.2022.865263. eCollection 2022.
6
Cytoreductive Nephrectomy After Combination of Nivolumab Plus Ipilimumab for Mucinous Tubular and Spindle Cell Carcinoma of the Kidney With Bone Metastases: A Case Report.纳武利尤单抗联合伊匹木单抗治疗伴骨转移的黏液性管状和梭形细胞肾细胞癌后行细胞减灭性肾切除术:一例报告。
In Vivo. 2022 Jan-Feb;36(1):510-521. doi: 10.21873/invivo.12732.
7
Metastatic mucinous tubular and spindle cell carcinoma of the kidney responding to nivolumab plus ipilimumab.肾转移性黏液性管状和梭形细胞癌对纳武单抗加伊匹单抗治疗有反应。
IJU Case Rep. 2021 Jun 29;4(5):333-337. doi: 10.1002/iju5.12342. eCollection 2021 Sep.
8
Mucinous tubular and spindle cell carcinoma of the kidney: Five case reports and review of the literature.
Oncol Lett. 2020 Dec;20(6):337. doi: 10.3892/ol.2020.12201. Epub 2020 Oct 7.
9
Adverse histology, homozygous loss of CDKN2A/B, and complex genomic alterations in locally advanced/metastatic renal mucinous tubular and spindle cell carcinoma.局部晚期/转移性肾黏液性管状和梭形细胞癌中存在不良组织学、CDKN2A/B 纯合性缺失和复杂基因组改变。
Mod Pathol. 2021 Feb;34(2):445-456. doi: 10.1038/s41379-020-00667-9. Epub 2020 Sep 2.
10
Case of renal mucinous tubular and spindle cell carcinoma with high nuclear grade.高核级肾黏液性小管状和梭形细胞癌病例
IJU Case Rep. 2019 May 11;2(4):193-196. doi: 10.1002/iju5.12075. eCollection 2019 Jul.
Am J Surg Pathol. 2013 Oct;37(10):1469-89. doi: 10.1097/PAS.0b013e318299f2d1.
4
Mucin poor mucinous tubular and spindle cell carcinoma of the kidney, with nonclassic morphologic variant of spindle cell predominance and psammomatous calcification.肾脏黏液性/无黏液性管状和梭形细胞癌,伴非典型梭形细胞优势型形态学变异和砂粒体样钙化。
Ann Diagn Pathol. 2012 Jan;16(1):59-62. doi: 10.1016/j.anndiagpath.2010.10.001. Epub 2011 Feb 9.
5
Metastatic mucinous tubular and spindle cell carcinoma of the kidney responding to sunitinib.对舒尼替尼有反应的肾转移性黏液性小管和梭形细胞癌
J Clin Oncol. 2010 Oct 1;28(28):e539-40. doi: 10.1200/JCO.2010.30.1457. Epub 2010 Aug 2.
6
Aggressive high-grade mucinous tubular and spindle cell carcinoma.
Hum Pathol. 2009 Jun;40(6):906-7. doi: 10.1016/j.humpath.2009.03.004.
7
Mucinous tubular and spindle cell carcinoma of the kidney with sarcomatoid change.伴有肉瘤样变的肾黏液性小管状和梭形细胞癌
Am J Surg Pathol. 2009 Jan;33(1):44-9. doi: 10.1097/PAS.0b013e3181829ed5.
8
Mucinous tubular and spindle cell carcinoma of the kidney with sarcomatoid differentiation.伴有肉瘤样分化的肾黏液性小管状和梭形细胞癌
Int J Clin Exp Pathol. 2008 Jan 1;1(2):180-4.
9
Mucinous tubular and spindle cell carcinoma with aggressive histomorphology--a sarcomatoid variant.具有侵袭性组织形态的黏液性管状和梭形细胞癌——一种肉瘤样变体。
Hum Pathol. 2008 Jun;39(6):966-9. doi: 10.1016/j.humpath.2007.10.006. Epub 2008 Apr 8.
10
Mucinous tubular and spindle cell carcinoma of kidney is probably a variant of papillary renal cell carcinoma with spindle cell features.肾黏液性管状和梭形细胞癌可能是具有梭形细胞特征的乳头状肾细胞癌的一种变体。
Ann Diagn Pathol. 2007 Feb;11(1):13-21. doi: 10.1016/j.anndiagpath.2006.09.005.