• 文献检索
  • 文档翻译
  • 深度研究
  • 学术资讯
  • Suppr Zotero 插件Zotero 插件
  • 邀请有礼
  • 套餐&价格
  • 历史记录
应用&插件
Suppr Zotero 插件Zotero 插件浏览器插件Mac 客户端Windows 客户端微信小程序
定价
高级版会员购买积分包购买API积分包
服务
文献检索文档翻译深度研究API 文档MCP 服务
关于我们
关于 Suppr公司介绍联系我们用户协议隐私条款
关注我们

Suppr 超能文献

核心技术专利:CN118964589B侵权必究
粤ICP备2023148730 号-1Suppr @ 2026

文献检索

告别复杂PubMed语法,用中文像聊天一样搜索,搜遍4000万医学文献。AI智能推荐,让科研检索更轻松。

立即免费搜索

文件翻译

保留排版,准确专业,支持PDF/Word/PPT等文件格式,支持 12+语言互译。

免费翻译文档

深度研究

AI帮你快速写综述,25分钟生成高质量综述,智能提取关键信息,辅助科研写作。

立即免费体验

移动性盲肠综合征致结肠套叠病例,采用带刺缝合线装置行腹腔镜盲肠固定术修复。

Case of colonic intussusception secondary to mobile cecum syndrome repaired by laparoscopic cecopexy using a barbed wound suture device.

机构信息

Department of Digestive and General Surgery, Shimane University Faculty of Medicine, Izumo, Shimane 693-8501, Japan.

出版信息

World J Gastroenterol. 2017 Sep 21;23(35):6534-6539. doi: 10.3748/wjg.v23.i35.6534.

DOI:10.3748/wjg.v23.i35.6534
PMID:29085202
原文链接:https://pmc.ncbi.nlm.nih.gov/articles/PMC5643278/
Abstract

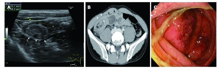
A 27-year-old man with recurrent right lower quadrant pain was admitted to our hospital. Ultrasonography and computed tomography examination of the abdomen revealed a target sign in the ascending colon, which was compatible with the diagnosis of cecal intussusception. The intussusception was spontaneously resolved at that time, but it relapsed 6 mo later. The patient underwent a successful colonoscopic disinvagination; there was no evidence of neoplastic or inflammatory lesions in the colon and terminal ileum. The patient underwent laparoscopic surgery for recurring cecal intussusception. During laparoscopy, we observed an unfixed cecum on the posterior peritoneum (i.e. a mobile cecum). Thus, we performed laparoscopic appendectomy and cecopexy with a lateral peritoneal flap using a barbed wound suture device. The patient's post-operative course was uneventful, and he continued to do well without recurrence at 10 mo after surgery. Laparoscopic cecopexy using a barbed wound suture device is a simple and reliable procedure that can be the treatment of choice for recurrent cecal intussusception associated with a mobile cecum.

摘要

一位 27 岁男性,反复右下腹痛,就诊于我院。腹部超声和 CT 检查提示升结肠靶环征,符合盲肠套叠诊断。当时套叠自行复位,但 6 个月后再次复发。患者接受了成功的结肠镜下复位术,结肠镜检查未见结肠和末端回肠有肿瘤或炎症性病变。患者因反复发生的盲肠套叠行腹腔镜手术。术中观察到后腹膜上的盲肠不固定(即盲肠活动度大),遂使用带倒刺缝线的缝合装置行腹腔镜阑尾切除术和侧腹膜瓣盲肠固定术。患者术后恢复顺利,无并发症,术后 10 个月无复发,恢复良好。使用带倒刺缝线的缝合装置行腹腔镜盲肠固定术是一种简单可靠的术式,对于与盲肠活动度大相关的复发性盲肠套叠,可作为首选治疗方法。

https://cdn.ncbi.nlm.nih.gov/pmc/blobs/eb53/5643278/d334ce51af4b/WJG-23-6534-g003.jpg
https://cdn.ncbi.nlm.nih.gov/pmc/blobs/eb53/5643278/52ac90223c38/WJG-23-6534-g001.jpg
https://cdn.ncbi.nlm.nih.gov/pmc/blobs/eb53/5643278/53c9dd29f385/WJG-23-6534-g002.jpg
https://cdn.ncbi.nlm.nih.gov/pmc/blobs/eb53/5643278/d334ce51af4b/WJG-23-6534-g003.jpg
https://cdn.ncbi.nlm.nih.gov/pmc/blobs/eb53/5643278/52ac90223c38/WJG-23-6534-g001.jpg
https://cdn.ncbi.nlm.nih.gov/pmc/blobs/eb53/5643278/53c9dd29f385/WJG-23-6534-g002.jpg
https://cdn.ncbi.nlm.nih.gov/pmc/blobs/eb53/5643278/d334ce51af4b/WJG-23-6534-g003.jpg

相似文献

1
Case of colonic intussusception secondary to mobile cecum syndrome repaired by laparoscopic cecopexy using a barbed wound suture device.移动性盲肠综合征致结肠套叠病例,采用带刺缝合线装置行腹腔镜盲肠固定术修复。
World J Gastroenterol. 2017 Sep 21;23(35):6534-6539. doi: 10.3748/wjg.v23.i35.6534.
2
Laparoscopic cecopexy for mobile cecum syndrome manifesting as cecal volvulus: report of a case.腹腔镜盲肠固定术治疗以盲肠扭转形式表现的游动盲肠综合征:病例报告
Surg Today. 2008;38(4):359-62. doi: 10.1007/s00595-007-3620-7. Epub 2008 Mar 27.
3
Failure of appendectomy to resolve appendiceal intussusception.阑尾切除术未能解决阑尾套叠。
J Pediatr Surg. 2008 Aug;43(8):1554-6. doi: 10.1016/j.jpedsurg.2008.03.038.
4
Laparoscopic Management of Mobile Cecum.移动盲肠的腹腔镜治疗
JSLS. 2016 Oct-Dec;20(4). doi: 10.4293/JSLS.2016.00076.
5
What is your diagnosis? Cecocolic intussusception.
J Am Vet Med Assoc. 2006 Mar 15;228(6):847-8. doi: 10.2460/javma.228.6.847.
6
Cecal intussusception in an adult with Cronkhite-Canada syndrome relieved by colonoscopy.结肠镜检查缓解成年克朗凯特-加拿大综合征患者的盲肠套叠
Intern Med. 2010;49(12):1123-6. doi: 10.2169/internalmedicine.49.2813. Epub 2010 Jun 15.
7
Appendiceal intussusception diagnosed with endoscopic sonography.经内镜超声检查诊断的阑尾套叠
J Clin Ultrasound. 2006 Sep;34(7):348-51. doi: 10.1002/jcu.20223.
8
Cecorectal intussusception induced by a cecal hamartoma.
Abdom Imaging. 2011 Feb;36(1):46-9. doi: 10.1007/s00261-009-9598-4.
9
Adult intussusception secondary to lymphangioma of the cecum: a case report.成人盲肠淋巴管瘤继发肠套叠:一例报告
Kaohsiung J Med Sci. 2009 Jun;25(6):347-52. doi: 10.1016/S1607-551X(09)70527-3.
10
Mobile caecum and ascending colon syndrome in a Nigerian adult.一名尼日利亚成年人的移动盲肠和升结肠综合征
Ann Afr Med. 2009 Apr-Jun;8(2):133-5. doi: 10.4103/1596-3519.56243.

引用本文的文献

1
Cecal Intussusception Diagnosed by Total Colonoscopy in a Child: A Case Report.通过全结肠镜检查诊断儿童盲肠套叠:一例报告
Front Pediatr. 2020 Aug 4;8:438. doi: 10.3389/fped.2020.00438. eCollection 2020.
2
Management of Intussusception in the Era of Ultrasound-Guided Hydrostatic Reduction: A 3-Year Experience from a Tertiary Care Center.超声引导下水压复位时代肠套叠的管理:来自三级医疗中心的3年经验
J Indian Assoc Pediatr Surg. 2020 Mar-Apr;25(2):71-75. doi: 10.4103/jiaps.JIAPS_208_18. Epub 2020 Jan 28.
3
Recurrent colonic intussusception due to a lipoma of the transverse colon at the background of congenital dolichocolon and chronic constipation.

本文引用的文献

1
Adult intussusception: 10-year experience in two Belgian centres.成人肠套叠:比利时两个中心的10年经验
Acta Gastroenterol Belg. 2016 Jul-Sep;79(3):301-308.
2
Laparoscopic Management of Mobile Cecum.移动盲肠的腹腔镜治疗
JSLS. 2016 Oct-Dec;20(4). doi: 10.4293/JSLS.2016.00076.
3
Barbed suture: a review of the technology and clinical uses in obstetrics and gynecology.倒刺缝线:妇产科技术与临床应用综述
在先天性乙状结肠冗长症和慢性便秘背景下,因横结肠脂肪瘤导致的复发性结肠套叠。
BMJ Case Rep. 2019 Aug 30;12(8):e230732. doi: 10.1136/bcr-2019-230732.
4
Volvulus of the ascending colon due to failure of zygosis: A case report and review of the literature.因接合失败导致升结肠扭转:一例病例报告及文献复习
Int J Surg Case Rep. 2019;59:90-93. doi: 10.1016/j.ijscr.2019.05.014. Epub 2019 May 14.
Rev Obstet Gynecol. 2013;6(3-4):107-15.
4
Total ileocolic intussusception with rectal prolapse presenting in an adult: a case report and review of the literature.成人完全性回结型肠套叠并直肠脱垂 1 例报告并文献复习
World J Emerg Surg. 2013 Sep 23;8(1):37. doi: 10.1186/1749-7922-8-37.
5
Laparoscopic gastrointestinal anastomoses using knotless barbed sutures are safe and reproducible: a single-center experience with 201 patients.腹腔镜胃肠吻合术采用无结倒刺缝线安全且可重现:单中心 201 例经验。
Surg Endosc. 2013 Oct;27(10):3841-5. doi: 10.1007/s00464-013-2992-6. Epub 2013 May 14.
6
Ileocolocolic intussusception secondary to a submucosal lipoma: an unusual cause of intermittent abdominal pain in a 62-year-old woman.黏膜下脂肪瘤继发回结肠套叠:一名62岁女性间歇性腹痛的罕见病因。
J Clin Ultrasound. 2010 Jan;38(1):48-51. doi: 10.1002/jcu.20620.
7
Cecal volvulus: report of a case and review of Japanese literature.盲肠扭转:一例报告及日本文献综述
World J Gastroenterol. 2009 May 28;15(20):2547-9. doi: 10.3748/wjg.15.2547.
8
Intussusception in adults: clinical characteristics, diagnosis and operative strategies.成人肠套叠:临床特征、诊断及手术策略
World J Gastroenterol. 2009 Apr 28;15(16):1985-9. doi: 10.3748/wjg.15.1985.
9
Clinical entity and treatment strategies for adult intussusceptions: 20 years' experience.成人肠套叠的临床实体与治疗策略:20年经验
Dis Colon Rectum. 2007 Nov;50(11):1941-9. doi: 10.1007/s10350-007-9048-8. Epub 2007 Sep 11.
10
Diagnosis and treatment of caecal volvulus.盲肠扭转的诊断与治疗
Postgrad Med J. 2005 Dec;81(962):772-6. doi: 10.1136/pgmj.2005.035311.